ARG45550
anti-CYB5B antibody
anti-CYB5B antibody for Flow cytometry,ICC/IF,IHC-Formalin-fixed paraffin-embedded sections,Western blot and Human,Mouse
概述
| 产品描述 | Rabbit Polyclonal antibody recognizes CYB5B |
|---|---|
| 反应物种 | Hu, Ms |
| 应用 | FACS, ICC/IF, IHC-P, WB |
| 宿主 | Rabbit |
| 克隆 | Polyclonal |
| 同位型 | IgG |
| 靶点名称 | CYB5B |
| 抗原物种 | Human |
| 抗原 | Recombinant protein containing to human CYB5B. |
| 偶联标记 | Un-conjugated |
| 別名 | CYB5B; cytochrome b5 type B (outer mitochondrial membrane); CYPB5M; CYB5-M; Cytochrome b5 outer mitochondrial membrane isoform; Cytochrome b5 type B; OMB5 |
应用说明
| 应用建议 |
|
||||||||||
|---|---|---|---|---|---|---|---|---|---|---|---|
| 应用说明 | * The dilutions indicate recommended starting dilutions and the optimal dilutions or concentrations should be determined by the scientist. | ||||||||||
| 实际分子量 | 20 kDa |
属性
| 形式 | Liquid |
|---|---|
| 纯化 | Affinity purified |
| 缓冲液 | 0.2% Na2HPO4, 0.9% NaCl and 4% Trehalose. |
| 稳定剂 | 4% Trehalose |
| 浓度 | 0.5 mg/ml |
| 存放说明 | For continuous use, store undiluted antibody at 2-8°C for up to a week. For long-term storage, aliquot and store at -20°C or below. Storage in frost free freezers is not recommended. Avoid repeated freeze/thaw cycles. Suggest spin the vial prior to opening. The antibody solution should be gently mixed before use. |
| 注意事项 | For laboratory research only, not for drug, diagnostic or other use. |
生物信息
| 数据库连接 | |
|---|---|
| 基因名称 | CYB5B |
| 全名 | cytochrome b5 type B (outer mitochondrial membrane) |
| 背景介绍 | Enables heme binding activity. Contributes to nitrite reductase (NO-forming) activity. Involved in nitric oxide biosynthetic process. Located in membrane. Part of nitric-oxide synthase complex. [provided by Alliance of Genome Resources, Feb 2025] |
| 生物功能 | Cytochrome b5 is a membrane-bound hemoprotein functioning as an electron carrier for several membrane-bound oxygenases. [UniProt] |
| 细胞定位 | Mitochondrion outer membrane. [UniProt] |
| 预测分子量 | 17 kDa |
| 翻译后修饰 | Membrane; Mitochondrion; Mitochondrion outer membrane. [UniProt] |
检测图片 (5) Click the Picture to Zoom In
-
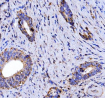
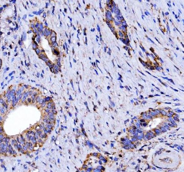
ARG45550 anti-CYB5B antibody IHC-P image
Immunohistochemistry: Human gall bladder adenosquamou stained with ARG45550 anti-CYB5B antibody at 2 μg/ml dilution.
-
ARG45550 anti-CYB5B antibody ICC/IF image
Immunofluorescence: A549 stained with ARG45550 anti-CYB5B antibody at 5 μg/ml dilution.
-
ARG45550 anti-CYB5B antibody WB image
Western blot: HepG2 stained with ARG45550 anti-CYB5B antibody at 0.5 μg/ml dilution.
-
ARG45550 anti-CYB5B antibody FACS image
Flow Cytometry: A549 stained with ARG45550 anti-CYB5B antibody at 1 µg/10^6 cells dilution.
-
ARG45550 anti-CYB5B antibody WB image
Western blot: Mouse liver stained with ARG45550 anti-CYB5B antibody at 0.5 μg/ml dilution.
