ARG51635
anti-CDK1 / CDC2 phospho (Thr161) antibody
anti-CDK1 / CDC2 phospho (Thr161) antibody for IHC-Formalin-fixed paraffin-embedded sections,Western blot and Human,Mouse,Rat
Cell Biology and Cellular Response antibody; Gene Regulation antibody; Neuroscience antibody
概述
| 产品描述 | Rabbit Polyclonal antibody recognizes CDK1 / CDC2 phospho (Thr161) |
|---|---|
| 反应物种 | Hu, Ms, Rat |
| 应用 | IHC-P, WB |
| 宿主 | Rabbit |
| 克隆 | Polyclonal |
| 同位型 | IgG |
| 靶点名称 | CDK1 / CDC2 |
| 抗原物种 | Human |
| 抗原 | Peptide sequence around phosphorylation site of threonine161 (T-Y-T(p)-H-E) derived from Human CDC2. |
| 偶联标记 | Un-conjugated |
| 別名 | CDK1; Cyclin Dependent Kinase 1; CDC28A; CDC2; Cell Division Cycle 2, G1 To S And G2 To M; Cell Division Control Protein 2 Homolog; Cell Division Protein Kinase 1; Cyclin-Dependent Kinase 1; P34 Protein Kinase; P34CDC2; Cell Cycle Controller CDC2; EC 2.7.11.22; EC 2.7.11.23; CDKN1 |
应用说明
| 应用建议 |
|
||||||
|---|---|---|---|---|---|---|---|
| 应用说明 | * The dilutions indicate recommended starting dilutions and the optimal dilutions or concentrations should be determined by the scientist. |
属性
| 形式 | Liquid |
|---|---|
| 纯化 | Antibodies were produced by immunizing rabbits with KLH-conjugated synthetic phosphopeptide. Antibodies were purified by affinity-chromatography using epitope-specific phosphopeptide. In addition, non-phospho specific antibodies were removed by chromatogramphy using non-phosphopeptide. |
| 缓冲液 | PBS (without Mg2+ and Ca2+, pH 7.4), 150mM NaCl, 0.02% Sodium azide and 50% Glycerol. |
| 抗菌剂 | 0.02% Sodium azide |
| 稳定剂 | 50% Glycerol |
| 浓度 | 1 mg/ml |
| 存放说明 | For continuous use, store undiluted antibody at 2-8°C for up to a week. For long-term storage, aliquot and store at -20°C. Storage in frost free freezers is not recommended. Avoid repeated freeze/thaw cycles. Suggest spin the vial prior to opening. The antibody solution should be gently mixed before use. |
| 注意事项 | For laboratory research only, not for drug, diagnostic or other use. |
生物信息
| 数据库连接 | |
|---|---|
| 基因名称 | CDK1 |
| 全名 | Cyclin Dependent Kinase 1 |
| 背景介绍 | The protein encoded by this gene is a member of the Ser/Thr protein kinase family. This protein is a catalytic subunit of the highly conserved protein kinase complex known as M-phase promoting factor (MPF), which is essential for G2/M phase transitions of eukaryotic cell cycle. Mitotic cyclins stably associate with this protein and function as regulatory subunits. The kinase activity of this protein is controlled by cyclin accumulation and destruction through the cell cycle. The phosphorylation and dephosphorylation of this protein also play important regulatory roles in cell cycle control. Alternatively spliced transcript variants encoding different isoforms have been found for this gene. [provided by RefSeq, May 2023] |
| 生物功能 | Plays a key role in the control of the eukaryotic cell cycle by modulating the centrosome cycle as well as mitotic onset; promotes G2-M transition via association with multiple interphase cyclins. [UniProt] |
| 细胞定位 | Cytoplasm, Cytoskeleton, Mitochondrion, Nucleus. [UniProt] |
| 研究领域 | Cell Biology and Cellular Response antibody; Gene Regulation antibody; Neuroscience antibody |
| 预测分子量 | 34 kDa |
| 翻译后修饰 | Phosphorylation at Thr-161 by CAK/CDK7 activates kinase activity. [UniProt] |
检测图片 (2) Click the Picture to Zoom In
-
ARG51635 anti-CDK1 / CDC2 phospho (Thr161) antibody WB image
Western blot: Extracts from HeLa cells untreated(lane 1) or treated with UV(lane 2) stained with ARG51635 anti-CDK1 / CDC2 phospho (Thr161) antibody.
-
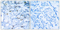
ARG51635 anti-CDK1 / CDC2 phospho (Thr161) antibody IHC-P image
Immunohistochemistry: Paraffin-embedded Human breast carcinoma tissue stained with ARG51635 anti-CDK1 / CDC2 phospho (Thr161) antibody (left) or the same antibody preincubated with blocking peptide (right).
