ARG45427
anti-CDK13 antibody
anti-CDK13 antibody for Flow cytometry,ICC/IF,IHC-Formalin-fixed paraffin-embedded sections,Western blot and Human
概述
| 产品描述 | Rabbit Polyclonal antibody recognizes CDK13 |
|---|---|
| 反应物种 | Hu |
| 应用 | FACS, ICC/IF, IHC-P, WB |
| 宿主 | Rabbit |
| 克隆 | Polyclonal |
| 同位型 | IgG |
| 靶点名称 | CDK13 |
| 抗原物种 | Human |
| 抗原 | Recombinant protein containing to human CDK13. |
| 偶联标记 | Un-conjugated |
| 別名 | CDK13; Cyclin Dependent Kinase 13; CDC2L; CHED; Cholinesterase-Related Cell Division Controller; KIAA1791; CDC2L5; Cell Division Cycle 2-Like Protein Kinase 5; Cell Division Protein Kinase 13; CDC2-Related Protein Kinase 5; Cyclin-Dependent Kinase 13; EC 2.7.11.22 47; HCDK13; Cell Division Cycle 2-Like 5 (Cholinesterase-Related Cell Division Controller); EC 2.7.11.23; EC 2.7.11 47; CHDFIDD |
应用说明
| 应用建议 |
|
||||||||||
|---|---|---|---|---|---|---|---|---|---|---|---|
| 应用说明 | * The dilutions indicate recommended starting dilutions and the optimal dilutions or concentrations should be determined by the scientist. | ||||||||||
| 实际分子量 | 185 - 190 kDa |
属性
| 形式 | Liquid |
|---|---|
| 纯化 | Affinity purified |
| 缓冲液 | 0.2% Na2HPO4, 0.9% NaCl and 4% Trehalose. |
| 稳定剂 | 4% Trehalose |
| 浓度 | 0.5 mg/ml |
| 存放说明 | For continuous use, store undiluted antibody at 2-8°C for up to a week. For long-term storage, aliquot and store at -20°C or below. Storage in frost free freezers is not recommended. Avoid repeated freeze/thaw cycles. Suggest spin the vial prior to opening. The antibody solution should be gently mixed before use. |
| 注意事项 | For laboratory research only, not for drug, diagnostic or other use. |
生物信息
| 数据库连接 | |
|---|---|
| 基因名称 | CDK13 |
| 全名 | Cyclin Dependent Kinase 13 |
| 背景介绍 | The protein encoded by this gene is a member of the cyclin-dependent serine/threonine protein kinase family. Members of this family are well known for their essential roles as master switches in cell cycle control. The exact function of this protein has not yet been determined, but it may play a role in mRNA processing and may be involved in regulation of hematopoiesis. Alternatively spliced transcript variants have been described.[provided by RefSeq, Dec 2009] |
| 生物功能 | Cyclin-dependent kinase which displays CTD kinase activity and is required for RNA splicing. Has CTD kinase activity by hyperphosphorylating the C-terminal heptapeptide repeat domain (CTD) of the largest RNA polymerase II subunit RPB1, thereby acting as a key regulator of transcription elongation. Required for RNA splicing, probably by phosphorylating SRSF1/SF2. Required during hematopoiesis. In case of infection by HIV-1 virus, interacts with HIV-1 Tat protein acetylated at 'Lys-50' and 'Lys-51', thereby increasing HIV-1 mRNA splicing and promoting the production of the doubly spliced HIV-1 protein Nef. [UniProt] |
| 细胞定位 | Nucleus. [UniProt] |
| 预测分子量 | 165 kDa |
| 翻译后修饰 | Acetylation; Isopeptide bond; Phosphoprotein; Ubl conjugation. [UniProt] |
检测图片 (4) Click the Picture to Zoom In
-
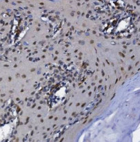
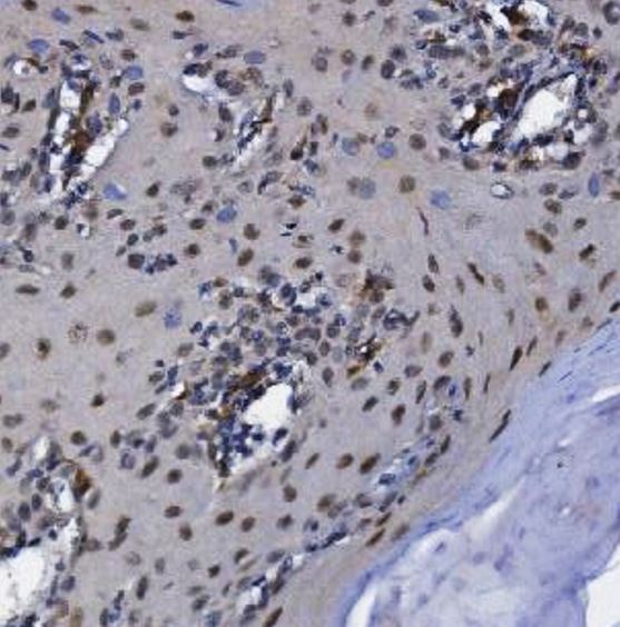
ARG45427 anti-CDK13 antibody IHC-P image
Immunohistochemistry: Human esophageal squamous carcinoma stained with ARG45427 anti-CDK13 antibody at 2 μg/ml dilution.
-
ARG45427 anti-CDK13 antibody ICC/IF image
Immunofluorescence: Hela stained with ARG45427 anti-CDK13 antibody at 5 μg/ml dilution.
-
ARG45427 anti-CDK13 antibody WB image
Western blot: THP-1 stained with ARG45427 anti-CDK13 antibody at 0.5 μg/ml dilution.
-
ARG45427 anti-CDK13 antibody FACS image
Flow Cytometry: K562 stained with ARG45427 anti-CDK13 antibody at 1 µg/10^6 cells dilution.
