ARG10769
anti-Ceruloplasmin antibody
anti-Ceruloplasmin antibody for IHC-Formalin-fixed paraffin-embedded sections,Western blot and Human
概述
| 产品描述 | Rabbit Polyclonal antibody recognizes Ceruloplasmin |
|---|---|
| 反应物种 | Hu |
| 应用 | IHC-P, WB |
| 宿主 | Rabbit |
| 克隆 | Polyclonal |
| 同位型 | IgG |
| 靶点名称 | Ceruloplasmin |
| 抗原物种 | Human |
| 抗原 | Synthetic peptide around aa. 20-259 of Human Ceruloplasmin. |
| 偶联标记 | Un-conjugated |
| 別名 | Ceruloplasmin; CP-2; EC 1.16.3.1; Ferroxidase |
应用说明
| 应用建议 |
|
||||||
|---|---|---|---|---|---|---|---|
| 应用说明 | IHC-P: Antigen Retrieval: Citrate buffer (10mM, pH 6.0), boiling bathing for 20 min. * The dilutions indicate recommended starting dilutions and the optimal dilutions or concentrations should be determined by the scientist. |
属性
| 形式 | Liquid |
|---|---|
| 纯化 | Affinity purification with immunogen. |
| 缓冲液 | PBS, 0.025% Sodium azide and 2.5% BSA. |
| 抗菌剂 | 0.025% Sodium azide |
| 稳定剂 | 2.5% BSA |
| 浓度 | 0.5 mg/ml |
| 存放说明 | For continuous use, store undiluted antibody at 2-8°C for up to a week. For long-term storage, aliquot and store at -20°C or below. Storage in frost free freezers is not recommended. Avoid repeated freeze/thaw cycles. Suggest spin the vial prior to opening. The antibody solution should be gently mixed before use. |
| 注意事项 | For laboratory research only, not for drug, diagnostic or other use. |
生物信息
| 数据库连接 | |
|---|---|
| 基因名称 | CP |
| 全名 | ceruloplasmin (ferroxidase) |
| 背景介绍 | The protein encoded by this gene is a metalloprotein that binds most of the copper in plasma and is involved in the peroxidation of Fe(II)transferrin to Fe(III) transferrin. Mutations in this gene cause aceruloplasminemia, which results in iron accumulation and tissue damage, and is associated with diabetes and neurologic abnormalities. Two transcript variants, one protein-coding and the other not protein-coding, have been found for this gene. [provided by RefSeq, Feb 2012] |
| 生物功能 | Ceruloplasmin is a blue, copper-binding (6-7 atoms per molecule) glycoprotein. It has ferroxidase activity oxidizing Fe(2+) to Fe(3+) without releasing radical oxygen species. It is involved in iron transport across the cell membrane. Provides Cu(2+) ions for the ascorbate-mediated deaminase degradation of the heparan sulfate chains of GPC1. May also play a role in fetal lung development or pulmonary antioxidant defense (By similarity). [UniProt] |
| 预测分子量 | ~130 kDa. The ~180 kDa may represent the glycosylated form of the protein. |
检测图片 (2) Click the Picture to Zoom In
-
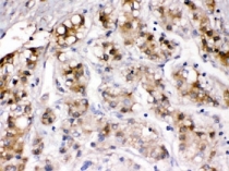
ARG10769 anti-Ceruloplasmin antibody IHC-P image
Immunohistochemistry: Formalin-fixed and paraffin-embedded Human liver cancer tissue stained with ARG10769 anti-Ceruloplasmin antibody. Antigen retrieval: Citrate buffer (10mM, pH 6.0), boiling bathing for 20 min.
-
ARG10769 anti-Ceruloplasmin antibody WB image
Western: 1) 22RV1, and 2) A549 cell lysates stained with ARG10769 anti-Ceruloplasmin antibody.
