ARG43261
anti-CLOCK / KAT13D antibody
anti-CLOCK / KAT13D antibody for IHC-Formalin-fixed paraffin-embedded sections,Western blot and Human
概述
| 产品描述 | Rabbit Polyclonal antibody recognizes CLOCK / KAT13D |
|---|---|
| 反应物种 | Hu |
| 应用 | IHC-P, WB |
| 宿主 | Rabbit |
| 克隆 | Polyclonal |
| 同位型 | IgG |
| 靶点名称 | CLOCK / KAT13D |
| 抗原物种 | Human |
| 抗原 | Synthetic peptide corresponding to aa. 241-290 of Human CLOCK / KAT13D. |
| 偶联标记 | Un-conjugated |
| 別名 | EC 2.3.1.48; hCLOCK; Class E basic helix-loop-helix protein 8; Circadian locomoter output cycles protein kaput; KAT13D; bHLHe8 |
应用说明
| 应用建议 |
|
||||||
|---|---|---|---|---|---|---|---|
| 应用说明 | * The dilutions indicate recommended starting dilutions and the optimal dilutions or concentrations should be determined by the scientist. | ||||||
| 实际分子量 | ~ 98 kDa |
属性
| 形式 | Liquid |
|---|---|
| 纯化 | Affinity purification with immunogen. |
| 纯度 | > 95% (by SDS-PAGE). |
| 缓冲液 | PBS (pH 7.2), 0.02% Sodium azide and 50% Glycerol. |
| 抗菌剂 | 0.02% Sodium azide |
| 稳定剂 | 50% Glycerol |
| 浓度 | 1 mg/ml |
| 存放说明 | For continuous use, store undiluted antibody at 2-8°C for up to a week. For long-term storage, aliquot and store at -20°C. Storage in frost free freezers is not recommended. Avoid repeated freeze/thaw cycles. Suggest spin the vial prior to opening. The antibody solution should be gently mixed before use. |
| 注意事项 | For laboratory research only, not for drug, diagnostic or other use. |
生物信息
| 数据库连接 |
Swiss-port # O15516 Human Circadian locomoter output cycles protein kaput |
|---|---|
| 基因名称 | CLOCK |
| 全名 | clock circadian regulator |
| 背景介绍 | The protein encoded by this gene plays a central role in the regulation of circadian rhythms. The protein encodes a transcription factor of the basic helix-loop-helix (bHLH) family and contains DNA binding histone acetyltransferase activity. The encoded protein forms a heterodimer with ARNTL (BMAL1) that binds E-box enhancer elements upstream of Period (PER1, PER2, PER3) and Cryptochrome (CRY1, CRY2) genes and activates transcription of these genes. PER and CRY proteins heterodimerize and repress their own transcription by interacting in a feedback loop with CLOCK/ARNTL complexes. Polymorphisms in this gene may be associated with behavioral changes in certain populations and with obesity and metabolic syndrome. Alternative splicing results in multiple transcript variants. [provided by RefSeq, Jan 2014] |
| 生物功能 | Transcriptional activator which forms a core component of the circadian clock. The circadian clock, an internal time-keeping system, regulates various physiological processes through the generation of approximately 24 hour circadian rhythms in gene expression, which are translated into rhythms in metabolism and behavior. It is derived from the Latin roots 'circa' (about) and 'diem' (day) and acts as an important regulator of a wide array of physiological functions including metabolism, sleep, body temperature, blood pressure, endocrine, immune, cardiovascular, and renal function. Consists of two major components: the central clock, residing in the suprachiasmatic nucleus (SCN) of the brain, and the peripheral clocks that are present in nearly every tissue and organ system. Both the central and peripheral clocks can be reset by environmental cues, also known as Zeitgebers (German for 'timegivers'). The predominant Zeitgeber for the central clock is light, which is sensed by retina and signals directly to the SCN. The central clock entrains the peripheral clocks through neuronal and hormonal signals, body temperature and feeding-related cues, aligning all clocks with the external light/dark cycle. Circadian rhythms allow an organism to achieve temporal homeostasis with its environment at the molecular level by regulating gene expression to create a peak of protein expression once every 24 hours to control when a particular physiological process is most active with respect to the solar day. Transcription and translation of core clock components (CLOCK, NPAS2, ARNTL/BMAL1, ARNTL2/BMAL2, PER1, PER2, PER3, CRY1 and CRY2) plays a critical role in rhythm generation, whereas delays imposed by post-translational modifications (PTMs) are important for determining the period (tau) of the rhythms (tau refers to the period of a rhythm and is the length, in time, of one complete cycle). A diurnal rhythm is synchronized with the day/night cycle, while the ultradian and infradian rhythms have a period shorter and longer than 24 hours, respectively. Disruptions in the circadian rhythms contribute to the pathology of cardiovascular diseases, cancer, metabolic syndromes and aging. A transcription/translation feedback loop (TTFL) forms the core of the molecular circadian clock mechanism. Transcription factors, CLOCK or NPAS2 and ARNTL/BMAL1 or