ARG40279
anti-Calpain 1 antibody
anti-Calpain 1 antibody for Flow cytometry,ICC/IF,IHC-Formalin-fixed paraffin-embedded sections,Western blot and Human,Mouse,Rat
概述
| 产品描述 | Rabbit Polyclonal antibody recognizes Calpain 1 |
|---|---|
| 反应物种 | Hu, Ms, Rat |
| 应用 | FACS, ICC/IF, IHC-P, WB |
| 宿主 | Rabbit |
| 克隆 | Polyclonal |
| 同位型 | IgG |
| 靶点名称 | Calpain 1 |
| 抗原物种 | Human |
| 抗原 | Recombinant protein corresponding to Q396-A555 of Human Calpain 1. |
| 偶联标记 | Un-conjugated |
| 別名 | EC 3.4.22.52; CANP1; Calpain-1 large subunit; Calpain-1 catalytic subunit; Calpain mu-type; muCANP; Cell proliferation-inducing gene 30 protein; Micromolar-calpain; CANP 1; CANP; muCL; CANPL1; Calcium-activated neutral proteinase 1 |
应用说明
| 应用建议 |
|
||||||||||
|---|---|---|---|---|---|---|---|---|---|---|---|
| 应用说明 | IHC-P: Antigen Retrieval: By heat mediation. * The dilutions indicate recommended starting dilutions and the optimal dilutions or concentrations should be determined by the scientist. |
||||||||||
| 实际分子量 | ~ 80 kDa |
属性
| 形式 | Liquid |
|---|---|
| 纯化 | Affinity purification with immunogen. |
| 缓冲液 | 0.2% Na2HPO4, 0.9% NaCl, 0.05% Sodium azide and 5% BSA. |
| 抗菌剂 | 0.05% Sodium azide |
| 稳定剂 | 5% BSA |
| 浓度 | 0.5 mg/ml |
| 存放说明 | For continuous use, store undiluted antibody at 2-8°C for up to a week. For long-term storage, aliquot and store at -20°C or below. Storage in frost free freezers is not recommended. Avoid repeated freeze/thaw cycles. Suggest spin the vial prior to opening. The antibody solution should be gently mixed before use. |
| 注意事项 | For laboratory research only, not for drug, diagnostic or other use. |
生物信息
| 数据库连接 | |
|---|---|
| 基因名称 | CAPN1 |
| 全名 | calpain 1, (mu/I) large subunit |
| 背景介绍 | The calpains, calcium-activated neutral proteases, are nonlysosomal, intracellular cysteine proteases. The mammalian calpains include ubiquitous, stomach-specific, and muscle-specific proteins. The ubiquitous enzymes consist of heterodimers with distinct large, catalytic subunits associated with a common small, regulatory subunit. This gene encodes the large subunit of the ubiquitous enzyme, calpain 1. Several transcript variants encoding two different isoforms have been found for this gene. [provided by RefSeq, Nov 2010] |
| 生物功能 | Calcium-regulated non-lysosomal thiol-protease which catalyze limited proteolysis of substrates involved in cytoskeletal remodeling and signal transduction. [UniProt] |
| 细胞定位 | Cytoplasm. Cell membrane. Note=Translocates to the plasma membrane upon Ca(2+) binding. In granular keratinocytes and in lower corneocytes, colocalizes with FLG and FLG2 (PubMed:21531719). [UniProt] |
| 预测分子量 | 82 kDa |
| 翻译后修饰 | Undergoes calcium-induced successive autoproteolytic cleavages that generate a membrane-bound 78 kDa active form and an intracellular 75 kDa active form. Calpastatin reduces with high efficiency the transition from 78 kDa to 75 kDa calpain forms. [UniProt] |
检测图片 (4) Click the Picture to Zoom In
-
ARG40279 anti-Calpain 1 antibody ICC/IF image
Immunofluorescence: U2OS cells were blocked with 10% goat serum and then stained with ARG40279 anti-Calpain 1 antibody (red) at 2 µg/ml dilution, overnight at 4°C. DAPI (blue) for nuclear staining.
-
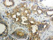
ARG40279 anti-Calpain 1 antibody IHC-P image
Immunohistochemistry: Paraffin-embedded Human mammary cancer stained with ARG40279 anti-Calpain 1 antibody.
-
ARG40279 anti-Calpain 1 antibody WB image
Western blot: 50 µg of Rat lung, 50 µg of Mouse lung, 40 µg of A549, 40 µg of COLO320 and 40 µg of Jurkat whole cell lysates stained with ARG40279 anti-Calpain 1 antibody at 0.5 µg/ml dilution.
-
ARG40279 anti-Calpain 1 antibody FACS image
Flow Cytometry: PC-3 cells were blocked with 10% normal goat serum and then stained with ARG40279 anti-Calpain 1 antibody (blue) at 1 µg/10^6 cells for 30 min at 20°C, followed by incubation with DyLight®488 labelled secondary antibody. Isotype control antibody (green) was rabbit IgG (1 µg/10^6 cells) used under the same conditions. Unlabelled sample (red) was also used as a control.
