ARG64979
anti-Calponin 2 antibody
anti-Calponin 2 antibody for IHC-Formalin-fixed paraffin-embedded sections,Western blot and Human
Cell Biology and Cellular Response antibody; Signaling Transduction antibody
概述
| 产品描述 | Goat Polyclonal antibody recognizes Calponin 2 |
|---|---|
| 反应物种 | Hu |
| 应用 | IHC-P, WB |
| 特异性 | This antibody is expected to recognize both reported isoforms (NP_004359.1; NP_958434.1), but it is not expected to cross-react with CCN3. |
| 宿主 | Goat |
| 克隆 | Polyclonal |
| 同位型 | IgG |
| 靶点名称 | Calponin 2 |
| 抗原物种 | Human |
| 抗原 | C-DPGEVPEYPPYYQEE |
| 偶联标记 | Un-conjugated |
| 別名 | Calponin-2; Neutral calponin; Calponin H2, smooth muscle |
应用说明
| 应用建议 |
|
||||||
|---|---|---|---|---|---|---|---|
| 应用说明 | WB: Recommend incubate at RT for 1h. IHC-P: Antigen Retrieval: Steam tissue section in Citrate buffer (pH 6.0). * The dilutions indicate recommended starting dilutions and the optimal dilutions or concentrations should be determined by the scientist. |
属性
| 形式 | Liquid |
|---|---|
| 纯化 | Purified from goat serum by antigen affinity chromatography. |
| 缓冲液 | Tris saline (pH 7.3), 0.02% Sodium azide and 0.5% BSA. |
| 抗菌剂 | 0.02% Sodium azide |
| 稳定剂 | 0.5% BSA |
| 浓度 | 0.5 mg/ml |
| 存放说明 | For continuous use, store undiluted antibody at 2-8°C for up to a week. For long-term storage, aliquot and store at -20°C or below. Storage in frost free freezers is not recommended. Avoid repeated freeze/thaw cycles. Suggest spin the vial prior to opening. The antibody solution should be gently mixed before use. |
| 注意事项 | For laboratory research only, not for drug, diagnostic or other use. |
生物信息
| 数据库连接 | |
|---|---|
| 背景介绍 | The protein encoded by this gene, which can bind actin, calmodulin, troponin C, and tropomyosin, may function in the structural organization of actin filaments. The encoded protein could play a role in smooth muscle contraction and cell adhesion. Two transcript variants encoding different isoforms have been found for this gene. [provided by RefSeq, Jul 2008] |
| 研究领域 | Cell Biology and Cellular Response antibody; Signaling Transduction antibody |
| 预测分子量 | 34 kDa |
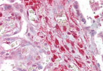
检测图片 (2) Click the Picture to Zoom In
-
ARG64979 anti-Calponin 2 antibody WB image
Western blot: HepG2 lysates (35 µg protein in RIPA buffer) with (B) and without (A) blocking with the immunising peptide. stained with ARG64979 anti-Calponin 2 antibody at 0.03 µg/ml dilution.
-
ARG64979 anti-Calponin 2 antibody IHC-P image
Immunohistochemistry: Paraffin-embedded Human placenta tissue. Antigen Retrieval: Steam tissue section in Citrate buffer (pH 6.0). The tissue section was stained with ARG64979 anti-Calponin 2 antibody at 2.5 µg/ml dilution followed by AP-staining.
