ARG54963
anti-COX6A2 antibody
anti-COX6A2 antibody for IHC-Formalin-fixed paraffin-embedded sections,Western blot and Human
Controls and Markers antibody; Metabolism antibody; Signaling Transduction antibody
概述
| 产品描述 | Rabbit Polyclonal antibody recognizes COX6A2 |
|---|---|
| 反应物种 | Hu |
| 应用 | IHC-P, WB |
| 宿主 | Rabbit |
| 克隆 | Polyclonal |
| 同位型 | IgG |
| 靶点名称 | COX6A2 |
| 抗原物种 | Human |
| 抗原 | KLH-conjugated synthetic peptide corresponding to aa. 37-66 (Center) of Human COX6A2. |
| 偶联标记 | Un-conjugated |
| 別名 | COX6AH; Cytochrome c oxidase subunit VIA-muscle; Cytochrome c oxidase polypeptide VIa-heart; Cytochrome c oxidase subunit 6A2, mitochondrial; COX VIa-M; COXVIAH |
应用说明
| 应用建议 |
|
||||||
|---|---|---|---|---|---|---|---|
| 应用说明 | * The dilutions indicate recommended starting dilutions and the optimal dilutions or concentrations should be determined by the scientist. | ||||||
| 阳性对照 | Human skeletal muscle |
属性
| 形式 | Liquid |
|---|---|
| 纯化 | Purification with Protein A and immunogen peptide. |
| 缓冲液 | PBS and 0.09% (W/V) Sodium azide |
| 抗菌剂 | 0.09% (W/V) Sodium azide |
| 存放说明 | For continuous use, store undiluted antibody at 2-8°C for up to a week. For long-term storage, aliquot and store at -20°C or below. Storage in frost free freezers is not recommended. Avoid repeated freeze/thaw cycles. Suggest spin the vial prior to opening. The antibody solution should be gently mixed before use. |
| 注意事项 | For laboratory research only, not for drug, diagnostic or other use. |
生物信息
| 数据库连接 |
Swiss-port # Q02221 Human Cytochrome c oxidase subunit 6A2, mitochondrial |
|---|---|
| 基因名称 | COX6A2 |
| 全名 | cytochrome c oxidase subunit VIa polypeptide 2 |
| 背景介绍 | Cytochrome c oxidase (COX), the terminal enzyme of the mitochondrial respiratory chain, catalyzes the electron transfer from reduced cytochrome c to oxygen. It is a heteromeric complex consisting of 3 catalytic subunits encoded by mitochondrial genes and multiple structural subunits encoded by nuclear genes. The mitochondrially-encoded subunits function in electron transfer, and the nuclear-encoded subunits may be involved in the regulation and assembly of the complex. This nuclear gene encodes polypeptide 2 (heart/muscle isoform) of subunit VIa, and polypeptide 2 is present only in striated muscles. Polypeptide 1 (liver isoform) of subunit VIa is encoded by a different gene, and is found in all non-muscle tissues. These two polypeptides share 66% amino acid sequence identity. [provided by RefSeq, Jul 2008] |
| 生物功能 | This protein is one of the nuclear-coded polypeptide chains of cytochrome c oxidase, the terminal oxidase in mitochondrial electron transport. [UniProt] |
| 细胞定位 | Mitochondrion inner membrane. |
| 研究领域 | Controls and Markers antibody; Metabolism antibody; Signaling Transduction antibody |
| 预测分子量 | 11 kDa |
检测图片 (2) Click the Picture to Zoom In
-
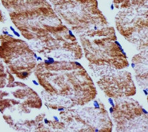
ARG54963 anti-COX6A2 antibody IHC-P image
Immunohistochemistry: Paraffin-embedded Human skeletal muscle tissue stained with ARG54963 anti-COX6A2 antibody at 1:25 dilution.
-
ARG54963 anti-COX6A2 antibody WB image
Western blot: 20 µg of Human skeletal muscle lysate stained with ARG54963 anti-COX6A2 antibody at 1:1000 dilution.
