ARG43589
anti-CRTC2 / TORC2 antibody
anti-CRTC2 / TORC2 antibody for IHC-Formalin-fixed paraffin-embedded sections,Immunoprecipitation,Western blot and Human,Rat
概述
| 产品描述 | Rabbit Polyclonal antibody recognizes CRTC2 / TORC2. |
|---|---|
| 反应物种 | Hu, Rat |
| 应用 | IHC-P, IP, WB |
| 宿主 | Rabbit |
| 克隆 | Polyclonal |
| 同位型 | IgG |
| 靶点名称 | CRTC2 / TORC2 |
| 抗原物种 | Human |
| 抗原 | Synthetic peptide derived from human CRTC2 / TORC2 |
| 偶联标记 | Un-conjugated |
| Protein Full name | CREB-regulated transcription coactivator 2 |
| 別名 | TORC2; TORC-2 |
应用说明
| 应用建议 |
|
||||||||
|---|---|---|---|---|---|---|---|---|---|
| 应用说明 | * The dilutions indicate recommended starting dilutions and the optimal dilutions or concentrations should be determined by the scientist. |
属性
| 形式 | Liquid |
|---|---|
| 纯化 | Affinity purified. |
| 缓冲液 | 50 mM Tris-Glycine (pH 7.4), 150 mM NaCl, 0.01% Sodium azide, 40% Glycerol and 0.05% BSA. |
| 抗菌剂 | 0.01% Sodium azide |
| 稳定剂 | 40% Glycerol and 0.05% BSA |
| 浓度 | Batch dependent |
| 存放说明 | For continuous use, store undiluted antibody at 2-8°C for up to a week. For long-term storage, aliquot and store at -20°C or below. Storage in frost free freezers is not recommended. Avoid repeated freeze/thaw cycles. Suggest spin the vial prior to opening. The antibody solution should be gently mixed before use. |
| 注意事项 | For laboratory research only, not for drug, diagnostic or other use. |
生物信息
| 数据库连接 |
Swiss-port # Q3LRZ1 Rat CREB-regulated transcription coactivator 2 Swiss-port # Q53ET0 Human CREB-regulated transcription coactivator 2 |
|---|---|
| 基因名称 | CRTC2 |
| 全名 | CREB regulated transcription coactivator 2 |
| 背景介绍 | This gene encodes a member of the transducers of regulated cAMP response element-binding protein activity family of transcription coactivators. These proteins promote the transcription of genes targeted by the cAMP response element-binding protein, and therefore play an important role in many cellular processes. Under basal conditions the encoded protein is phosphorylated by AMP-activated protein kinase or the salt-inducible kinases and is sequestered in the cytoplasm. Upon activation by elevated cAMP or calcium, the encoded protein translocates to the nucleus and increases target gene expression. Single nucleotide polymorphisms in this gene may increase the risk of type 2 diabetes. A pseudogene of this gene is located on the long arm of chromosome 5. [provided by RefSeq, Dec 2010] |
| 生物功能 | Transcriptional coactivator for CREB1 which activates transcription through both consensus and variant cAMP response element (CRE) sites. Acts as a coactivator, in the SIK/TORC signaling pathway, being active when dephosphorylated and acts independently of CREB1 'Ser-133' phosphorylation. Enhances the interaction of CREB1 with TAF4. Regulates gluconeogenesis as a component of the LKB1/AMPK/TORC2 signaling pathway. Regulates the expression of specific genes such as the steroidogenic gene, StAR. Potent coactivator of PPARGC1A and inducer of mitochondrial biogenesis in muscle cells. Also coactivator for TAX activation of the human T-cell leukemia virus type 1 (HTLV-1) long terminal repeats (LTR). [UniProt] |
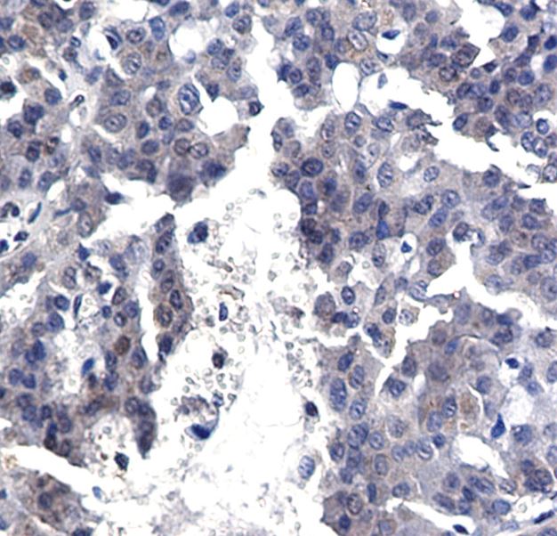
检测图片 (2) Click the Picture to Zoom In
