ARG42954
anti-CYP27B1 antibody
anti-CYP27B1 antibody for IHC-Formalin-fixed paraffin-embedded sections,Western blot and Human,Mouse,Rat
概述
| 产品描述 | Rabbit Polyclonal antibody recognizes CYP27B1 |
|---|---|
| 反应物种 | Hu, Ms, Rat |
| 应用 | IHC-P, WB |
| 宿主 | Rabbit |
| 克隆 | Polyclonal |
| 同位型 | IgG |
| 靶点名称 | CYP27B1 |
| 抗原物种 | Human |
| 抗原 | Synthetic peptide corresponding to aa. 475-508 of Human CYP27B1. (HFEVQPEPGAAPVRPKTRTVLVPERSINLQFLDR) |
| 偶联标记 | Un-conjugated |
| 別名 | P450c1; 25-OHD-1 alpha-hydroxylase; VDR; 25-hydroxyvitamin D; VD3 1A hydroxylase; CYP27B; Cytochrome P450 subfamily XXVIIB polypeptide 1; Cytochrome P450C1 alpha; CP2B; EC 1.14.13.13; CYP1alpha; Cytochrome p450 27B1; VDDR; CYP1; VDD1; Calcidiol 1-monooxygenase; Cytochrome P450VD1-alpha; 25-hydroxyvitamin D-1 alpha hydroxylase, mitochondrial; VDDRI; PDDR; 3 |
应用说明
| 应用建议 |
|
||||||
|---|---|---|---|---|---|---|---|
| 应用说明 | * The dilutions indicate recommended starting dilutions and the optimal dilutions or concentrations should be determined by the scientist. | ||||||
| 实际分子量 | ~ 57 kDa |
属性
| 形式 | Liquid |
|---|---|
| 纯化 | Affinity purification with immunogen. |
| 缓冲液 | 0.2% Na2HPO4, 0.9% NaCl, 0.05% Sodium azide and 5% BSA. |
| 抗菌剂 | 0.05% Sodium azide |
| 稳定剂 | 5% BSA |
| 浓度 | 0.5 mg/ml |
| 存放说明 | For continuous use, store undiluted antibody at 2-8°C for up to a week. For long-term storage, aliquot and store at -20°C or below. Storage in frost free freezers is not recommended. Avoid repeated freeze/thaw cycles. Suggest spin the vial prior to opening. The antibody solution should be gently mixed before use. |
| 注意事项 | For laboratory research only, not for drug, diagnostic or other use. |
生物信息
| 数据库连接 | |
|---|---|
| 基因名称 | CYP27B1 |
| 全名 | cytochrome P450, family 27, subfamily B, polypeptide 1 |
| 背景介绍 | This gene encodes a member of the cytochrome P450 superfamily of enzymes. The cytochrome P450 proteins are monooxygenases which catalyze many reactions involved in drug metabolism and synthesis of cholesterol, steroids and other lipids. The protein encoded by this gene localizes to the inner mitochondrial membrane where it hydroxylates 25-hydroxyvitamin D3 at the 1alpha position. This reaction synthesizes 1alpha,25-dihydroxyvitamin D3, the active form of vitamin D3, which binds to the vitamin D receptor and regulates calcium metabolism. Thus this enzyme regulates the level of biologically active vitamin D and plays an important role in calcium homeostasis. Mutations in this gene can result in vitamin D-dependent rickets type I. [provided by RefSeq, Jul 2008] |
| 生物功能 | A cytochrome P450 monooxygenase involved in vitamin D metabolism and in calcium and phosphorus homeostasis. Catalyzes the rate-limiting step in the activation of vitamin D in the kidney, namely the hydroxylation of 25-hydroxyvitamin D3/calcidiol at the C1alpha-position to form the hormonally active form of vitamin D3, 1alpha,25-dihydroxyvitamin D3/calcitriol that acts via the vitamin D receptor (VDR) (PubMed:10518789, PubMed:9486994, PubMed:22862690, PubMed:10566658, PubMed:12050193). Has 1alpha-hydroxylase activity on vitamin D intermediates of the CYP24A1-mediated inactivation pathway (PubMed:10518789, PubMed:22862690). Converts 24R,25-dihydroxyvitamin D3/secalciferol to 1-alpha,24,25-trihydroxyvitamin D3, an active ligand of VDR. Also active on 25-hydroxyvitamin D2 (PubMed:10518789). Mechanistically, uses molecular oxygen inserting one oxygen atom into a substrate, and reducing the second into a water molecule, with two electrons provided by NADPH via FDXR/adrenodoxin reductase and FDX1/adrenodoxin (PubMed:22862690). [UniProt] |
| 细胞定位 | Mitochondrion membrane. [UniProt] |
| 预测分子量 | 57 kDa |
检测图片 (3) Click the Picture to Zoom In
-
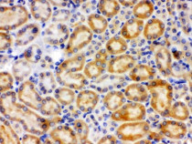
ARG42954 anti-CYP27B1 antibody IHC-P image
Immunohistochemistry: Paraffin-embedded Rat kidney tissue stained with ARG42954 anti-CYP27B1 antibody.
-
ARG42954 anti-CYP27B1 antibody WB image
Western blot: 50 µg of Rat kidney, 50 µg of Mouse kidney, 40 µg of 293T whole cell lysates stained with ARG42954 anti-CYP27B1 antibody at 0.5 µg/ml dilution.
-
ARG42954 anti-CYP27B1 antibody IHC-P image
Immunohistochemistry: Paraffin-embedded Human kidney cancer tissue stained with ARG42954 anti-CYP27B1 antibody.
