ARG40790
anti-CDK14 / PFTK1 antibody
anti-CDK14 / PFTK1 antibody for IHC-Formalin-fixed paraffin-embedded sections,Western blot and Human
概述
| 产品描述 | Rabbit Polyclonal antibody recognizes CDK14 / PFTK1 |
|---|---|
| 反应物种 | Hu |
| 预测物种 | Ms, Rb |
| 应用 | IHC-P, WB |
| 宿主 | Rabbit |
| 克隆 | Polyclonal |
| 同位型 | IgG |
| 靶点名称 | CDK14 / PFTK1 |
| 抗原物种 | Human |
| 抗原 | KLH-conjugated synthetic peptide corresponding to aa. 1-30 of Human CDK14 / PFTK1. |
| 偶联标记 | Un-conjugated |
| 別名 | PFTAIRE1; Cell division protein kinase 14; hPFTAIRE1; EC 2.7.11.22; Cyclin-dependent kinase 14; PFTK1; Serine/threonine-protein kinase PFTAIRE-1 |
应用说明
| 应用建议 |
|
||||||
|---|---|---|---|---|---|---|---|
| 应用说明 | * The dilutions indicate recommended starting dilutions and the optimal dilutions or concentrations should be determined by the scientist. |
属性
| 形式 | Liquid |
|---|---|
| 纯化 | Purification with Protein G. |
| 缓冲液 | PBS and 0.09% (W/V) Sodium azide. |
| 抗菌剂 | 0.09% (W/V) Sodium azide. |
| 存放说明 | For continuous use, store undiluted antibody at 2-8°C for up to a week. For long-term storage, aliquot and store at -20°C or below. Storage in frost free freezers is not recommended. Avoid repeated freeze/thaw cycles. Suggest spin the vial prior to opening. The antibody solution should be gently mixed before use. |
| 注意事项 | For laboratory research only, not for drug, diagnostic or other use. |
生物信息
| 数据库连接 | |
|---|---|
| 基因名称 | CDK14 |
| 全名 | cyclin-dependent kinase 14 |
| 背景介绍 | PFTK1 is a member of the CDC2 (MIM 116940)-related protein kinase family (Yang and Chen, 2001 [PubMed 11313143]).[supplied by OMIM, Mar 2008] |
| 生物功能 | Serine/threonine-protein kinase involved in the control of the eukaryotic cell cycle, whose activity is controlled by an associated cyclin. Acts as a cell-cycle regulator of Wnt signaling pathway during G2/M phase by mediating the phosphorylation of LRP6 at 'Ser-1490', leading to the activation of the Wnt signaling pathway. Acts as a regulator of cell cycle progression and cell proliferation via its interaction with CCDN3. Phosphorylates RB1 in vitro, however the relevance of such result remains to be confirmed in vivo. May also play a role in meiosis, neuron differentiation and may indirectly act as a negative regulator of insulin-responsive glucose transport. [UniProt] |
| 细胞定位 | Cell membrane; Peripheral membrane protein. Cytoplasm. Nucleus. Note=Recruited to the cell membrane by CCNY. [UniProt] |
| 预测分子量 | 53 kDa |
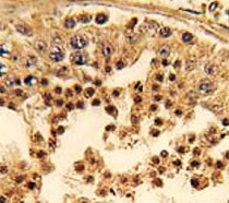
检测图片 (2) Click the Picture to Zoom In
-
ARG40790 anti-CDK14 / PFTK1 antibody IHC-P image
Immunohistochemistry: Formalin-fixed and paraffin-embedded Human testis tissue stained with ARG40790 anti-CDK14 / PFTK1 antibody.
-
ARG40790 anti-CDK14 / PFTK1 antibody WB image
Western blot: 35 µg of Human brain lysate stained with ARG40790 anti-CDK14 / PFTK1 antibody at 1:1000 dilution.
