ARG66608
anti-CHST10 antibody
anti-CHST10 antibody for IHC-Formalin-fixed paraffin-embedded sections,Western blot and Human
概述
| 产品描述 | Rabbit Polyclonal antibody recognizes CHST10 |
|---|---|
| 反应物种 | Hu |
| 应用 | IHC-P, WB |
| 宿主 | Rabbit |
| 克隆 | Polyclonal |
| 同位型 | IgG |
| 靶点名称 | CHST10 |
| 抗原物种 | Human |
| 抗原 | Synthetic peptide within aa. 160-240 of Human CHST10. |
| 偶联标记 | Un-conjugated |
| 別名 | HNK-1ST; EC 2.8.2.-; HuHNK-1ST; HNK1ST; Carbohydrate sulfotransferase 10; HNK-1 sulfotransferase |
应用说明
| 应用建议 |
|
||||||
|---|---|---|---|---|---|---|---|
| 应用说明 | * The dilutions indicate recommended starting dilutions and the optimal dilutions or concentrations should be determined by the scientist. | ||||||
| 实际分子量 | ~ 42 kDa |
属性
| 形式 | Liquid |
|---|---|
| 纯化 | Affinity purification with immunogen. |
| 缓冲液 | PBS, 0.02% Sodium azide, 50% Glycerol and 0.5% BSA. |
| 抗菌剂 | 0.02% Sodium azide |
| 稳定剂 | 50% Glycerol and 0.5% BSA |
| 浓度 | 1 mg/ml |
| 存放说明 | For continuous use, store undiluted antibody at 2-8°C for up to a week. For long-term storage, aliquot and store at -20°C. Storage in frost free freezers is not recommended. Avoid repeated freeze/thaw cycles. Suggest spin the vial prior to opening. The antibody solution should be gently mixed before use. |
| 注意事项 | For laboratory research only, not for drug, diagnostic or other use. |
生物信息
| 数据库连接 | |
|---|---|
| 基因名称 | CHST10 |
| 全名 | carbohydrate sulfotransferase 10 |
| 背景介绍 | This protein encoded by this gene transfers sulfate to the C-3 hydroxyl of terminal glucuronic acid of protein- and lipid-linked oligosaccharides. This protein was first identified as a sulfotransferase that acts on the human natural killer-1 (HNK-1) glycan; HNK-1 is a carbohydrate involved in neurodevelopment and synaptic plasticity.[provided by RefSeq, Feb 2011] |
| 生物功能 | Catalyzes the transfer of sulfate to position 3 of terminal glucuronic acid of both protein- and lipid-linked oligosaccharides. Participates in biosynthesis of HNK-1 carbohydrate structure, a sulfated glucuronyl-lactosaminyl residue carried by many neural recognition molecules, which is involved in cell interactions during ontogenetic development and in synaptic plasticity in the adult. May be indirectly involved in synapse plasticity of the hippocampus, via its role in HNK-1 biosynthesis. [UniProt] |
| 细胞定位 | Golgi apparatus membrane; Single-pass type II membrane protein. [UniProt] |
| 预测分子量 | 42 kDa |
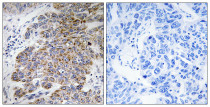
检测图片 (2) Click the Picture to Zoom In
-
ARG66608 anti-CHST10 antibody IHC-P image
Immunohistochemistry: Paraffin-embedded Human lung carcinoma tissue stained with ARG66608 anti-CHST10 antibody. The picture on the right is blocked with the synthetic peptide.
-
ARG66608 anti-CHST10 antibody WB image
Western blot: HUVEC cell lysate stained with ARG66608 anti-CHST10 antibody.
