ARG42084
anti-CYP24A1 antibody
anti-CYP24A1 antibody for IHC-Formalin-fixed paraffin-embedded sections,Western blot and Human,Mouse,Rat
概述
| 产品描述 | Rabbit Polyclonal antibody recognizes CYP24A1 |
|---|---|
| 反应物种 | Hu, Ms, Rat |
| 应用 | IHC-P, WB |
| 宿主 | Rabbit |
| 克隆 | Polyclonal |
| 同位型 | IgG |
| 靶点名称 | CYP24A1 |
| 抗原物种 | Human |
| 抗原 | Recombinant protein corresponding to E153-R514 of Human CYP24A1. |
| 偶联标记 | Un-conjugated |
| 別名 | CP24; HCAI; CYP24; P450-CC24; 1,25-dihydroxyvitamin D(3) 24-hydroxylase, mitochondrial; 24-OHase; Vitamin D(3) 24-hydroxylase; EC 1.14.13.126; Cytochrome P450 24A1; Cytochrome P450-CC24 |
应用说明
| 应用建议 |
|
||||||
|---|---|---|---|---|---|---|---|
| 应用说明 | * The dilutions indicate recommended starting dilutions and the optimal dilutions or concentrations should be determined by the scientist. | ||||||
| 实际分子量 | ~ 59 kDa |
属性
| 形式 | Liquid |
|---|---|
| 纯化 | Affinity purification with immunogen. |
| 缓冲液 | 0.2% Na2HPO4, 0.9% NaCl, 0.05% Sodium azide and 5% BSA. |
| 抗菌剂 | 0.05% Sodium azide |
| 稳定剂 | 5% BSA |
| 浓度 | 0.5 mg/ml |
| 存放说明 | For continuous use, store undiluted antibody at 2-8°C for up to a week. For long-term storage, aliquot and store at -20°C or below. Storage in frost free freezers is not recommended. Avoid repeated freeze/thaw cycles. Suggest spin the vial prior to opening. The antibody solution should be gently mixed before use. |
| 注意事项 | For laboratory research only, not for drug, diagnostic or other use. |
生物信息
| 数据库连接 | |
|---|---|
| 基因名称 | CYP24A1 |
| 全名 | cytochrome P450, family 24, subfamily A, polypeptide 1 |
| 背景介绍 | This gene encodes a member of the cytochrome P450 superfamily of enzymes. The cytochrome P450 proteins are monooxygenases which catalyze many reactions involved in drug metabolism and synthesis of cholesterol, steroids and other lipids. This mitochondrial protein initiates the degradation of 1,25-dihydroxyvitamin D3, the physiologically active form of vitamin D3, by hydroxylation of the side chain. In regulating the level of vitamin D3, this enzyme plays a role in calcium homeostasis and the vitamin D endocrine system. Alternatively spliced transcript variants encoding different isoforms have been found for this gene. [provided by RefSeq, Jul 2008] |
| 生物功能 | A cytochrome P450 monooxygenase with a key role in vitamin D catabolism and calcium homeostasis. Via C24- and C23-oxidation pathways, catalyzes the inactivation of both the vitamin D precursor calcidiol (25-hydroxyvitamin D(3)) and the active hormone calcitriol (1-alpha,25-dihydroxyvitamin D(3)) (PubMed:24893882, PubMed:15574355, PubMed:8679605, PubMed:11012668, PubMed:16617161). With initial hydroxylation at C-24 (via C24-oxidation pathway), performs a sequential 6-step oxidation of calcitriol leading to the formation of the biliary metabolite calcitroic acid (PubMed:24893882, PubMed:15574355). With initial hydroxylation at C-23 (via C23-oxidation pathway), catalyzes sequential oxidation of calcidiol leading to the formation of 25(OH)D3-26,23-lactone as end product (PubMed:11012668, PubMed:8679605). Preferentially hydroxylates at C-25 other vitamin D active metabolites, such as CYP11A1-derived secosteroids 20S-hydroxycholecalciferol and 20S,23-dihydroxycholecalciferol (PubMed:25727742). Mechanistically, uses molecular oxygen inserting one oxygen atom into a substrate, and reducing the second into a water molecule, with two electrons provided by NADPH via FDXR/adrenodoxin reductase and FDX1/adrenodoxin (PubMed:8679605). [UniProt] |
| 细胞定位 | Mitochondrion. [UniProt] |
| 预测分子量 | 59 kDa |
检测图片 (4) Click the Picture to Zoom In
-
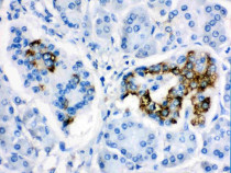
ARG42084 anti-CYP24A1 antibody IHC-P image
Immunohistochemistry: Paraffin-embedded Human pancreatic cancer tissue stained with ARG42084 anti-CYP24A1 antibody.
-
ARG42084 anti-CYP24A1 antibody WB image
Western blot: 50 µg of Rat thymus, 50 µg of Rat lung, 40 µg of HeLa, 40 µg of 22Rv1, 40 µg of A431 and 40 µg of HEPA whole cell lysates stained with ARG42084 anti-CYP24A1 antibody at 0.5 µg/ml dilution.
-
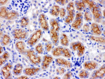
ARG42084 anti-CYP24A1 antibody IHC-P image
Immunohistochemistry: Paraffin-embedded Mouse kidney tissue stained with ARG42084 anti-CYP24A1 antibody.
-
ARG42084 anti-CYP24A1 antibody IHC-P image
Immunohistochemistry: Paraffin-embedded Rat kidney tissue stained with ARG42084 anti-CYP24A1 antibody.
