ARG44790
anti-Calcyphosine antibody
anti-Calcyphosine antibody for IHC-Formalin-fixed paraffin-embedded sections,Immunoprecipitation,Western blot and Human
概述
| 产品描述 | Mouse Monoclonal antibody recognizes Calcyphosine |
|---|---|
| 反应物种 | Hu |
| 应用 | IHC-P, IP, WB |
| 宿主 | Mouse |
| 克隆 | Monoclonal |
| 同位型 | IgG2a |
| 靶点名称 | Calcyphosine |
| 抗原物种 | Human |
| 抗原表位 | TTQLTQGPAG RTLGQTQASC PEPRPSMDAV DATMEKLRAQ CLSRGASGIQ GLARFFRQLD RDGSRSLDAD EFRQGLAKLG LVLDQAEAEG VCRKWDRNGS GTLDLEEFLR ALRPPMSQAR EAVIAAAFAK LDRSGDGVVT VDDLRGVYSG RAHPKVRSGE WTEDEVLRRF LDNFDSSEKD GQVTLAEFQD YYSGVSASMN TDEEFVAMMT |
| 偶联标记 | Un-conjugated |
| 別名 | CAPS; Calcyphosine; CAPS1; Thyroid Protein P24; Calcyphosine 1; Calcyphosin; MGC126562 |
应用说明
| 应用建议 |
|
||||||||
|---|---|---|---|---|---|---|---|---|---|
| 应用说明 | * The dilutions indicate recommended starting dilutions and the optimal dilutions or concentrations should be determined by the scientist. |
属性
| 形式 | Liquid |
|---|---|
| 纯化 | Protein A purification |
| 缓冲液 | PBS with 0.09% sodium azide |
| 抗菌剂 | 0.09% sodium azide |
| 存放说明 | For continuous use, store undiluted antibody at 2-8°C for up to a week. For long-term storage, aliquot and store at -20°C or below. Storage in frost free freezers is not recommended. Avoid repeated freeze/thaw cycles. Suggest spin the vial prior to opening. The antibody solution should be gently mixed before use. |
| 注意事项 | For laboratory research only, not for drug, diagnostic or other use. |
生物信息
| 数据库连接 | |
|---|---|
| 基因名称 | CAPS |
| 全名 | Calcyphosine |
| 背景介绍 | This gene encodes a calcium-binding protein, which may play a role in the regulation of ion transport. A similar protein was first described as a potentially important regulatory protein in the dog thyroid and was termed as R2D5 antigen in rabbit. Alternative splicing of this gene generates two transcript variants. [provided by RefSeq, Jul 2008] |
| 生物功能 | Calcium-binding protein. May play a role in cellular signaling events (Potential). [Uniprot] |
| 细胞定位 | Cytoplasm. [Uniprot] |
| 翻译后修饰 | Phosphoprotein. [Uniprot] |
检测图片 (3) Click the Picture to Zoom In
-
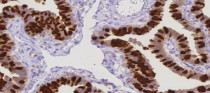
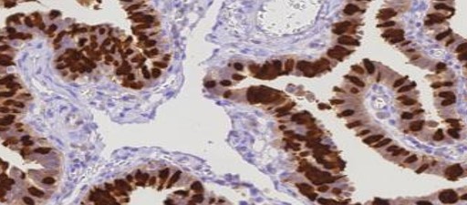
ARG44790 anti-Calcyphosine antibody IHC-P image
Immunohistochemistry: Human fallopian stained with ARG44790 anti-Calcyphosine antibody at 1 µg/mL dilution.
-
ARG44790 anti-Calcyphosine antibody WB image
Western blot: U251MG stained with ARG44790 anti-Calcyphosine antibody at 1 µg/mL dilution.
-
ARG44790 anti-Calcyphosine antibody IP image
Immunoprecipitation: U251MG lysate immunoprecipitated with 2.5 µg of ARG44790 anti-Calcyphosine antibody.