ARNTL2/BMAL2, form the positive limb of the feedback loop, act in the form of a heterodimer and activate the transcription of core clock genes and clock-controlled genes (involved in key metabolic processes), harboring E-box elements (5'-CACGTG-3') within their promoters. The core clock genes: PER1/2/3 and CRY1/2 which are transcriptional repressors form the negative limb of the feedback loop and interact with the CLOCK|NPAS2-ARNTL/BMAL1|ARNTL2/BMAL2 heterodimer inhibiting its activity and thereby negatively regulating their own expression. This heterodimer also activates nuclear receptors NR1D1/2 and RORA/B/G, which form a second feedback loop and which activate and repress ARNTL/BMAL1 transcription, respectively. Regulates the circadian expression of ICAM1, VCAM1, CCL2, THPO and MPL and also acts as an enhancer of the transactivation potential of NF-kappaB. Plays an important role in the homeostatic regulation of sleep. The CLOCK-ARNTL/BMAL1 heterodimer regulates the circadian expression of SERPINE1/PAI1, VWF, B3, CCRN4L/NOC, NAMPT, DBP, MYOD1, PPARGC1A, PPARGC1B, SIRT1, GYS2, F7, NGFR, GNRHR, BHLHE40/DEC1, ATF4, MTA1, KLF10 and also genes implicated in glucose and lipid metabolism. Promotes rhythmic chromatin opening, regulating the DNA accessibility of other transcription factors. The CLOCK-ARNTL2/BMAL2 heterodimer activates the transcription of SERPINE1/PAI1 and BHLHE40/DEC1. The preferred binding motif for the CLOCK-ARNTL/BMAL1 heterodimer is 5'-CACGTGA-3', which contains a flanking Ala residue in addition to the canonical 6-nucleotide E-box sequence (PubMed:23229515). CLOCK specifically binds to the half-site 5'-CAC-3', while ARNTL binds to the half-site 5'-GTGA-3' (PubMed:23229515). The CLOCK-ARNTL/BMAL1 heterodimer also recognizes the non-canonical E-box motifs 5'-AACGTGA-3' and 5'-CATGTGA-3' (PubMed:23229515). CLOCK has an intrinsic acetyltransferase activity, which enables circadian chromatin remodeling by acetylating histones and nonhistone proteins, including its own partner ARNTL/BMAL1. Represses glucocorticoid receptor NR3C1/GR-induced transcriptional activity by reducing the association of NR3C1/GR to glucocorticoid response elements (GREs) via the acetylation of multiple lysine residues located in its hinge region (PubMed:21980503). The acetyltransferase activity of CLOCK is as important as its transcription activity in circadian control. Acetylates metabolic enzymes IMPDH2 and NDUFA9 in a circadian manner. Facilitated by BMAL1, rhythmically interacts and acetylates argininosuccinate synthase 1 (ASS1) leading to enzymatic inhibition of ASS1 as well as the circadian oscillation of arginine biosynthesis and subsequent ureagenesis (PubMed:28985504). Drives the circadian rhythm of blood pressure through transcriptional activation of ATP1B1 (By similarity). [UniProt] |
| 细胞定位 | Nucleus. Cytoplasm. Cytoplasm, cytosol. Note=Shuffling between the cytoplasm and the nucleus is under circadian regulation and is ARNTL/BMAL1-dependent. Phosphorylated form located in the nucleus while the nonphosphorylated form found only in the cytoplasm. Sequestered to the cytoplasm in the presence of ID2 (By similarity). Localizes to sites of DNA damage in a H2AX-independent manner. [UniProt] |
| 预测分子量 | 95 kDa |
| 翻译后修饰 | Ubiquitinated, leading to its proteasomal degradation. O-glycosylated; contains O-GlcNAc. O-glycosylation by OGT prevents protein degradation by inhibiting ubiquitination. It also stabilizes the CLOCK-ARNTL/BMAL1 heterodimer thereby increasing CLOCK-ARNTL/BMAL1-mediated transcriptional activation of PER1/2/3 and CRY1/2. Phosphorylation is dependent on the CLOCK-ARNTL/BMAL1 heterodimer formation. Phosphorylation enhances the transcriptional activity, alters the subcellular localization and decreases the stability of the heterodimer by promoting its degradation. Phosphorylation shows circadian variations in the liver. May be phosphorylated by CSNK1D and CKSN1E. Sumoylation enhances its transcriptional activity and interaction with ESR1, resulting in up-regulation of ESR1 activity. Estrogen stimulates sumoylation. Desumoylation by SENP1 negatively regulates its transcriptional activity. Sumoylation stimulates cell proliferation and increases the proportion of S phase cells in breast cancer cell lines. [UniProt] |
检测图片 (2) Click the Picture to Zoom In
-
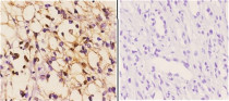
ARG43261 anti-CLOCK / KAT13D antibody IHC-P image
Immunohistochemistry: Paraffin-embedded Human colon carcinoma tissue stained with ARG43261 anti-CLOCK / KAT13D antibody at 1:50 dilution (left). Negative control: Using PBS instead of primary antibody (right).
-
ARG43261 anti-CLOCK / KAT13D antibody WB image
Western blot: 40 µg of A549, HEK293T and A2780 whole cell lysates stained with ARG43261 anti-CLOCK / KAT13D antibody at 1:500 dilution.
