ARG55053
anti-Calpain 6 antibody
anti-Calpain 6 antibody for ELISA,ICC/IF,IHC-Formalin-fixed paraffin-embedded sections,Western blot and Human,Mouse,Rat
Cell Biology and Cellular Response antibody; Signaling Transduction antibody
概述
| 产品描述 | Rabbit Polyclonal antibody recognizes Calpain 6 |
|---|---|
| 反应物种 | Hu, Ms, Rat |
| 应用 | ELISA, ICC/IF, IHC-P, WB |
| 宿主 | Rabbit |
| 克隆 | Polyclonal |
| 同位型 | IgG |
| 靶点名称 | Calpain 6 |
| 抗原物种 | Human |
| 抗原 | Synthetic peptide (18 aa) within the last 50 aa of Human Calpain 6 protein. |
| 偶联标记 | Un-conjugated |
| 別名 | DJ914P14.1; CANPX; CalpM; Calpain-6; Calpain-like protease X-linked; Calpamodulin; CAPNX |
应用说明
| 应用建议 |
|
||||||||||
|---|---|---|---|---|---|---|---|---|---|---|---|
| 应用说明 | * The dilutions indicate recommended starting dilutions and the optimal dilutions or concentrations should be determined by the scientist. | ||||||||||
| 阳性对照 | Rat Lung Tissue Lysate |
属性
| 形式 | Liquid |
|---|---|
| 纯化 | Affinity purification with immunogen. |
| 缓冲液 | PBS and 0.02% Sodium azide |
| 抗菌剂 | 0.02% Sodium azide |
| 浓度 | 1 mg/ml |
| 存放说明 | For continuous use, store undiluted antibody at 2-8°C for up to a week. For long-term storage, aliquot and store at -20°C or below. Storage in frost free freezers is not recommended. Avoid repeated freeze/thaw cycles. Suggest spin the vial prior to opening. The antibody solution should be gently mixed before use. |
| 注意事项 | For laboratory research only, not for drug, diagnostic or other use. |
生物信息
| 数据库连接 | |
|---|---|
| 基因名称 | CAPN6 |
| 全名 | calpain 6 |
| 背景介绍 | CAPN6 Antibody: Calpains make up a ubiquitously expressed, well-conserved family of calcium-dependent cysteine proteases. The calpain proteins are heterodimers consisting of an invariant small subunit and variable large subunits. This large subunit possesses a cysteine protease domain, and both subunits possess calcium-binding domains. Calpains have been implicated in neurodegenerative processes as their activation can be triggered by calcium influx and oxidative stress. Calpain 6 (CAPN6) is most similar to Calpain 5; the C-terminal region of CAPN6 lacks homology to the calmodulin-like domain of other vertebrate calpains. CAPN6 is thought to be involved in the regulation of microtubule dynamics and cytoskeletal organization. CAPN6 has also been recently identified as an HIV dependency factor (HDF), suggesting that CAPN6 may be an important drug target in HIV treatment. |
| 生物功能 | Microtubule-stabilizing protein that may be involved in the regulation of microtubule dynamics and cytoskeletal organization. May act as a regulator of RAC1 activity through interaction with ARHGEF2 to control lamellipodial formation and cell mobility. Does not seem to have protease activity as it has lost the active site residues (By similarity). [UniProt] |
| 研究领域 | Cell Biology and Cellular Response antibody; Signaling Transduction antibody |
| 预测分子量 | 75 kDa |
检测图片 (3) Click the Picture to Zoom In
-
ARG55053 anti-Calpain 6 antibody WB image
Western blot: rat lung tissue lysate stained with ARG55053 anti-Calpain 6 antibody at (A) 0.5 and (B) 1 ug/ml dilution.
-
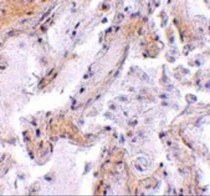
ARG55053 anti-Calpain 6 antibody IHC image
Immunohistochemistry: CAPN6 in human lung tissue stained with ARG55053 anti-Calpain 6 antibody at 2.5 ug/ml dilution.
-
ARG55053 anti-Calpain 6 antibody ICC/IF image
Immunofluorescence: Human Lung cells stained with ARG55053 anti-Calpain 6 antibody at 20 ug/ml dilution.
