ARG40554
anti-Caspase 12 antibody
anti-Caspase 12 antibody for IHC-Formalin-fixed paraffin-embedded sections,Western blot and Human,Mouse,Rat
概述
| 产品描述 | Rabbit Polyclonal antibody recognizes Caspase 12 |
|---|---|
| 反应物种 | Hu, Ms, Rat |
| 应用 | IHC-P, WB |
| 宿主 | Rabbit |
| 克隆 | Polyclonal |
| 同位型 | IgG |
| 靶点名称 | Caspase 12 |
| 抗原物种 | Human |
| 抗原 | Synthetic peptide within aa. 1-100 of Human Caspase 12 (NP_001177945.2). |
| 偶联标记 | Un-conjugated |
| 別名 | Inactive caspase-12; CASP-12; CASP12P1 |
应用说明
| 应用建议 |
|
||||||
|---|---|---|---|---|---|---|---|
| 应用说明 | * The dilutions indicate recommended starting dilutions and the optimal dilutions or concentrations should be determined by the scientist. | ||||||
| 阳性对照 | Mouse lung | ||||||
| 实际分子量 | 39 kDa |
属性
| 形式 | Liquid |
|---|---|
| 纯化 | Affinity purified. |
| 缓冲液 | PBS (pH 7.3), 0.02% Sodium azide and 50% Glycerol. |
| 抗菌剂 | 0.02% Sodium azide |
| 稳定剂 | 50% Glycerol |
| 存放说明 | For continuous use, store undiluted antibody at 2-8°C for up to a week. For long-term storage, aliquot and store at -20°C. Storage in frost free freezers is not recommended. Avoid repeated freeze/thaw cycles. Suggest spin the vial prior to opening. The antibody solution should be gently mixed before use. |
| 注意事项 | For laboratory research only, not for drug, diagnostic or other use. |
生物信息
| 数据库连接 | |
|---|---|
| 基因名称 | CASP12 |
| 全名 | caspase 12 (gene/pseudogene) |
| 背景介绍 | Caspases are cysteine proteases that cleave C-terminal aspartic acid residues on their substrate molecules. This gene is most highly related to members of the ICE subfamily of caspases that process inflammatory cytokines. In rodents, the homolog of this gene mediates apoptosis in response to endoplasmic reticulum stress. However, in humans this gene contains a polymorphism for the presence or absence of a premature stop codon. The majority of human individuals have the premature stop codon and produce a truncated non-functional protein. The read-through codon occurs primarily in individuals of African descent and carriers have endotoxin hypo-responsiveness and an increased susceptibility to severe sepsis. Several alternatively spliced transcript variants have been noted for this gene. [provided by RefSeq, Feb 2011] |
| 生物功能 | Has no protease activity. May reduce cytokine release in response to bacterial lipopolysaccharide during infections. Reduces activation of NF-kappa-B in response to TNF. [UniProt] |
| 预测分子量 | 39 kDa |
检测图片 (2) Click the Picture to Zoom In
-
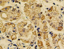
ARG40554 anti-Caspase 12 antibody IHC-P image
Immunohistochemistry: Paraffin-embedded Human stomach stained with ARG40554 anti-Caspase 12 antibody at 1:100 dilution.
-
ARG40554 anti-Caspase 12 antibody WB image
Western blot: 25 µg of Mouse lung lysate stained with ARG40554 anti-Caspase 12 antibody at 1:1000 dilution.
