ARG57499
anti-CHI3L2 antibody [2B5]
anti-CHI3L2 antibody [2B5] for Flow cytometry,Western blot and Human
概述
| 产品描述 | Mouse Monoclonal antibody [2B5] recognizes CHI3L2 |
|---|---|
| 反应物种 | Hu |
| 应用 | FACS, WB |
| 宿主 | Mouse |
| 克隆 | Monoclonal |
| 克隆号 | 2B5 |
| 同位型 | IgG2b, kappa |
| 靶点名称 | CHI3L2 |
| 抗原物种 | Human |
| 抗原 | Recombinant Human CHI3L2 (aa. 27-390) purified from E. coli. |
| 偶联标记 | Un-conjugated |
| 別名 | Chondrocyte protein 39; CHIL2; YKL-39; Chitinase-3-like protein 2; YKL39 |
应用说明
| 应用建议 |
|
||||||
|---|---|---|---|---|---|---|---|
| 应用说明 | * The dilutions indicate recommended starting dilutions and the optimal dilutions or concentrations should be determined by the scientist. |
属性
| 形式 | Liquid |
|---|---|
| 纯化 | Purification with Protein A. |
| 缓冲液 | PBS (pH 7.4), 0.02% Sodium azide and 10% Glycerol. |
| 抗菌剂 | 0.02% Sodium azide |
| 稳定剂 | 10% Glycerol |
| 浓度 | 1 mg/ml |
| 存放说明 | For continuous use, store undiluted antibody at 2-8°C for up to a week. For long-term storage, aliquot and store at -20°C. Storage in frost free freezers is not recommended. Avoid repeated freeze/thaw cycles. Suggest spin the vial prior to opening. The antibody solution should be gently mixed before use. |
| 注意事项 | For laboratory research only, not for drug, diagnostic or other use. |
生物信息
| 数据库连接 | |
|---|---|
| 基因名称 | CHI3L2 |
| 全名 | chitinase 3-like 2 |
| 背景介绍 | The protein encoded by this gene is similar to bacterial chitinases but lacks chitinase activity. The encoded protein is secreted and is involved in cartilage biogenesis. Several transcript variants encoding different isoforms have been found for this gene. [provided by RefSeq, Apr 2012] |
| 生物功能 | Lectin that binds chitooligosaccharides and other glycans with high affinity, but not heparin. Has no chitinase activity. [UniProt] |
| 预测分子量 | 44 kDa |
检测图片 (2) Click the Picture to Zoom In
-
ARG57499 anti-CHI3L2 antibody [2B5] FACS image
Flow Cytometry: HeLa cells stained with ARG57499 anti-CHI3L2 antibody [2B5] at 2 - 5 µg/10^6 cells (red). Goat anti-Mouse IgG (Alexa fluor 488) was used as the secondary antibody. Mouse monoclonal IgG was used as the isotype control (dark gray), cells without incubation with primary and secondary antibody was used as the negative control (light gray).
-
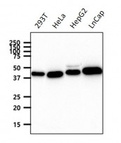
ARG57499 anti-CHI3L2 antibody [2B5] WB image
Western blot: 40 µg of 293T, HeLa, HepG2 and LnCap cell lysates stained with ARG57499 anti-CHI3L2 antibody [2B5] at 1:1000 dilution.
