ARG66599
anti-Connexin 43 antibody
anti-Connexin 43 antibody for ICC/IF,IHC-Formalin-fixed paraffin-embedded sections,Western blot and Human,Mouse,Rat
Cell Biology and Cellular Response antibody; Signaling Transduction antibody; Cardiomyocyte Cell Surface Marker antibody
概述
| 产品描述 | Rabbit Polyclonal antibody recognizes Connexin 43 |
|---|---|
| 反应物种 | Hu, Ms, Rat |
| 应用 | ICC/IF, IHC-P, WB |
| 宿主 | Rabbit |
| 克隆 | Polyclonal |
| 同位型 | IgG |
| 靶点名称 | Connexin 43 |
| 抗原物种 | Human |
| 抗原 | KLH-conjugated synthetic peptide within the C-terminal region of Human Connexin 43. |
| 偶联标记 | Un-conjugated |
| 別名 | Gap junction 43 kDa heart protein; CX43; PPKCA; CMDR; Gap junction alpha-1 protein; HSS; AVSD3; Connexin-43; HLHS1; EKVP; GJAL; ODDD; Cx43 |
应用说明
| 应用建议 |
|
||||||||
|---|---|---|---|---|---|---|---|---|---|
| 应用说明 | IHC-P: Antigen Retrieval: Heat mediation was performed in Sodium citrate buffer (pH 6.0). * The dilutions indicate recommended starting dilutions and the optimal dilutions or concentrations should be determined by the scientist. |
||||||||
| 实际分子量 | 44 kDa |
属性
| 形式 | Liquid |
|---|---|
| 纯化 | Affinity purification with immunogen. |
| 缓冲液 | 0.42% Potassium phosphate (pH 7.3), 0.87% NaCl, 0.01% Sodium azide and 30% Glycerol. |
| 抗菌剂 | 0.01% Sodium azide |
| 稳定剂 | 30% Glycerol |
| 存放说明 | For continuous use, store undiluted antibody at 2-8°C for up to a week. For long-term storage, aliquot and store at -20°C. Storage in frost free freezers is not recommended. Avoid repeated freeze/thaw cycles. Suggest spin the vial prior to opening. The antibody solution should be gently mixed before use. |
| 注意事项 | For laboratory research only, not for drug, diagnostic or other use. |
生物信息
| 数据库连接 | |
|---|---|
| 基因名称 | GJA1 |
| 全名 | gap junction protein, alpha 1, 43kDa |
| 背景介绍 | This gene is a member of the connexin gene family. The encoded protein is a component of gap junctions, which are composed of arrays of intercellular channels that provide a route for the diffusion of low molecular weight materials from cell to cell. The encoded protein is the major protein of gap junctions in the heart that are thought to have a crucial role in the synchronized contraction of the heart and in embryonic development. A related intronless pseudogene has been mapped to chromosome 5. Mutations in this gene have been associated with oculodentodigital dysplasia, autosomal recessive craniometaphyseal dysplasia and heart malformations. [provided by RefSeq, May 2014] |
| 生物功能 | Gap junction protein that acts as a regulator of bladder capacity. A gap junction consists of a cluster of closely packed pairs of transmembrane channels, the connexons, through which materials of low MW diffuse from one cell to a neighboring cell. May play a critical role in the physiology of hearing by participating in the recycling of potassium to the cochlear endolymph. Negative regulator of bladder functional capacity: acts by enhancing intercellular electrical and chemical transmission, thus sensitizing bladder muscles to cholinergic neural stimuli and causing them to contract (By similarity). [UniProt] |
| 细胞定位 | Cell membrane; Multi-pass membrane protein. Cell junction, gap junction. Endoplasmic reticulum. Note=Localizes at the intercalated disk (ICD) in cardiomyocytes and the proper localization at ICD is dependent on TMEM65. [UniProt] |
| 研究领域 | Cell Biology and Cellular Response antibody; Signaling Transduction antibody; Cardiomyocyte Cell Surface Marker antibody |
| 预测分子量 | 43 kDa |
检测图片 (3) Click the Picture to Zoom In
-
ARG66599 anti-Connexin 43 antibody ICC/IF image
Immunofluorescence: Formalin-fixed HeLa cells were permeabilized with 0.1% Triton X-100 in TBS for 5-10 minutes and blocked with 3% BSA-PBS for 30 minutes at room temperature. Cells were stained with ARG66599 anti-Connexin 43 antibody (red) in 3% BSA-PBS and incubated overnight at 4°C. DAPI (blue) for nuclear staining.
-
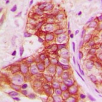
ARG66599 anti-Connexin 43 antibody IHC-P image
Immunohistochemistry: Formalin-fixed and paraffin-embedded Human breast cancer tissue. Antigen Retrieval: Heat mediation was performed in Sodium citrate buffer (pH 6.0). The section was then stained with ARG66599 anti-Connexin 43 antibody at room temperature and detected using an HRP conjugated compact polymer system. DAB was used as the chromogen. The section was then counterstained with haematoxylin and mounted with DPX.
-
ARG66599 anti-Connexin 43 antibody WB image
Western blot: C6, HeLa, C2C12, Mouse heart and Rat brain whole cell lysates stained with ARG66599 anti-Connexin 43 antibody.
