ARG41639
anti-Caspase 7 antibody
anti-Caspase 7 antibody for IHC-Formalin-fixed paraffin-embedded sections,Western blot and Human,Rat
概述
| 产品描述 | Rabbit Polyclonal antibody recognizes Caspase 7 |
|---|---|
| 反应物种 | Hu, Rat |
| 应用 | IHC-P, WB |
| 宿主 | Rabbit |
| 克隆 | Polyclonal |
| 同位型 | IgG |
| 靶点名称 | Caspase 7 |
| 抗原物种 | Human |
| 抗原 | Recombinant protein corresponding to A117-D198 of Human Caspase 7. |
| 偶联标记 | Un-conjugated |
| 別名 | ICE-LAP3; Caspase-7; CASP-7; LICE2; ICE-like apoptotic protease 3; Apoptotic protease Mch-3; EC 3.4.22.60; CMH-1; MCH3 |
应用说明
| 应用建议 |
|
||||||
|---|---|---|---|---|---|---|---|
| 应用说明 | * The dilutions indicate recommended starting dilutions and the optimal dilutions or concentrations should be determined by the scientist. | ||||||
| 实际分子量 | ~ 35 kDa |
属性
| 形式 | Liquid |
|---|---|
| 纯化 | Affinity purification with immunogen. |
| 缓冲液 | 0.2% Na2HPO4, 0.9% NaCl, 0.05% Sodium azide and 5% BSA. |
| 抗菌剂 | 0.05% Sodium azide |
| 稳定剂 | 5% BSA |
| 浓度 | 0.5 mg/ml |
| 存放说明 | For continuous use, store undiluted antibody at 2-8°C for up to a week. For long-term storage, aliquot and store at -20°C or below. Storage in frost free freezers is not recommended. Avoid repeated freeze/thaw cycles. Suggest spin the vial prior to opening. The antibody solution should be gently mixed before use. |
| 注意事项 | For laboratory research only, not for drug, diagnostic or other use. |
生物信息
| 数据库连接 | |
|---|---|
| 基因名称 | CASP7 |
| 全名 | caspase 7, apoptosis-related cysteine peptidase |
| 背景介绍 | This gene encodes a member of the cysteine-aspartic acid protease (caspase) family. Sequential activation of caspases plays a central role in the execution-phase of cell apoptosis. Caspases exist as inactive proenzymes which undergo proteolytic processing at conserved aspartic residues to produce two subunits, large and small, that dimerize to form the active enzyme. The precursor of the encoded protein is cleaved by caspase 3 and 10, is activated upon cell death stimuli and induces apoptosis. Alternatively spliced transcript variants encoding multiple isoforms have been observed for this gene. [provided by RefSeq, May 2012] |
| 生物功能 | Involved in the activation cascade of caspases responsible for apoptosis execution. Cleaves and activates sterol regulatory element binding proteins (SREBPs). Proteolytically cleaves poly(ADP-ribose) polymerase (PARP) at a '216-Asp-|-Gly-217' bond. Overexpression promotes programmed cell death. [UniProt] |
| 细胞定位 | Cytoplasm. [UniProt] |
| 预测分子量 | 34 kDa |
| 翻译后修饰 | Cleavages by granzyme B or caspase-10 generate the two active subunits. Propeptide domains can also be cleaved efficiently by caspase-3. Active heterodimers between the small subunit of caspase-7 and the large subunit of caspase-3, and vice versa, also occur. [UniProt] |
检测图片 (2) Click the Picture to Zoom In
-
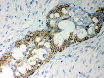
ARG41639 anti-Caspase 7 antibody IHC-P image
Immunohistochemistry: Paraffin-embedded Human mammary cancer tissue stained with ARG41639 anti-Caspase 7 antibody.
-
ARG41639 anti-Caspase 7 antibody WB image
Western blot: 40 µg of A549, 50 µg of Rat spleen and 50 µg of Rat lung lysates stained with ARG41639 anti-Caspase 7 antibody at 0.5 µg/ml dilution.
