ARG55176
anti-Caspase 12 antibody
anti-Caspase 12 antibody for ELISA,ICC/IF,IHC-Formalin-fixed paraffin-embedded sections,Western blot and Human,Mouse,Rat
Cancer antibody; Cell Biology and Cellular Response antibody; Cell Death antibody; Metabolism antibody; Neuroscience antibody
概述
| 产品描述 | Rabbit Polyclonal antibody recognizes Caspase 12 |
|---|---|
| 反应物种 | Hu, Ms, Rat |
| 应用 | ELISA, ICC/IF, IHC-P, WB |
| 宿主 | Rabbit |
| 克隆 | Polyclonal |
| 同位型 | IgG |
| 靶点名称 | Caspase 12 |
| 抗原物种 | Mouse |
| 抗原 | Synthetic peptide (17 aa) within aa. 90-140 of Mouse Caspase-12. |
| 偶联标记 | Un-conjugated |
| 別名 | Inactive caspase-12; CASP-12; CASP12P1 |
应用说明
| 应用建议 |
|
||||||||||
|---|---|---|---|---|---|---|---|---|---|---|---|
| 应用说明 | * The dilutions indicate recommended starting dilutions and the optimal dilutions or concentrations should be determined by the scientist. | ||||||||||
| 阳性对照 | Mouse Brain Tissue Lysate |
属性
| 形式 | Liquid |
|---|---|
| 纯化 | Affinity purification with immunogen. |
| 缓冲液 | PBS and 0.02% Sodium azide |
| 抗菌剂 | 0.02% Sodium azide |
| 浓度 | 1 mg/ml |
| 存放说明 | For continuous use, store undiluted antibody at 2-8°C for up to a week. For long-term storage, aliquot and store at -20°C or below. Storage in frost free freezers is not recommended. Avoid repeated freeze/thaw cycles. Suggest spin the vial prior to opening. The antibody solution should be gently mixed before use. |
| 注意事项 | For laboratory research only, not for drug, diagnostic or other use. |
生物信息
| 数据库连接 | |
|---|---|
| 基因名称 | Casp12 |
| 全名 | caspase 12 |
| 背景介绍 | Three distinct signaling pathways lead to programmed cell death (apoptosis). The death receptor and mitochondrion pathways are the mains, in which the key apoptotic proteases capase-8 and caspase-9, respectively, are involved. The endoplasmic reticulum (ER) stress is the third apoptotic pathway and caspase-12 is involved. Caspase-12 is localized to the ER but not to cytoplasm or mitochondrion. Caspase-12 is activated by ER stress, including disruption of ER calcium homeostasis, and mediates ER stress-induced apoptosis. Caspase-12 is co-localized to the ER with several proteins that are involved in Alzheimer's disease including gamma-secretase presenilin and beta-amyloid precursor protein (APP). Caspase-12 mediates cytotoxicity induced by amyloid-beta. Caspase-12 is ubiquitously expressed in mouse tissues. |
| 生物功能 | Involved in the activation cascade of caspases responsible for apoptosis execution. [UniProt] |
| 研究领域 | Cancer antibody; Cell Biology and Cellular Response antibody; Cell Death antibody; Metabolism antibody; Neuroscience antibody |
| 预测分子量 | 39 kDa |
检测图片 (3) Click the Picture to Zoom In
-
ARG55176 anti-Caspase 12 antibody WB image
Western blot: Mouse brain tissue lysate in the absence (A) or presence (B) of blocking peptide stained with ARG55176 anti-Caspase 12 antibody at 1 ug/ml dilution.
-
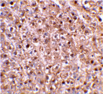
ARG55176 anti-Caspase 12 antibody IHC image
Immunohistochemistry: Mouse liver tissue stained with ARG55176 anti-Caspase 12 antibody at 2 ug/ml dilution.
-
ARG55176 anti-Caspase 12 antibody ICC/IF image
Immunofluorescence: Mouse Liver cells stained with ARG55176 anti-Caspase 12 antibody at 10 ug/ml dilution.
