ARG41970
anti-CDC6 antibody
anti-CDC6 antibody for IHC-Formalin-fixed paraffin-embedded sections,Western blot and Human,Rat
概述
| 产品描述 | Rabbit Polyclonal antibody recognizes CDC6 |
|---|---|
| 反应物种 | Hu, Rat |
| 应用 | IHC-P, WB |
| 宿主 | Rabbit |
| 克隆 | Polyclonal |
| 同位型 | IgG |
| 靶点名称 | CDC6 |
| 抗原物种 | Human |
| 抗原 | Recombinant protein corresponding to V147-A549 of Human CDC6. |
| 偶联标记 | Un-conjugated |
| 別名 | p62; HsCDC18; CDC18L; Cdc18-related protein; Cell division control protein 6 homolog; CDC6-related protein; HsCdc18; cdc6; HsCDC6 |
应用说明
| 应用建议 |
|
||||||
|---|---|---|---|---|---|---|---|
| 应用说明 | * The dilutions indicate recommended starting dilutions and the optimal dilutions or concentrations should be determined by the scientist. | ||||||
| 实际分子量 | ~ 63 kDa |
属性
| 形式 | Liquid |
|---|---|
| 纯化 | Affinity purification with immunogen. |
| 缓冲液 | 0.2% Na2HPO4, 0.9% NaCl, 0.05% Sodium azide and 5% BSA. |
| 抗菌剂 | 0.05% Sodium azide |
| 稳定剂 | 5% BSA |
| 浓度 | 0.5 mg/ml |
| 存放说明 | For continuous use, store undiluted antibody at 2-8°C for up to a week. For long-term storage, aliquot and store at -20°C or below. Storage in frost free freezers is not recommended. Avoid repeated freeze/thaw cycles. Suggest spin the vial prior to opening. The antibody solution should be gently mixed before use. |
| 注意事项 | For laboratory research only, not for drug, diagnostic or other use. |
生物信息
| 数据库连接 |
Swiss-port # Q99741 Human Cell division control protein 6 homolog |
|---|---|
| 基因名称 | CDC6 |
| 全名 | cell division cycle 6 |
| 背景介绍 | The protein encoded by this gene is highly similar to Saccharomyces cerevisiae Cdc6, a protein essential for the initiation of DNA replication. This protein functions as a regulator at the early steps of DNA replication. It localizes in cell nucleus during cell cyle G1, but translocates to the cytoplasm at the start of S phase. The subcellular translocation of this protein during cell cyle is regulated through its phosphorylation by Cdks. Transcription of this protein was reported to be regulated in response to mitogenic signals through transcriptional control mechanism involving E2F proteins. [provided by RefSeq, Jul 2008] |
| 生物功能 | Involved in the initiation of DNA replication. Also participates in checkpoint controls that ensure DNA replication is completed before mitosis is initiated. [UniProt] |
| 细胞定位 | Nucleus. Cytoplasm. Note=The protein is nuclear in G1 and cytoplasmic in S-phase cells (PubMed:9566895). [UniProt] |
| 预测分子量 | 63 kDa |
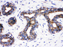
检测图片 (3) Click the Picture to Zoom In
-
ARG41970 anti-CDC6 antibody IHC-P image
Immunohistochemistry: Paraffin-embedded Human mammary cancer tissue stained with ARG41970 anti-CDC6 antibody.
-
ARG41970 anti-CDC6 antibody WB image
Western blot: 50 µg of Rat brain, 40 µg of Jurkat, 40 µg of MDA-MB-231 and 40 µg of HT1080 whole cell lysates stained with ARG41970 anti-CDC6 antibody at 0.5 µg/ml dilution.
-
ARG41970 anti-CDC6 antibody IHC-P image
Immunohistochemistry: Paraffin-embedded Rat testis tissue stained with ARG41970 anti-CDC6 antibody.
