ARG41679
anti-Caspase 6 (fullength + P18) antibody
anti-Caspase 6 (fullength + P18) antibody for IHC-Frozen sections,IHC-Formalin-fixed paraffin-embedded sections,Western blot and Mouse,Rat
概述
| 产品描述 | Rabbit Polyclonal antibody recognizes Caspase 6 (fullength + P18) |
|---|---|
| 反应物种 | Ms, Rat |
| 应用 | IHC-Fr, IHC-P, WB |
| 宿主 | Rabbit |
| 克隆 | Polyclonal |
| 同位型 | IgG |
| 靶点名称 | Caspase 6 (fullength + P18) |
| 抗原物种 | Rat |
| 抗原 | Synthetic peptide corresponding to aa. 7-27 of Rat Caspase 6 (P18). (FYRSREVLDPAEQYKMDHKRR) |
| 偶联标记 | Un-conjugated |
| 別名 | MCH2; EC 3.4.22.59; CASP-6; Caspase-6; Apoptotic protease Mch-2 |
应用说明
| 应用建议 |
|
||||||||
|---|---|---|---|---|---|---|---|---|---|
| 应用说明 | * The dilutions indicate recommended starting dilutions and the optimal dilutions or concentrations should be determined by the scientist. | ||||||||
| 实际分子量 | ~ 33 kDa |
属性
| 形式 | Liquid |
|---|---|
| 纯化 | Affinity purification with immunogen. |
| 缓冲液 | 0.2% Na2HPO4, 0.9% NaCl, 0.05% Thimerosal, 0.05% Sodium azide and 5% BSA. |
| 抗菌剂 | 0.05% Thimerosal and 0.05% Sodium azide |
| 稳定剂 | 5% BSA |
| 浓度 | 0.5 mg/ml |
| 存放说明 | For continuous use, store undiluted antibody at 2-8°C for up to a week. For long-term storage, aliquot and store at -20°C or below. Storage in frost free freezers is not recommended. Avoid repeated freeze/thaw cycles. Suggest spin the vial prior to opening. The antibody solution should be gently mixed before use. |
| 注意事项 | For laboratory research only, not for drug, diagnostic or other use. |
生物信息
| 数据库连接 | |
|---|---|
| 基因名称 | CASP6 |
| 全名 | caspase 6, apoptosis-related cysteine peptidase |
| 背景介绍 | This gene encodes a protein which is a member of the cysteine-aspartic acid protease (caspase) family. Sequential activation of caspases plays a central role in the execution-phase of cell apoptosis. Caspases exist as inactive proenzymes which undergo proteolytic processing at conserved aspartic residues to produce two subunits, large and small, that dimerize to form the active enzyme. This protein is processed by caspases 7, 8 and 10, and is thought to function as a downstream enzyme in the caspase activation cascade. Alternative splicing of this gene results in two transcript variants that encode different isoforms. [provided by RefSeq, Jul 2008] |
| 生物功能 | Involved in the activation cascade of caspases responsible for apoptosis execution. Cleaves poly(ADP-ribose) polymerase in vitro, as well as lamins. Overexpression promotes programmed cell death. [UniProt] |
| 细胞定位 | Cytoplasm. [UniProt] |
| 预测分子量 | 33 kDa |
| 翻译后修饰 | Cleavages by caspase-3, caspase-8 or -10 generate the two active subunits. [UniProt] |
检测图片 (5) Click the Picture to Zoom In
-
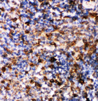
ARG41679 anti-Caspase 6 (fullength + P18) antibody IHC-P image
Immunohistochemistry: Paraffin-embedded Rat spleen tissue stained with ARG41679 anti-Caspase 6 (fullength + P18) antibody.
-
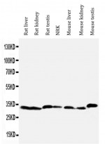
ARG41679 anti-Caspase 6 (fullength + P18) antibody WB image
Western blot: Rat liver, Rat kidney, Rat testis, NRK cell, Mouse liver, Mouse kidney and Mouse testis lysates stained with ARG41679 anti-Caspase 6 (fullength + P18) antibody.
-
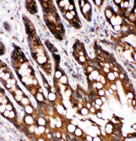
ARG41679 anti-Caspase 6 (fullength + P18) antibody IHC-P image
Immunohistochemistry: Paraffin-embedded Rat intestine tissue stained with ARG41679 anti-Caspase 6 (fullength + P18) antibody.
-
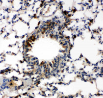
ARG41679 anti-Caspase 6 (fullength + P18) antibody IHC-P image
Immunohistochemistry: Paraffin-embedded Mouse lung tissue stained with ARG41679 anti-Caspase 6 (fullength + P18) antibody.
-
ARG41679 anti-Caspase 6 (fullength + P18) antibody IHC-Fr image
Immunohistochemistry: Frozen section of Rat spleen tissue stained with ARG41679 anti-Caspase 6 (fullength + P18) antibody.
