ARG54337
anti-CIDE A antibody
anti-CIDE A antibody for IHC-Formalin-fixed paraffin-embedded sections,Western blot and Human,Mouse
Cell Biology and Cellular Response antibody; Cell Death antibody; Gene Regulation antibody; Metabolism antibody
概述
| 产品描述 | Rabbit Polyclonal antibody recognizes CIDE A |
|---|---|
| 反应物种 | Hu, Ms |
| 应用 | IHC-P, WB |
| 特异性 | This antibody recognizes mouse CIDE-A (25kDa) and does not cross-react with CIDE-B. |
| 宿主 | Rabbit |
| 克隆 | Polyclonal |
| 同位型 | IgG |
| 靶点名称 | CIDE A |
| 抗原物种 | Mouse |
| 抗原 | Peptide corresponding to aa 200-214 of mouse CIDE-A (accession no. AAC34985). |
| 偶联标记 | Un-conjugated |
| 別名 | CIDE-A; Cell death-inducing DFFA-like effector A; Cell death activator CIDE-A |
应用说明
| 应用建议 |
|
||||||
|---|---|---|---|---|---|---|---|
| 应用说明 | * The dilutions indicate recommended starting dilutions and the optimal dilutions or concentrations should be determined by the scientist. | ||||||
| 阳性对照 | Mouse heart |
属性
| 形式 | Liquid |
|---|---|
| 纯化 | Immunoaffinity chroma-tography |
| 缓冲液 | PBS (pH 7.4) and 0.02% Sodium azide |
| 抗菌剂 | 0.02% Sodium azide |
| 存放说明 | For continuous use, store undiluted antibody at 2-8°C for up to a week. For long-term storage, aliquot and store at -20°C or below. Storage in frost free freezers is not recommended. Avoid repeated freeze/thaw cycles. Suggest spin the vial prior to opening. The antibody solution should be gently mixed before use. |
| 注意事项 | For laboratory research only, not for drug, diagnostic or other use. |
生物信息
| 数据库连接 | |
|---|---|
| 基因名称 | Cidea |
| 全名 | cell death-inducing DNA fragmentation factor, alpha subunit-like effector A |
| 背景介绍 | DFF45-related proteins CIDE-A and CIDE-B have recently been identified. CIDE contains a new type of domain termed CIDE-N, which has high homology with the regulatory domains of DFF45/ICAD and DFF40/CAD. Expression of CIDE-A induces DNA fragmentation and activates apoptosis, which is inhibited by DFF45. CIDE-A is a DFF45-inhibitable effector that promotes cell death and DNA fragmentation. CIDE-A is expressed in many tissues. |
| 生物功能 | Binds to lipid droplets and regulates their enlargement, thereby restricting lipolysis and favoring storage. At focal contact sites between lipid droplets, promotes directional net neutral lipid transfer from the smaller to larger lipid droplets. The transfer direction may be driven by the internal pressure difference between the contacting lipid droplet pair and occurs at a lower rate than that promoted by CIDEC. Acts as a CEBPB coactivator in mammary epithelial cells to control the expression of a subset of CEBPB downstream target genes, including ID2, IGF1, PRLR, SOCS1, SOCS3, XDH, but not casein. By interacting with CEBPB, strengthens the association of CEBPB with the XDH promoter, increases histone acetylation and dissociates HDAC1 from the promoter. When overexpressed, induces apoptosis. The physiological significance of its role in apoptosis is unclear. [UniProt] |
| 研究领域 | Cell Biology and Cellular Response antibody; Cell Death antibody; Gene Regulation antibody; Metabolism antibody |
| 预测分子量 | 25 kDa |
检测图片 (3) Click the Picture to Zoom In
-
ARG54337 anti-CIDE A antibody IHC-P image
Immunohistochemistry: Human heart tissue stained with ARG54337 anti-CIDE A antibody at 2.5 μg/ml dilution.
-
ARG54337 anti-CIDE A antibody WB image
Western blot: mouse heart tissue stained with ARG54337 anti-CIDE A antibody at 2 μg/ml dilution.
-
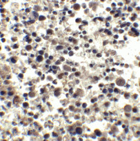
ARG54337 anti-CIDE A antibody IHC-P image
Immunohistochemistry: Mouse heart tissue stained with ARG54337 anti-CIDE A antibody at 5 μg/ml dilution.
