ARG41725
anti-Caspase 4 antibody
anti-Caspase 4 antibody for Flow cytometry,ICC/IF,IHC-Formalin-fixed paraffin-embedded sections,Western blot and Human,Mouse,Rat
概述
| 产品描述 | Rabbit Polyclonal antibody recognizes Caspase 4 |
|---|---|
| 反应物种 | Hu, Ms, Rat |
| 应用 | FACS, ICC/IF, IHC-P, WB |
| 宿主 | Rabbit |
| 克隆 | Polyclonal |
| 同位型 | IgG |
| 靶点名称 | Caspase 4 |
| 抗原物种 | Mouse |
| 抗原 | Recombinant protein corresponding to E108-T195 of Mouse Caspase 4. |
| 偶联标记 | Un-conjugated |
| 別名 | Mih1/TX; Protease ICH-2; Caspase-4; EC 3.4.22.57; TX; CASP-4; Protease TX; ICE; ICH-2; ICE(rel)II; rel; ICEREL-II |
应用说明
| 应用建议 |
|
||||||||||
|---|---|---|---|---|---|---|---|---|---|---|---|
| 应用说明 | IHC-P: Antigen Retrieval: Heat mediation was performed in Citrate buffer (pH 6.0, epitope retrieval solution) for 20 min. * The dilutions indicate recommended starting dilutions and the optimal dilutions or concentrations should be determined by the scientist. |
||||||||||
| 实际分子量 | ~ 43 kDa |
属性
| 形式 | Liquid |
|---|---|
| 纯化 | Affinity purification with immunogen. |
| 缓冲液 | 0.2% Na2HPO4, 0.9% NaCl, 0.05% Sodium azide and 4% Trehalose. |
| 抗菌剂 | 0.05% Sodium azide |
| 稳定剂 | 4% Trehalose |
| 浓度 | 0.5 mg/ml |
| 存放说明 | For continuous use, store undiluted antibody at 2-8°C for up to a week. For long-term storage, aliquot and store at -20°C or below. Storage in frost free freezers is not recommended. Avoid repeated freeze/thaw cycles. Suggest spin the vial prior to opening. The antibody solution should be gently mixed before use. |
| 注意事项 | For laboratory research only, not for drug, diagnostic or other use. |
生物信息
| 数据库连接 | |
|---|---|
| 基因名称 | CASP4 |
| 全名 | caspase 4, apoptosis-related cysteine peptidase |
| 背景介绍 | This gene encodes a protein that is a member of the cysteine-aspartic acid protease (caspase) family. Sequential activation of caspases plays a central role in the execution-phase of cell apoptosis. Caspases exist as inactive proenzymes composed of a prodomain and a large and small protease subunit. Activation of caspases requires proteolytic processing at conserved internal aspartic residues to generate a heterodimeric enzyme consisting of the large and small subunits. This caspase is able to cleave and activate its own precursor protein, as well as caspase 1 precursor. When overexpressed, this gene induces cell apoptosis. Alternative splicing results in transcript variants encoding distinct isoforms. [provided by RefSeq, Jul 2008] |
| 生物功能 | Involved in the activation cascade of caspases responsible for apoptosis execution. Involved in ER-stress induced apoptosis. Cleaves caspase-1. [UniProt] |
| 细胞定位 | Cytoplasm, cytosol. Endoplasmic reticulum membrane; Peripheral membrane protein; Cytoplasmic side. Mitochondrion. Inflammasome. Secreted. Note=Predominantly localizes to the endoplasmic reticulum (ER). Association with the ER membrane requires TMEM214 (PubMed:15123740). Released in the extracellular milieu by keratinocytes following UVB irradiation (PubMed:22246630). [UniProt] |
| 预测分子量 | 43 kDa |
| 翻译后修饰 | In response to activation signals, including endoplasmic reticulum stress or treatment with amyloid beta A4 protein fragments (such as beta-amyloid protein 40), undergoes autoproteolytic cleavage. [UniProt] |
检测图片 (5) Click the Picture to Zoom In
-
ARG41725 anti-Caspase 4 antibody ICC/IF image
Immunofluorescence: A431 cells stained with ARG41725 anti-Caspase 4 antibody at 2 µg/ml dilution, overnight at 4°C. DAPI (blue) for nuclear staining.
-
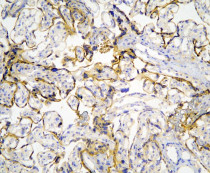
ARG41725 anti-Caspase 4 antibody IHC-P image
Immunohistochemistry: Paraffin-embedded Human placenta tissue. Antigen Retrieval: Heat mediation was performed in Citrate buffer (pH 6.0, epitope retrieval solution) for 20 min. The tissue section was blocked with 10% goat serum. The tissue section was then stained with ARG41725 anti-Caspase 4 antibody at 1 µg/ml dilution, overnight at 4°C.
-
ARG41725 anti-Caspase 4 antibody WB image
Western blot: 50 µg of samples under reducing conditions. Mouse liver, Mouse testis, Mouse thymus, Mouse lung, HEPA1-6, NIH/3T3 and SP20 whole cell lysates stained with ARG41725 anti-Caspase 4 antibody at 0.5 µg/ml dilution, overnight at 4°C.
-
ARG41725 anti-Caspase 4 antibody FACS image
Flow Cytometry: A431 cells were blocked with 10% normal goat serum and then stained with ARG41725 anti-Caspase 4 antibody (blue) at 1 µg/10^6 cells for 30 min at 20°C, followed by incubation with DyLight®488 labelled secondary antibody. Isotype control antibody (green) was Rabbit IgG (1 µg/10^6 cells) used under the same conditions. Unlabelled sample (red) was also used as a control.
-
ARG41725 anti-Caspase 4 antibody WB image
Western blot: 50 µg of samples under reducing conditions. Rat liver, Rat testis, Rat stomach, Rat thymus, COLO-320, HepG2, 22Rv1, PANC-1 and SGC-7901 whole cell lysates stained with ARG41725 anti-Caspase 4 antibody at 0.5 µg/ml dilution, overnight at 4°C.
