ARG51830
anti-CDK6 phospho (Tyr24) antibody
anti-CDK6 phospho (Tyr24) antibody for ICC/IF,IHC-Formalin-fixed paraffin-embedded sections,Western blot and Human,Mouse
Cancer antibody; Cell Biology and Cellular Response antibody; Gene Regulation antibody
概述
| 产品描述 | Rabbit Polyclonal antibody recognizes CDK6 phospho (Tyr24) |
|---|---|
| 反应物种 | Hu, Ms |
| 应用 | ICC/IF, IHC-P, WB |
| 宿主 | Rabbit |
| 克隆 | Polyclonal |
| 同位型 | IgG |
| 靶点名称 | CDK6 |
| 抗原物种 | Human |
| 抗原 | Peptide sequence around phosphorylation site of tyrosine 24 (G-A-Y(p)-G-K) derived from Human CDK6. |
| 偶联标记 | Un-conjugated |
| 別名 | Cell division protein kinase 6; PLSTIRE; EC 2.7.11.22; Serine/threonine-protein kinase PLSTIRE; MCPH12; Cyclin-dependent kinase 6 |
应用说明
| 应用建议 |
|
||||||||
|---|---|---|---|---|---|---|---|---|---|
| 应用说明 | * The dilutions indicate recommended starting dilutions and the optimal dilutions or concentrations should be determined by the scientist. |
属性
| 形式 | Liquid |
|---|---|
| 纯化 | Antibodies were produced by immunizing rabbits with KLH-conjugated synthetic phosphopeptide. Antibodies were purified by affinity-chromatography using epitope-specific phosphopeptide. In addition, non-phospho specific antibodies were removed by chromatogramphy using non-phosphopeptide. |
| 缓冲液 | PBS (without Mg2+ and Ca2+, pH 7.4), 150mM NaCl, 0.02% Sodium azide and 50% Glycerol. |
| 抗菌剂 | 0.02% Sodium azide |
| 稳定剂 | 50% Glycerol |
| 浓度 | 1 mg/ml |
| 存放说明 | For continuous use, store undiluted antibody at 2-8°C for up to a week. For long-term storage, aliquot and store at -20°C. Storage in frost free freezers is not recommended. Avoid repeated freeze/thaw cycles. Suggest spin the vial prior to opening. The antibody solution should be gently mixed before use. |
| 注意事项 | For laboratory research only, not for drug, diagnostic or other use. |
生物信息
| 数据库连接 | |
|---|---|
| 基因名称 | CDK6 |
| 全名 | cyclin-dependent kinase 6 |
| 背景介绍 | Probably involved in the control of the cell cycle. Interacts with D-type G1 cyclins. |
| 生物功能 | Serine/threonine-protein kinase involved in the control of the cell cycle and differentiation; promotes G1/S transition. Phosphorylates pRB/RB1 and NPM1. Interacts with D-type G1 cyclins during interphase at G1 to form a pRB/RB1 kinase and controls the entrance into the cell cycle. Involved in initiation and maintenance of cell cycle exit during cell differentiation; prevents cell proliferation and regulates negatively cell differentiation, but is required for the proliferation of specific cell types (e.g. erythroid and hematopoietic cells). Essential for cell proliferation within the dentate gyrus of the hippocampus and the subventricular zone of the lateral ventricles. Required during thymocyte development. Promotes the production of newborn neurons, probably by modulating G1 length. Promotes, at least in astrocytes, changes in patterns of gene expression, changes in the actin cytoskeleton including loss of stress fibers, and enhanced motility during cell differentiation. Prevents myeloid differentiation by interfering with RUNX1 and reducing its transcription transactivation activity, but promotes proliferation of normal myeloid progenitors. Delays senescence. Promotes the proliferation of beta-cells in pancreatic islets of Langerhans. May play a role in the centrosome organization during the cell cycle phases (PubMed:23918663). [UniProt] |
| 研究领域 | Cancer antibody; Cell Biology and Cellular Response antibody; Gene Regulation antibody |
| 预测分子量 | 37 kDa |
| 翻译后修饰 | Thr-177 phosphorylation and Tyr-24 dephosphorylation promotes kinase activity. |
检测图片 (3) Click the Picture to Zoom In
-
ARG51830 anti-CDK6 phospho (Tyr24) antibody WB image
Western blot: Extracts from 293 cells untreated(lane 1) or treated with starvation(lane 2) stained with ARG51830 anti-CDK6 phospho (Tyr24) antibody.
-
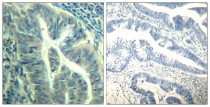
ARG51830 anti-CDK6 phospho (Tyr24) antibody IHC-P image
Immunohistochemistry: Paraffin-embedded Human colon carcinoma tissue stained with ARG51830 anti-CDK6 phospho (Tyr24) antibody (left) or the same antibody preincubated with blocking peptide (right).
-
ARG51830 anti-CDK6 phospho (Tyr24) antibody ICC/IF image
Immunofluorescence: methanol-fixed HeLa cells stained with ARG51830 anti-CDK6 phospho (Tyr24) antibody.
