ARG45963
anti-CLCN2 antibody
anti-CLCN2 antibody for ICC/IF,IHC-Formalin-fixed paraffin-embedded sections,Western blot and Human,Mouse,Rat
Neuroscience antibody; Signaling Transduction antibody
概述
| 产品描述 | Rabbit Polyclonal antibody recognizes CLCN2 |
|---|---|
| 反应物种 | Hu, Ms, Rat |
| 应用 | ICC/IF, IHC-P, WB |
| 宿主 | Rabbit |
| 克隆 | Polyclonal |
| 同位型 | IgG |
| 靶点名称 | CLCN2 |
| 抗原物种 | Human |
| 抗原 | Synthesize peptide from human CLCN2, corresponding to amino acid residues L835-P885. |
| 偶联标记 | Un-conjugated |
| 別名 | EGI3; Chloride channel protein 2; ClC-2; clC-2; EGI11; CLC2; LKPAT; EJM6; ECA3; ECA2; EGMA; CIC-2; EJM8 |
应用说明
| 应用建议 |
|
||||||||
|---|---|---|---|---|---|---|---|---|---|
| 应用说明 | * The dilutions indicate recommended starting dilutions and the optimal dilutions or concentrations should be determined by the scientist. |
属性
| 形式 | Liquid |
|---|---|
| 纯化 | Affinity purified. |
| 缓冲液 | PBS (pH 7.4), 150 mM NaCl, 0.02% Sodium azide and 50% Glycerol. |
| 抗菌剂 | 0.02% Sodium azide |
| 稳定剂 | 50% Glycerol |
| 存放说明 | For continuous use, store undiluted antibody at 2-8°C for up to a week. For long-term storage, aliquot and store at -20°C or below. Storage in frost free freezers is not recommended. Avoid repeated freeze/thaw cycles. Suggest spin the vial prior to opening. The antibody solution should be gently mixed before use. |
| 注意事项 | For laboratory research only, not for drug, diagnostic or other use. |
生物信息
| 数据库连接 | |
|---|---|
| 背景介绍 | This gene encodes a voltage-gated chloride channel. The encoded protein is a transmembrane protein that maintains chloride ion homeostasis in various cells. Defects in this gene may be a cause of certain epilepsies. Four transcript variants encoding different isoforms have been found for this gene. [provided by RefSeq, Mar 2012] |
| 研究领域 | Neuroscience antibody; Signaling Transduction antibody |
| 预测分子量 | 99 kDa |
| 翻译后修饰 | Phosphorylated. Activated by dephosphorylation. |
检测图片 (3) Click the Picture to Zoom In
-
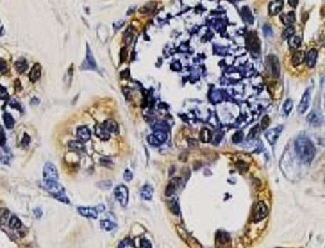
ARG45963 anti-CLCN2 antibody IHC-P image
Immunohistochemistry: Human ovarian cancer stained with ARG45963 anti-CLCN2 antibody at 1:100 dilution.
-
ARG45963 anti-CLCN2 antibody ICC/IF image
Immunofluorescence: HeLa stained with ARG45963 anti-CLCN2 antibody at 1:200 dilution.
-
ARG45963 anti-CLCN2 antibody WB image
Western blot: K562 stained with ARG45963 anti-CLCN2 antibody.
