ARG58431
anti-CISH / Cis 1 antibody
anti-CISH / Cis 1 antibody for IHC-Formalin-fixed paraffin-embedded sections and Human,Rat
概述
| 产品描述 | Rabbit Polyclonal antibody recognizes CISH / Cis 1 |
|---|---|
| 反应物种 | Hu, Rat |
| 预测物种 | Hm |
| 应用 | IHC-P |
| 宿主 | Rabbit |
| 克隆 | Polyclonal |
| 同位型 | IgG |
| 靶点名称 | CISH / Cis 1 |
| 抗原物种 | Human |
| 抗原 | Synthetic peptide corresponding to a sequence at the C-terminus of Human CISH(241-258aa LPLPRRMADYLRQYPFQL), identical to the related Rat and Mouse sequences. |
| 偶联标记 | Un-conjugated |
| 別名 | BACTS2; CIS-1; CIS; SOCS; Protein G18; G18; Suppressor of cytokine signaling; Cytokine-inducible SH2-containing protein |
应用说明
| 应用建议 |
|
||||
|---|---|---|---|---|---|
| 应用说明 | IHC-P: Antigen Retrieval: By heat mediation. * The dilutions indicate recommended starting dilutions and the optimal dilutions or concentrations should be determined by the scientist. |
属性
| 形式 | Liquid |
|---|---|
| 纯化 | Affinity purification with immunogen. |
| 缓冲液 | 0.9% NaCl, 0.2% Na2HPO4, 0.05% Thimerosal, 0.05% Sodium azide and 5% BSA. |
| 抗菌剂 | 0.05% Thimerosal and 0.05% Sodium azide |
| 稳定剂 | 5% BSA |
| 浓度 | 0.5 mg/ml |
| 存放说明 | For continuous use, store undiluted antibody at 2-8°C for up to a week. For long-term storage, aliquot and store at -20°C or below. Storage in frost free freezers is not recommended. Avoid repeated freeze/thaw cycles. Suggest spin the vial prior to opening. The antibody solution should be gently mixed before use. |
| 注意事项 | For laboratory research only, not for drug, diagnostic or other use. |
生物信息
| 数据库连接 |
Swiss-port # Q9NSE2 Human Cytokine-inducible SH2-containing protein |
|---|---|
| 基因名称 | CISH |
| 全名 | cytokine inducible SH2-containing protein |
| 背景介绍 | The protein encoded by this gene contains a SH2 domain and a SOCS box domain. The protein thus belongs to the cytokine-induced STAT inhibitor (CIS), also known as suppressor of cytokine signaling (SOCS) or STAT-induced STAT inhibitor (SSI), protein family. CIS family members are known to be cytokine-inducible negative regulators of cytokine signaling. The expression of this gene can be induced by IL2, IL3, GM-CSF and EPO in hematopoietic cells. Proteasome-mediated degradation of this protein has been shown to be involved in the inactivation of the erythropoietin receptor. Multiple transcript variants encoding different isoforms have been found for this gene. [provided by RefSeq, Aug 2008] |
| 生物功能 | SOCS family proteins form part of a classical negative feedback system that regulates cytokine signal transduction. CIS is involved in the negative regulation of cytokines that signal through the JAK-STAT5 pathway such as erythropoietin, prolactin and interleukin 3 (IL3) receptor. Inhibits STAT5 trans-activation by suppressing its tyrosine phosphorylation. May be a substrate-recognition component of a SCF-like ECS (Elongin BC-CUL2/5-SOCS-box protein) E3 ubiquitin-protein ligase complex which mediates the ubiquitination and subsequent proteasomal degradation of target proteins (By similarity). [UniProt] |
| 预测分子量 | 29 kDa |
| 翻译后修饰 | Association with EPOR may target the protein for proteolysis by the ubiquitin-dependent proteasome pathway. CIS is mainly monubiquitinated (37 kDa form) but may also exist in a polyubiquitinated form (45 kDa). [UniProt] |
检测图片 (2) Click the Picture to Zoom In
-
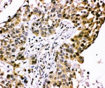
ARG58431 anti-CISH / Cis 1 antibody IHC-P image
Immunohistochemistry: Paraffin-embedded Human lung cancer stained with ARG58431 anti-CISH / Cis 1 antibody.
-
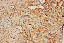
ARG58431 anti-CISH / Cis 1 antibody IHC-P image
Immunohistochemistry: Paraffin-embedded Rat kidney stained with ARG58431 anti-CISH / Cis 1 antibody.
