ARG55062
anti-Calmodulin antibody
anti-Calmodulin antibody for IHC-Formalin-fixed paraffin-embedded sections,Western blot and Human
Cancer antibody; Cell Biology and Cellular Response antibody; Cell Death antibody; Metabolism antibody; Signaling Transduction antibody
概述
| 产品描述 | Rabbit Polyclonal antibody recognizes Calmodulin |
|---|---|
| 反应物种 | Hu |
| 预测物种 | Ms, Rat, Bov, Chk, Rb, Xenopus, Zfsh |
| 应用 | IHC-P, WB |
| 宿主 | Rabbit |
| 克隆 | Polyclonal |
| 同位型 | IgG |
| 靶点名称 | Calmodulin |
| 抗原物种 | Human |
| 抗原 | KLH-conjugated synthetic peptide corresponding to aa. 117-149 (C-terminus) of Human Calmodulin. |
| 偶联标记 | Un-conjugated |
| 別名 | LQT14; Calmodulin; CaM; PHKD; DD132; CAMI; caM; CALML2; CPVT4 |
应用说明
| 应用建议 |
|
||||||
|---|---|---|---|---|---|---|---|
| 应用说明 | * The dilutions indicate recommended starting dilutions and the optimal dilutions or concentrations should be determined by the scientist. | ||||||
| 阳性对照 | HeLa |
属性
| 形式 | Liquid |
|---|---|
| 纯化 | Purification with Protein G. |
| 缓冲液 | PBS and 0.09% (W/V) Sodium azide |
| 抗菌剂 | 0.09% (W/V) Sodium azide |
| 存放说明 | For continuous use, store undiluted antibody at 2-8°C for up to a week. For long-term storage, aliquot and store at -20°C or below. Storage in frost free freezers is not recommended. Avoid repeated freeze/thaw cycles. Suggest spin the vial prior to opening. The antibody solution should be gently mixed before use. |
| 注意事项 | For laboratory research only, not for drug, diagnostic or other use. |
生物信息
| 数据库连接 | |
|---|---|
| 基因名称 | CALM1 |
| 全名 | calmodulin 1 (phosphorylase kinase, delta) |
| 背景介绍 | This gene encodes a member of the EF-hand calcium-binding protein family. It is one of three genes which encode an identical calcium binding protein which is one of the four subunits of phosphorylase kinase. Two pseudogenes have been identified on chromosome 7 and X. Multiple transcript variants encoding different isoforms have been found for this gene.[provided by RefSeq, Oct 2009] |
| 生物功能 | Calmodulin mediates the control of a large number of enzymes, ion channels, aquaporins and other proteins by Ca(2+). Among the enzymes to be stimulated by the calmodulin-Ca(2+) complex are a number of protein kinases and phosphatases. Together with CCP110 and centrin, is involved in a genetic pathway that regulates the centrosome cycle and progression through cytokinesis. [UniProt] |
| 细胞定位 | Cytoplasm, cytoskeleton, spindle. Cytoplasm, cytoskeleton, spindle pole. Note=Distributed throughout the cell during interphase, but during mitosis becomes dramatically localized to the spindle poles and the spindle microtubules |
| 研究领域 | Cancer antibody; Cell Biology and Cellular Response antibody; Cell Death antibody; Metabolism antibody; Signaling Transduction antibody |
| 预测分子量 | 17 kDa |
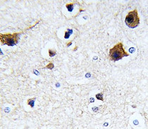
检测图片 (2) Click the Picture to Zoom In
-
ARG55062 anti-Calmodulin antibody IHC-P image
Immunohistochemistry: Formalin-fixed and paraffin-embedded Human brain tissue stained with ARG55062 anti-Calmodulin antibody.
-
ARG55062 anti-Calmodulin antibody WB image
Western blot: 35 µg of HeLa cell lysate stained with ARG55062 anti-Calmodulin antibody.
