ARG54706
anti-Caspase 9 phospho (Ser196) antibody
anti-Caspase 9 phospho (Ser196) antibody for IHC-Formalin-fixed paraffin-embedded sections,Western blot and Human
Cancer antibody; Cell Biology and Cellular Response antibody; Cell Death antibody; Metabolism antibody; Mitochondria/Caspase Dependant Apoptosis Marker antibody
概述
| 产品描述 | Rabbit Polyclonal antibody recognizes Caspase 9 phospho (Ser196) |
|---|---|
| 反应物种 | Hu |
| 应用 | IHC-P, WB |
| 宿主 | Rabbit |
| 克隆 | Polyclonal |
| 同位型 | IgG |
| 靶点名称 | Caspase 9 |
| 抗原物种 | Human |
| 抗原 | KLH-conjugated phosphospecific peptide around Ser196 of Human Caspase 9 (NP_001220.2). |
| 偶联标记 | Un-conjugated |
| 別名 | APAF-3; ICE-LAP6; PPP1R56; CASP-9; Apoptotic protease-activating factor 3; Caspase-9; ICE-like apoptotic protease 6; Apoptotic protease Mch-6; APAF3; MCH6; EC 3.4.22.62 |
应用说明
| 应用建议 |
|
||||||
|---|---|---|---|---|---|---|---|
| 应用说明 | * The dilutions indicate recommended starting dilutions and the optimal dilutions or concentrations should be determined by the scientist. | ||||||
| 阳性对照 | Y79 |
属性
| 纯化 | Protein G purified |
|---|---|
| 缓冲液 | PBS and 0.09% (W/V) Sodium azide |
| 抗菌剂 | 0.09% (W/V) Sodium azide |
| 存放说明 | For continuous use, store undiluted antibody at 2-8°C for up to a week. For long-term storage, aliquot and store at -20°C or below. Storage in frost free freezers is not recommended. Avoid repeated freeze/thaw cycles. Suggest spin the vial prior to opening. The antibody solution should be gently mixed before use. |
| 注意事项 | For laboratory research only, not for drug, diagnostic or other use. |
生物信息
| 数据库连接 | |
|---|---|
| 基因名称 | CASP9 |
| 全名 | caspase 9, apoptosis-related cysteine peptidase |
| 背景介绍 | This gene encodes a member of the cysteine-aspartic acid protease (caspase) family. Sequential activation of caspases plays a central role in the execution-phase of cell apoptosis. Caspases exist as inactive proenzymes which undergo proteolytic processing at conserved aspartic residues to produce two subunits, large and small, that dimerize to form the active enzyme. This protein can undergo autoproteolytic processing and activation by the apoptosome, a protein complex of cytochrome c and the apoptotic peptidase activating factor 1; this step is thought to be one of the earliest in the caspase activation cascade. This protein is thought to play a central role in apoptosis and to be a tumor suppressor. Alternative splicing results in multiple transcript variants. [provided by RefSeq, May 2013] |
| 生物功能 | Involved in the activation cascade of caspases responsible for apoptosis execution. Binding of caspase-9 to Apaf- 1 leads to activation of the protease which then cleaves and activates caspase-3. Promotes DNA damage-induced apoptosis in a ABL1/c-Abl-dependent manner. Proteolytically cleaves poly(ADP- ribose) polymerase (PARP). [From Uniprot] |
| 研究领域 | Cancer antibody; Cell Biology and Cellular Response antibody; Cell Death antibody; Metabolism antibody; Mitochondria/Caspase Dependant Apoptosis Marker antibody |
| 预测分子量 | 46 kDa |
| 翻译后修饰 | Cleavages at Asp-315 by granzyme B and at Asp-330 by caspase-3 generate the two active subunits. Caspase-8 and -10 can also be involved in these processing events. Phosphorylated at Thr-125 by MAPK1/ERK2. Phosphorylation at Thr-125 is sufficient to block caspase-9 processing and subsequent caspase-3 activation. Phosphorylation on Tyr-153 by ABL1/c-Abl; occurs in the response of cells to DNA damage. |
检测图片 (2) Click the Picture to Zoom In
-
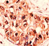
ARG54706 anti-Caspase 9 phospho (Ser196) antibody IHC-P image
Immunohistochemistry: Paraffin-embedded Human hepatocarcinoma tissue stained with ARG54706 anti-Caspase 9 phospho (Ser196) antibody.
-
ARG54706 anti-Caspase 9 phospho (Ser196) antibody WB image
Western blot: Y79 cell lysate stained with ARG54706 anti-Caspase 9 phospho (Ser196) antibody.
