ARG58511
anti-CtBP2 antibody
anti-CtBP2 antibody for ICC/IF,IHC-Frozen sections,IHC-Formalin-fixed paraffin-embedded sections,Western blot and Human,Mouse,Rat
概述
| 产品描述 | Rabbit Polyclonal antibody recognizes CtBP2 |
|---|---|
| 反应物种 | Hu, Ms, Rat |
| 预测物种 | Chk |
| 应用 | ICC/IF, IHC-Fr, IHC-P, WB |
| 宿主 | Rabbit |
| 克隆 | Polyclonal |
| 同位型 | IgG |
| 靶点名称 | CtBP2 |
| 抗原物种 | Human |
| 抗原 | Synthetic peptide corresponding to a sequence at the C-terminus of Human CTBP2(429-445aa PNQPTKHGDNREHPNEQ), identical to the related Rat and Mouse sequences. |
| 偶联标记 | Un-conjugated |
| 別名 | CtBP2; C-terminal-binding protein 2 |
应用说明
| 应用建议 |
|
||||||||||
|---|---|---|---|---|---|---|---|---|---|---|---|
| 应用说明 | IHC-P: Antigen Retrieval: Heat mediation was performed in Citrate buffer (pH 6.0, epitope retrieval solution) for 20 min. * The dilutions indicate recommended starting dilutions and the optimal dilutions or concentrations should be determined by the scientist. |
属性
| 形式 | Liquid |
|---|---|
| 纯化 | Affinity purification with immunogen. |
| 缓冲液 | 0.9% NaCl, 0.2% Na2HPO4, 0.05% Thimerosal, 0.05% Sodium azide and 5% BSA. |
| 抗菌剂 | 0.05% Thimerosal and 0.05% Sodium azide |
| 稳定剂 | 5% BSA |
| 浓度 | 0.5 mg/ml |
| 存放说明 | For continuous use, store undiluted antibody at 2-8°C for up to a week. For long-term storage, aliquot and store at -20°C or below. Storage in frost free freezers is not recommended. Avoid repeated freeze/thaw cycles. Suggest spin the vial prior to opening. The antibody solution should be gently mixed before use. |
| 注意事项 | For laboratory research only, not for drug, diagnostic or other use. |
生物信息
| 数据库连接 | |
|---|---|
| 基因名称 | CTBP2 |
| 全名 | C-terminal binding protein 2 |
| 背景介绍 | This gene produces alternative transcripts encoding two distinct proteins. One protein is a transcriptional repressor, while the other isoform is a major component of specialized synapses known as synaptic ribbons. Both proteins contain a NAD+ binding domain similar to NAD+-dependent 2-hydroxyacid dehydrogenases. A portion of the 3' untranslated region was used to map this gene to chromosome 21q21.3; however, it was noted that similar loci elsewhere in the genome are likely. Blast analysis shows that this gene is present on chromosome 10. Several transcript variants encoding two different isoforms have been found for this gene. [provided by RefSeq, Feb 2014] |
| 生物功能 | Corepressor targeting diverse transcription regulators. Functions in brown adipose tissue (BAT) differentiation (By similarity). Isoform 2 probably acts as a scaffold for specialized synapses. [UniProt] |
| 细胞定位 | Nucleus. Cell junction, synapse. [UniProt] |
| 预测分子量 | 49 kDa |
检测图片 (5) Click the Picture to Zoom In
-
ARG58511 anti-CtBP2 antibody ICC image
Immunocytochemistry: HeLa cells stained with ARG58511 anti-CtBP2 antibody.
-
ARG58511 anti-CtBP2 antibody IHC-P image
Immunohistochemistry: Paraffin-embedded Human mammary cancer stained with ARG58511 anti-CtBP2 antibody.
-
ARG58511 anti-CtBP2 antibody WB image
Western blot: 50 µg of Rat brain, 50 µg of Rat spleen, 40 µg of HeLa, 40 µg of 293T, 40 µg of COLO320, 40 µg of U87 and 40 µg of SW620 whole cell lysates stained with ARG58511 anti-CtBP2 antibody at 0.5 µg/ml dilution.
-
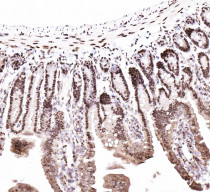
ARG58511 anti-CtBP2 antibody IHC-Fr image
Immunohistochemistry: Frozen section of Rat intestine tissue stained with ARG58511 anti-CtBP2 antibody.
-
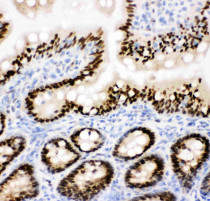
ARG58511 anti-CtBP2 antibody IHC-P image
Immunohistochemistry: Paraffin-embedded Mouse intestine tissue. Antigen Retrieval: Heat mediation was performed in Citrate buffer (pH 6.0, epitope retrieval solution) for 20 min. The tissue section was blocked with 10% goat serum. The tissue section was then stained with ARG58511 anti-CtBP2 antibody at 1 μg/ml dilution, overnight at 4°C.
