ARG58435
anti-CRY1 antibody
anti-CRY1 antibody for IHC-Formalin-fixed paraffin-embedded sections,Western blot and Human,Mouse,Rat
概述
| 产品描述 | Rabbit Polyclonal antibody recognizes CRY1 |
|---|---|
| 反应物种 | Hu, Ms, Rat |
| 预测物种 | Bov |
| 应用 | IHC-P, WB |
| 宿主 | Rabbit |
| 克隆 | Polyclonal |
| 同位型 | IgG |
| 靶点名称 | CRY1 |
| 抗原物种 | Human |
| 抗原 | Synthetic peptide corresponding to a sequence at the N-terminus of Human Cryptochrome I (153-189aa FQTLISKMEPLEIPVETITSEVIEKCTTPLSDDHDEK), different from the related Mouse sequence by seven amino acids, and from the related Rat sequence by six amino aci |
| 偶联标记 | Un-conjugated |
| 別名 | Cryptochrome-1; PHLL1 |
应用说明
| 应用建议 |
|
||||||
|---|---|---|---|---|---|---|---|
| 应用说明 | IHC-P: Antigen Retrieval: Heat mediation was performed in Citrate buffer (pH 6.0) for 20 min. * The dilutions indicate recommended starting dilutions and the optimal dilutions or concentrations should be determined by the scientist. |
属性
| 形式 | Liquid |
|---|---|
| 纯化 | Affinity purification with immunogen. |
| 缓冲液 | 0.9% NaCl, 0.2% Na2HPO4, 0.05% Sodium azide and 5% BSA. |
| 抗菌剂 | 0.05% Sodium azide |
| 稳定剂 | 5% BSA |
| 浓度 | 0.5 mg/ml |
| 存放说明 | For continuous use, store undiluted antibody at 2-8°C for up to a week. For long-term storage, aliquot and store at -20°C or below. Storage in frost free freezers is not recommended. Avoid repeated freeze/thaw cycles. Suggest spin the vial prior to opening. The antibody solution should be gently mixed before use. |
| 注意事项 | For laboratory research only, not for drug, diagnostic or other use. |
生物信息
| 数据库连接 | |
|---|---|
| 基因名称 | CRY1 |
| 全名 | cryptochrome circadian clock 1 |
| 背景介绍 | This gene encodes a flavin adenine dinucleotide-binding protein that is a key component of the circadian core oscillator complex, which regulates the circadian clock. This gene is upregulated by CLOCK/ARNTL heterodimers but then represses this upregulation in a feedback loop using PER/CRY heterodimers to interact with CLOCK/ARNTL. Polymorphisms in this gene have been associated with altered sleep patterns. The encoded protein is widely conserved across plants and animals. Loss of the related gene in mouse results in a shortened circadian cycle in complete darkness. [provided by RefSeq, Jan 2014] |
| 生物功能 | Transcriptional repressor which forms a core component of the circadian clock. The circadian clock, an internal time-keeping system, regulates various physiological processes through the generation of approximately 24 hour circadian rhythms in gene expression, which are translated into rhythms in metabolism and behavior. It is derived from the Latin roots 'circa' (about) and 'diem' (day) and acts as an important regulator of a wide array of physiological functions including metabolism, sleep, body temperature, blood pressure, endocrine, immune, cardiovascular, and renal function. Consists of two major components: the central clock, residing in the suprachiasmatic nucleus (SCN) of the brain, and the peripheral clocks that are present in nearly every tissue and organ system. Both the central and peripheral clocks can be reset by environmental cues, also known as Zeitgebers (German for 'timegivers'). The predominant Zeitgeber for the central clock is light, which is sensed by retina and signals directly to the SCN. The central clock entrains the peripheral clocks through neuronal and hormonal signals, body temperature and feeding-related cues, aligning all clocks with the external light/dark cycle. Circadian rhythms allow an organism to achieve temporal homeostasis with its environment at the molecular level by regulating gene expression to create a peak of protein expression once every 24 hours to control when a particular physiological process is most active with respect to the solar day. Transcription and translation of core clock components (CLOCK, NPAS2, ARNTL/BMAL1, ARNTL2/BMAL2, PER1, PER2, PER3, CRY1 and CRY2) plays a critical role in rhythm generation, whereas delays imposed by post-translational modifications (PTMs) are important for determining the period (tau) of the rhythms (tau refers to the period of a rhythm and is the length, in time, of one complete cycle). A diurnal rhythm is synchronized with the day/night cycle, while the ultradian and infradian rhythms have a period shorter and longer than 24 hours, respectively. Disruptions in the circadian rhythms contribute to the pathology of cardiovascular diseases, cancer, metabolic syndromes and aging. A transcription/translation feedback loop (TTFL) forms the core of the molecular circadian clock mechanism. Transcription factors, CLOCK or NPAS2 and ARNTL/BMAL1 or ARNTL2/BMAL2, form the positive limb of the feedback loop, act in the form of a heterodimer and activate the transcription of core clock genes and clock-controlled genes (involved in key metabolic processes), harboring E-box elements (5'-CACGTG-3') within their promoters. The core clock genes: PER1/2/3 and CRY1/2 which are transcriptional