ARG63691
anti-Clik 1 / STK35 antibody
anti-Clik 1 / STK35 antibody for Flow cytometry,ICC/IF,IHC-Formalin-fixed paraffin-embedded sections,Western blot and Human,Mouse,Pig
Signaling Transduction antibody
概述
| 产品描述 | Goat Polyclonal antibody recognizes Clik 1 / STK35 |
|---|---|
| 反应物种 | Hu, Ms, Pig |
| 预测物种 | Cow, Rat, Dog |
| 应用 | FACS, ICC/IF, IHC-P, WB |
| 宿主 | Goat |
| 克隆 | Polyclonal |
| 同位型 | IgG |
| 靶点名称 | Clik 1 / STK35 |
| 抗原物种 | Human |
| 抗原 | ELETRMDQVTCAA |
| 偶联标记 | Un-conjugated |
| 別名 | STK35L1; CLP-36-interacting kinase 1; CLIK-1; PDLIM1-interacting kinase 1; Serine/threonine-protein kinase 35 L1; EC 2.7.11.1; Serine/threonine-protein kinase 35; CLIK1 |
应用说明
| 应用建议 |
|
||||||||||
|---|---|---|---|---|---|---|---|---|---|---|---|
| 应用说明 | IHC-P: Antigen Retrieval: Microwaved tissue section in Tris/EDTA buffer (pH 9.0). WB: Recommend incubate at RT for 1h. * The dilutions indicate recommended starting dilutions and the optimal dilutions or concentrations should be determined by the scientist. |
属性
| 形式 | Liquid |
|---|---|
| 纯化 | Purified from goat serum by antigen affinity chromatography. |
| 缓冲液 | Tris saline (pH 7.3), 0.02% Sodium azide and 0.5% BSA. |
| 抗菌剂 | 0.02% Sodium azide |
| 稳定剂 | 0.5% BSA |
| 浓度 | 0.5 mg/ml |
| 存放说明 | For continuous use, store undiluted antibody at 2-8°C for up to a week. For long-term storage, aliquot and store at -20°C or below. Storage in frost free freezers is not recommended. Avoid repeated freeze/thaw cycles. Suggest spin the vial prior to opening. The antibody solution should be gently mixed before use. |
| 注意事项 | For laboratory research only, not for drug, diagnostic or other use. |
生物信息
| 数据库连接 |
Swiss-port # Q80ZW0 Mouse Serine/threonine-protein kinase 35 Swiss-port # Q8TDR2 Human Serine/threonine-protein kinase 35 |
|---|---|
| 背景介绍 | The protein encoded by this gene is a kinase that is predominantly found in the nucleus. However, it can interact with PDLIM1/CLP-36 in the cytoplasm and localize to actin stress fibers. The encoded protein may be a regulator of actin stress fibers in nonmuscle cells. [provided by RefSeq, Jul 2008] |
| 研究领域 | Signaling Transduction antibody |
| 预测分子量 | 58 kDa |
| 翻译后修饰 | Autophosphorylated. |
检测图片 (6) Click the Picture to Zoom In
-
ARG63691 anti-Clik 1 / STK35 antibody WB image
Western blot: Human testis lysate (35 µg protein in RIPA buffer) stained with ARG63691 anti-Clik 1 / STK35 antibody at 1 µg/ml dilution.
-
ARG63691 anti-Clik 1 / STK35 antibody ICC/IF image
Immunofluorescence: Paraformaldehyde fixed U2OS cells permeabilized with 0.15% Triton. Cells were stained with ARG63691 anti-Clik 1 / STK35 antibody (green) at 10 µg/ml dilution for 1 hour. DAPI (blue) for nuclear staining. Negative control: Unimmunized goat IgG (green) at 10 µg/ml dilution.
-
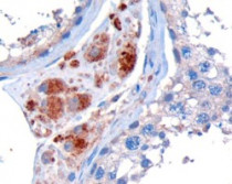
ARG63691 anti-Clik 1 / STK35 antibody IHC-P image
Immunohistochemistry: Paraffin embedded Human Testis. (Microwaved antigen retrieval with Tris/EDTA buffer pH9) stained with ARG63691 anti-Clik 1 / STK35 antibody at 10 µg/ml dilution followed by HRP-staining.
-
ARG63691 anti-Clik 1 / STK35 antibody WB image
Western blot: 35 µg of HEK293 nucleus (A) and Human breast cancer (B) lysates (in RIPA buffer) stained with ARG63691 anti-Clik 1 / STK35 antibody at 2 µg/ml (A) and 1 µg/ml (B) dilutions and incubated at RT for 1 hour.
-
ARG63691 anti-Clik 1 / STK35 antibody FACS image
Flow Cytometry: Paraformaldehyde-fixed HEK293 cells permeabilized with 0.5% Triton. Cells were stained with ARG63691 anti-Clik 1 / STK35 antibody (blue line) at 10 µg/ml dilution for 1 hour, followed by incubation with Alexa FluorR 488 labelled secondary antibody. IgG control: Unimmunized goat IgG (black line).
-
ARG63691 anti-Clik 1 / STK35 antibody WB image
Western blot: 35 µg of Mouse (A) and Pig (B) testis lysates (in RIPA buffer) stained with ARG63691 anti-Clik 1 / STK35 antibody at 1 µg/ml (A) and 2 µg/ml (B) dilutions and incubated at RT for 1 hour.
