ARG45390
anti-CLCN3 antibody
anti-CLCN3 antibody for Flow cytometry,ICC/IF,IHC-Formalin-fixed paraffin-embedded sections,Western blot and Human,Rat
概述
| 产品描述 | Rabbit Polyclonal antibody recognizes CLCN3 |
|---|---|
| 反应物种 | Hu, Rat |
| 应用 | FACS, ICC/IF, IHC-P, WB |
| 宿主 | Rabbit |
| 克隆 | Polyclonal |
| 同位型 | IgG |
| 靶点名称 | CLCN3 |
| 抗原物种 | Human |
| 抗原 | Recombinant protein containing to human CLCN3. |
| 偶联标记 | Un-conjugated |
| 別名 | CLCN3; Chloride Voltage-Gated Channel 3; ClC-3; CLC3; Chloride Channel, Voltage-Sensitive 3; H(+)/Cl(-) Exchange Transporter 3; Chloride Channel Protein 3; Chloride Transporter ClC-3; Chloride Channel 3; NEDHYBA; NEDSBA |
应用说明
| 应用建议 |
|
||||||||||
|---|---|---|---|---|---|---|---|---|---|---|---|
| 应用说明 | * The dilutions indicate recommended starting dilutions and the optimal dilutions or concentrations should be determined by the scientist. | ||||||||||
| 实际分子量 | 170 kDa |
属性
| 形式 | Liquid |
|---|---|
| 纯化 | Affinity purified |
| 缓冲液 | 0.2% Na2HPO4, 0.9% NaCl and 4% Trehalose. |
| 稳定剂 | 4% Trehalose |
| 浓度 | 0.5 mg/ml |
| 存放说明 | For continuous use, store undiluted antibody at 2-8°C for up to a week. For long-term storage, aliquot and store at -20°C or below. Storage in frost free freezers is not recommended. Avoid repeated freeze/thaw cycles. Suggest spin the vial prior to opening. The antibody solution should be gently mixed before use. |
| 注意事项 | For laboratory research only, not for drug, diagnostic or other use. |
生物信息
| 数据库连接 | |
|---|---|
| 基因名称 | CLCN3 |
| 全名 | Chloride Voltage-Gated Channel 3 |
| 背景介绍 | This gene encodes a member of the voltage-gated chloride channel (ClC) family. The encoded protein is present in all cell types and localized in plasma membranes and in intracellular vesicles. It is a multi-pass membrane protein which contains a ClC domain and two additional C-terminal CBS (cystathionine beta-synthase) domains. The ClC domain catalyzes the selective flow of Cl- ions across cell membranes, and the CBS domain may have a regulatory function. This protein plays a role in both acidification and transmitter loading of GABAergic synaptic vesicles, and in smooth muscle cell activation and neointima formation. This protein is required for lysophosphatidic acid (LPA)-activated Cl- current activity and fibroblast-to-myofibroblast differentiation. The protein activity is regulated by Ca(2+)/calmodulin-dependent protein kinase II (CaMKII) in glioma cells. Multiple alternatively spliced transcript variants encoding different isoforms have been identified. [provided by RefSeq, Aug 2011] |
| 生物功能 | Isoform 1_x000D_
Strongly outwardly rectifying, electrogenic H+/Cl-exchanger which mediates the exchange of chloride ions against protons ._x000D_
The CLC channel family contains both chloride channels and proton-coupled anion transporters that exchange chloride or another anion for protons. Strongly outwardly rectifying, electrogenic H+/Cl-exchanger which mediates the exchange of chloride ions against protons. [UniProt] |
| 细胞定位 | Cell membrane; Cell projection; Endosome; Golgi apparatus; Lysosome; Membrane. [UniProt] |
| 预测分子量 | 91 kDa |
| 翻译后修饰 | Glycoprotein. [UniProt] |
检测图片 (5) Click the Picture to Zoom In
-
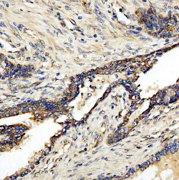
ARG45390 anti-CLCN3 antibody IHC-P image
Immunohistochemistry: Human prostatic cancer stained with ARG45390 anti-CLCN3 antibody at 2 μg/ml dilution.
-
ARG45390 anti-CLCN3 antibody ICC/IF image
Immunofluorescence: SiHa stained with ARG45390 anti-CLCN3 antibody at 5 μg/ml dilution.
-
ARG45390 anti-CLCN3 antibody WB image
Western blot: Hela and K562 stained with ARG45390 anti-CLCN3 antibody at 0.5 μg/ml dilution.
-
ARG45390 anti-CLCN3 antibody FACS image
Flow Cytometry: JK stained with ARG45390 anti-CLCN3 antibody at 1 µg/10^6 cells dilution.
-
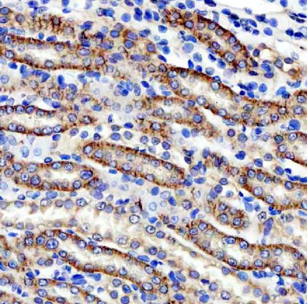
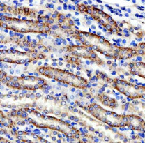
ARG45390 anti-CLCN3 antibody IHC-P image
Immunohistochemistry: Rat kidney stained with ARG45390 anti-CLCN3 antibody at 2 μg/ml dilution.