repressors form the negative limb of the feedback loop and interact with the CLOCK|NPAS2-ARNTL/BMAL1|ARNTL2/BMAL2 heterodimer inhibiting its activity and thereby negatively regulating their own expression. This heterodimer also activates nuclear receptors NR1D1/2 and RORA/B/G, which form a second feedback loop and which activate and repress ARNTL/BMAL1 transcription, respectively. CRY1 and CRY2 have redundant functions but also differential and selective contributions at least in defining the pace of the SCN circadian clock and its circadian transcriptional outputs. More potent transcriptional repressor in cerebellum and liver than CRY2, though more effective in lengthening the period of the SCN oscillator. On its side, CRY2 seems to play a critical role in tuning SCN circadian period by opposing the action of CRY1. With CRY2, is dispensable for circadian rhythm generation but necessary for the development of intercellular networks for rhythm synchrony. Capable of translocating circadian clock core proteins such as PER proteins to the nucleus. Interacts with CLOCK-ARNTL/BMAL1 independently of PER proteins and is found at CLOCK-ARNTL/BMAL1-bound sites, suggesting that CRY may act as a molecular gatekeeper to maintain CLOCK-ARNTL/BMAL1 in a poised and repressed state until the proper time for transcriptional activation. Represses the CLOCK-ARNTL/BMAL1 induced transcription of BHLHE40/DEC1. Represses the CLOCK-ARNTL/BMAL1 induced transcription of ATF4, MTA1, KLF10 and NAMPT (By similarity). May repress circadian target genes expression in collaboration with HDAC1 and HDAC2 through histone deacetylation. Mediates the clock-control activation of ATR and modulates ATR-mediated DNA damage checkpoint. In liver, mediates circadian regulation of cAMP signaling and gluconeogenesis by binding to membrane-coupled G proteins and blocking glucagon-mediated increases in intracellular cAMP concentrations and CREB1 phosphorylation. Besides its role in the maintenance of the circadian clock, is also involved in the regulation of other processes. Represses glucocorticoid receptor NR3C1/GR-induced transcriptional activity by binding to glucocorticoid response elements (GREs). Plays a key role in glucose and lipid metabolism modulation, in part, through the transcriptional regulation of genes involved in these pathways, such as LEP or ACSL4. [UniProt] |
| 细胞定位 | Cytoplasm. Nucleus. Translocated to the nucleus through interaction with other clock proteins such as PER2 or ARNTL/BMAL1. [UniProt] |
| 预测分子量 | 66 kDa |
| 翻译后修饰 | Phosphorylation on Ser-247 by MAPK is important for the inhibition of CLOCK-ARNTL/BMAL1-mediated transcriptional activity. Phosphorylation by CSNK1E requires interaction with PER1 or PER2. Phosphorylation at Ser-71 and Ser-280 by AMPK decreases protein stability. Phosphorylation at Ser-568 exhibits a robust circadian rhythm with a peak at CT8, increases protein stability, prevents SCF(FBXL3)-mediated degradation and is antagonized by interaction with PRKDC. Ubiquitinated by the SCF(FBXL3) and SCF(FBXL21) complexes, regulating the balance between degradation and stabilization. The SCF(FBXL3) complex is mainly nuclear and mediates ubiquitination and subsequent degradation of CRY1. In contrast, cytoplasmic SCF(FBXL21) complex-mediated ubiquitination leads to stabilize CRY1 and counteract the activity of the SCF(FBXL3) complex. The SCF(FBXL3) and SCF(FBXL21) complexes probably mediate ubiquitination at different Lys residues. Ubiquitination at Lys-11 and Lys-107 are specifically ubiquitinated by the SCF(FBXL21) complex but not by the SCF(FBXL3) complex. Ubiquitination may be inhibited by PER2. [UniProt] |
检测图片 (4) Click the Picture to Zoom In
-
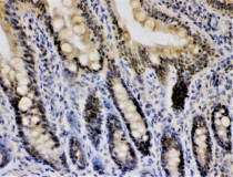
ARG58435 anti-CRY1 antibody IHC-P image
Immunohistochemistry: Paraffin-embedded Mouse intestine tissue. Antigen Retrieval: Heat mediation was performed in Citrate buffer (pH 6.0) for 20 min. The tissue section was blocked with 10% goat serum. The tissue section was then stained with ARG58435 anti-CRY1 antibody at 1 µg/ml dilution, overnight at 4°C.
-
ARG58435 anti-CRY1 antibody WB image
Western blot: 50 µg of Rat brain, 50 µg of Rat testis and 40 µg of HeLa whole cell lysates stained with ARG58435 anti-CRY1 antibody at 0.5 µg/ml diluion.
-
ARG58435 anti-CRY1 antibody IHC-P image
Immunohistochemistry: Paraffin-embedded Rat intestine tissue. Antigen Retrieval: Heat mediation was performed in Citrate buffer (pH 6.0) for 20 min. The tissue section was blocked with 10% goat serum. The tissue section was then stained with ARG58435 anti-CRY1 antibody at 1 µg/ml dilution, overnight at 4°C.
-
ARG58435 anti-CRY1 antibody IHC-P image
Immunohistochemistry: Paraffin-embedded Rat intestine tissue. Antigen Retrieval: Heat mediation was performed in Citrate buffer (pH 6.0) for 20 min. The tissue section was blocked with 10% goat serum. The tissue section was then stained with ARG58435 anti-CRY1 antibody at 1 µg/ml dilution, overnight at 4°C.
