ARG42590
anti-CHM / REP1 antibody
anti-CHM / REP1 antibody for Flow cytometry,ICC/IF,IHC-Formalin-fixed paraffin-embedded sections,Western blot and Human,Mouse,Rat
概述
| 产品描述 | Rabbit Polyclonal antibody recognizes CHM / REP1 |
|---|---|
| 反应物种 | Hu, Ms, Rat |
| 应用 | FACS, ICC/IF, IHC-P, WB |
| 宿主 | Rabbit |
| 克隆 | Polyclonal |
| 同位型 | IgG |
| 靶点名称 | CHM / REP1 |
| 抗原物种 | Human |
| 抗原 | Synthetic peptide corresponding to a sequence of Human CHM / REP1. (QDQILENEEAIALSRKDKTIQHVEVFCYASQDLHED) |
| 偶联标记 | Un-conjugated |
| 別名 | Rab proteins geranylgeranyltransferase component A 1; GGTA; TCD protein; HSD-32; DXS540; REP-1; TCD; Rab escort protein 1; Choroideremia protein |
应用说明
| 应用建议 |
|
||||||||||
|---|---|---|---|---|---|---|---|---|---|---|---|
| 应用说明 | IHC-P: Antigen Retrieval: Heat mediation was performed in Citrate buffer (pH 6.0) for 20 min. * The dilutions indicate recommended starting dilutions and the optimal dilutions or concentrations should be determined by the scientist. |
||||||||||
| 实际分子量 | ~ 73 kDa |
属性
| 形式 | Liquid |
|---|---|
| 纯化 | Affinity purification with immunogen. |
| 缓冲液 | 0.2% Na2HPO4, 0.9% NaCl, 0.05% Sodium azide and 4% Trehalose. |
| 抗菌剂 | 0.05% Sodium azide |
| 稳定剂 | 4% Trehalose |
| 浓度 | 0.5 mg/ml |
| 存放说明 | For continuous use, store undiluted antibody at 2-8°C for up to a week. For long-term storage, aliquot and store at -20°C or below. Storage in frost free freezers is not recommended. Avoid repeated freeze/thaw cycles. Suggest spin the vial prior to opening. The antibody solution should be gently mixed before use. |
| 注意事项 | For laboratory research only, not for drug, diagnostic or other use. |
生物信息
| 数据库连接 |
Swiss-port # P24386 Human Rab proteins geranylgeranyltransferase component A 1 Swiss-port # P37727 Rat Rab proteins geranylgeranyltransferase component A 1 |
|---|---|
| 基因名称 | CHM |
| 全名 | choroideremia (Rab escort protein 1) |
| 背景介绍 | This gene encodes component A of the RAB geranylgeranyl transferase holoenzyme. In the dimeric holoenzyme, this subunit binds unprenylated Rab GTPases and then presents them to the catalytic Rab GGTase subunit for the geranylgeranyl transfer reaction. Rab GTPases need to be geranylgeranyled on either one or two cysteine residues in their C-terminus to localize to the correct intracellular membrane. Mutations in this gene are a cause of choroideremia; also known as tapetochoroidal dystrophy (TCD). This X-linked disease is characterized by progressive dystrophy of the choroid, retinal pigment epithelium and retina. Alternatively spliced transcript variants have been found for this gene. [provided by RefSeq, Mar 2016] |
| 生物功能 | Substrate-binding subunit of the Rab geranylgeranyltransferase (GGTase) complex. Binds unprenylated Rab proteins and presents the substrate peptide to the catalytic component B composed of RABGGTA and RABGGTB, and remains bound to it after the geranylgeranyl transfer reaction. The component A is thought to be regenerated by transferring its prenylated Rab back to the donor membrane. Besides, a pre-formed complex consisting of CHM and the Rab GGTase dimer (RGGT or component B) can bind to and prenylate Rab proteins; this alternative pathway is proposed to be the predominant pathway for Rab protein geranylgeranylation. [UniProt] |
| 细胞定位 | Cytoplasm, cytosol. [UniProt] |
| 预测分子量 | 73 kDa |
检测图片 (9) Click the Picture to Zoom In
-
ARG42590 anti-CHM / REP1 antibody ICC/IF image
Immunofluorescence: A431 cells were blocked with 10% goat serum and then stained with ARG42590 anti-CHM / REP1 antibody at 2 µg/ml dilution, overnight at 4°C.
