ARG54735
anti-Calpain 1 antibody [1376CT809.24.85]
anti-Calpain 1 antibody [1376CT809.24.85] for Flow cytometry,IHC-Formalin-fixed paraffin-embedded sections,Western blot and Human
Cell Biology and Cellular Response antibody; Signaling Transduction antibody
概述
| 产品描述 | Mouse Monoclonal antibody recognizes Calpain 1 |
|---|---|
| 反应物种 | Hu |
| 应用 | FACS, IHC-P, WB |
| 宿主 | Mouse |
| 克隆 | Monoclonal |
| 克隆号 | 1376CT809.24.85 |
| 同位型 | IgG1 Kappa |
| 靶点名称 | Calpain 1 |
| 抗原物种 | Human |
| 抗原 | KLH-conjugated synthetic peptide from Human CAPN1 protein (NP_001185797.1). |
| 偶联标记 | Un-conjugated |
| 別名 | EC 3.4.22.52; CANP1; Calpain-1 large subunit; Calpain-1 catalytic subunit; Calpain mu-type; muCANP; Cell proliferation-inducing gene 30 protein; Micromolar-calpain; CANP 1; CANP; muCL; CANPL1; Calcium-activated neutral proteinase 1 |
应用说明
| 应用建议 |
|
||||||||
|---|---|---|---|---|---|---|---|---|---|
| 应用说明 | * The dilutions indicate recommended starting dilutions and the optimal dilutions or concentrations should be determined by the scientist. |
属性
| 纯化 | Protein G purified |
|---|---|
| 缓冲液 | PBS and 0.09% (W/V) Sodium azide |
| 抗菌剂 | 0.09% (W/V) Sodium azide |
| 存放说明 | For continuous use, store undiluted antibody at 2-8°C for up to a week. For long-term storage, aliquot and store at -20°C or below. Storage in frost free freezers is not recommended. Avoid repeated freeze/thaw cycles. Suggest spin the vial prior to opening. The antibody solution should be gently mixed before use. |
| 注意事项 | For laboratory research only, not for drug, diagnostic or other use. |
生物信息
| 数据库连接 | |
|---|---|
| 基因名称 | CAPN1 |
| 全名 | calpain 1, (mu/I) large subunit |
| 背景介绍 | The calpains, calcium-activated neutral proteases, are nonlysosomal, intracellular cysteine proteases. The mammalian calpains include ubiquitous, stomach-specific, and muscle-specific proteins. The ubiquitous enzymes consist of heterodimers with distinct large, catalytic subunits associated with a common small, regulatory subunit. This gene encodes the large subunit of the ubiquitous enzyme, calpain 1. Several transcript variants encoding two different isoforms have been found for this gene. [provided by RefSeq, Nov 2010] |
| 生物功能 | Calcium-regulated non-lysosomal thiol-protease which catalyze limited proteolysis of substrates involved in cytoskeletal remodeling and signal transduction. [From Uniprot] |
| 细胞定位 | Cytoplasm. Cell membrane. Note=Translocates to the plasma membrane upon Ca(2+) binding |
| 产品亮点 | Related products: Calpain1 antibodies; Related poster download: The NF-kappa B Pathways.pdf |
| 研究领域 | Cell Biology and Cellular Response antibody; Signaling Transduction antibody |
| 预测分子量 | 82 kDa |
| 翻译后修饰 | Undergoes calcium-induced successive autoproteolytic cleavages that generate a membrane-bound 78 kDa active form and an intracellular 75 kDa active form. Calpastatin reduces with high efficiency the transition from 78 kDa to 75 kDa calpain forms. |
检测图片 (3) Click the Picture to Zoom In
-
ARG54735 anti-Calpain 1 antibody WB image
Western blot: 30 μg of MCF-7, HeLa, U87-MG and HCT116 cell lysates stained with ARG54735 anti-Calpain 1 antibody at 1:500 dilution.
-
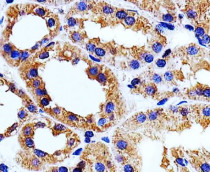
ARG54735 anti-Calpain 1 antibody IHC-P image
Immunohistochemistry: Paraffin-embedded Human kidney section stained with ARG54735 anti-Calpain 1 antibody at 1:25 dilution.
-
ARG54735 anti-Calpain 1 antibody FACS image
Flow Cytometry: HeLa cells stained with ARG54735 anti-Calpain 1 antibody (right histogram) at 1:25 dilution or isotype control antibody (left histogram), followed by incubation with Alexa Fluor® 488 labelled secondary antibody.
