ARG57442
anti-CIDE B antibody
anti-CIDE B antibody for IHC-Formalin-fixed paraffin-embedded sections,Western blot and Human,Mouse
概述
| 产品描述 | Rabbit Polyclonal antibody recognizes CIDE B |
|---|---|
| 反应物种 | Hu, Ms |
| 应用 | IHC-P, WB |
| 特异性 | CIDE-B antibody has no cross activity to CIDE-A. |
| 宿主 | Rabbit |
| 克隆 | Polyclonal |
| 同位型 | IgG |
| 靶点名称 | CIDE B |
| 抗原 | Synthetic peptide (15 aa) within the last 50 aa of Human CIDE-B. |
| 偶联标记 | Un-conjugated |
| 別名 | Cell death-inducing DFFA-like effector B; Cell death activator CIDE-B |
应用说明
| 应用建议 |
|
||||||
|---|---|---|---|---|---|---|---|
| 应用说明 | * The dilutions indicate recommended starting dilutions and the optimal dilutions or concentrations should be determined by the scientist. | ||||||
| 阳性对照 | Mouse small intestine tissue lysate |
属性
| 形式 | Liquid |
|---|---|
| 纯化 | Affinity purification with immunogen. |
| 缓冲液 | PBS and 0.02% Sodium azide |
| 抗菌剂 | 0.02% Sodium azide |
| 存放说明 | For continuous use, store undiluted antibody at 2-8°C for up to a week. For long-term storage, aliquot and store at -20°C or below. Storage in frost free freezers is not recommended. Avoid repeated freeze/thaw cycles. Suggest spin the vial prior to opening. The antibody solution should be gently mixed before use. |
| 注意事项 | For laboratory research only, not for drug, diagnostic or other use. |
生物信息
| 数据库连接 | |
|---|---|
| 基因名称 | CIDEB |
| 全名 | cell death-inducing DFFA-like effector b |
| 生物功能 | Activates apoptosis. [UniProt] |
| 预测分子量 | 25 kDa |
检测图片 (3) Click the Picture to Zoom In
-
ARG57442 anti-CIDE B antibody IHC image
Immunohistochemistry: Human small intestine cells stained with ARG57442 anti-CIDE B antibody at 20 µg/ml dilution.
-
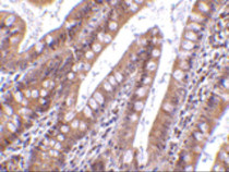
ARG57442 anti-CIDE B antibody IHC-P image
Immunohistochemistry: CIDE-B in Human small intestine tissue stained with ARG57442 anti-CIDE B antibody at 5 µg/ml dilution.
-
ARG57442 anti-CIDE B antibody WB image
Western blot: Mouse small intestine tissue lysate stained with ARG57442 anti-CIDE B antibody at 0.5, 1 and 2 µg/ml dilution.