-
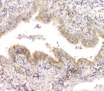
ARG42590 anti-CHM / REP1 antibody IHC-P image
Immunohistochemistry: Paraffin-embedded Human intestinal cancer tissue. Antigen Retrieval: Heat mediation was performed in Citrate buffer (pH 6.0) for 20 min. The tissue section was blocked with 10% goat serum. The tissue section was then stained with ARG42590 anti-CHM / REP1 antibody at 1 µg/ml dilution, overnight at 4°C.
-
ARG42590 anti-CHM / REP1 antibody WB image
Western blot: 50 µg of samples under reducing conditions. HeLa, U-87MG, A431, K562, A549, Caco-2, Rat stomach and Mouse stomach lysates stained with ARG42590 anti-CHM / REP1 antibody at 0.5 µg/ml dilution, overnight at 4°C.
-
ARG42590 anti-CHM / REP1 antibody FACS image
Flow Cytometry: SiHa cells were blocked with 10% normal goat serum and then stained with ARG42590 anti-CHM / REP1 antibody (blue) at 1 µg/10^6 cells for 30 min at 20°C, followed by incubation with DyLight®488 labelled secondary antibody. Isotype control antibody (green) was Rabbit IgG (1 µg/10^6 cells) used under the same conditions. Unlabelled sample (red) was also used as a control.
-
ARG42590 anti-CHM / REP1 antibody IHC-P image
Immunohistochemistry: Paraffin-embedded Human lung cancer tissue. Antigen Retrieval: Heat mediation was performed in Citrate buffer (pH 6.0) for 20 min. The tissue section was blocked with 10% goat serum. The tissue section was then stained with ARG42590 anti-CHM / REP1 antibody at 1 µg/ml dilution, overnight at 4°C.
-
ARG42590 anti-CHM / REP1 antibody IHC-P image
Immunohistochemistry: Paraffin-embedded Human thyroid cancer tissue. Antigen Retrieval: Heat mediation was performed in Citrate buffer (pH 6.0) for 20 min. The tissue section was blocked with 10% goat serum. The tissue section was then stained with ARG42590 anti-CHM / REP1 antibody at 1 µg/ml dilution, overnight at 4°C.
-
ARG42590 anti-CHM / REP1 antibody IHC-P image
Immunohistochemistry: Paraffin-embedded Mouse small intestine tissue. Antigen Retrieval: Heat mediation was performed in Citrate buffer (pH 6.0) for 20 min. The tissue section was blocked with 10% goat serum. The tissue section was then stained with ARG42590 anti-CHM / REP1 antibody at 1 µg/ml dilution, overnight at 4°C.
-
ARG42590 anti-CHM / REP1 antibody IHC-P image
Immunohistochemistry: Paraffin-embedded Human placenta tissue. Antigen Retrieval: Heat mediation was performed in Citrate buffer (pH 6.0) for 20 min. The tissue section was blocked with 10% goat serum. The tissue section was then stained with ARG42590 anti-CHM / REP1 antibody at 1 µg/ml dilution, overnight at 4°C.
-
ARG42590 anti-CHM / REP1 antibody IHC-P image
Immunohistochemistry: Paraffin-embedded Rat small intestine tissue. Antigen Retrieval: Heat mediation was performed in Citrate buffer (pH 6.0) for 20 min. The tissue section was blocked with 10% goat serum. The tissue section was then stained with ARG42590 anti-CHM / REP1 antibody at 1 µg/ml dilution, overnight at 4°C.
