ARG51638
anti-CDC25A phospho (Ser76) antibody
anti-CDC25A phospho (Ser76) antibody for IHC-Formalin-fixed paraffin-embedded sections,Western blot and Human,Mouse,Rat
Cancer antibody; Cell Biology and Cellular Response antibody; Gene Regulation antibody
概述
| 产品描述 | Rabbit Polyclonal antibody recognizes CDC25A phospho (Ser76) |
|---|---|
| 反应物种 | Hu, Ms, Rat |
| 应用 | IHC-P, WB |
| 宿主 | Rabbit |
| 克隆 | Polyclonal |
| 同位型 | IgG |
| 靶点名称 | CDC25A |
| 抗原物种 | Human |
| 抗原 | Peptide sequence around phosphorylation site of serine 76 (M-G-S(p)-S-E) derived from Human cdc25A. |
| 偶联标记 | Un-conjugated |
| 別名 | CDC25A2; EC 3.1.3.48; M-phase inducer phosphatase 1; Dual specificity phosphatase Cdc25A |
应用说明
| 应用建议 |
|
||||||
|---|---|---|---|---|---|---|---|
| 应用说明 | * The dilutions indicate recommended starting dilutions and the optimal dilutions or concentrations should be determined by the scientist. |
属性
| 形式 | Liquid |
|---|---|
| 纯化 | Antibodies were produced by immunizing rabbits with KLH-conjugated synthetic phosphopeptide. Antibodies were purified by affinity-chromatography using epitope-specific phosphopeptide. In addition, non-phospho specific antibodies were removed by chromatogramphy using non-phosphopeptide. |
| 缓冲液 | PBS (without Mg2+ and Ca2+, pH 7.4), 150mM NaCl, 0.02% Sodium azide and 50% Glycerol. |
| 抗菌剂 | 0.02% Sodium azide |
| 稳定剂 | 50% Glycerol |
| 浓度 | 1 mg/ml |
| 存放说明 | For continuous use, store undiluted antibody at 2-8°C for up to a week. For long-term storage, aliquot and store at -20°C. Storage in frost free freezers is not recommended. Avoid repeated freeze/thaw cycles. Suggest spin the vial prior to opening. The antibody solution should be gently mixed before use. |
| 注意事项 | For laboratory research only, not for drug, diagnostic or other use. |
生物信息
| 数据库连接 | |
|---|---|
| 基因名称 | CDC25A |
| 全名 | cell division cycle 25A |
| 背景介绍 | Tyrosine protein phosphatase which functions as a dosage-dependent inducer of mitotic progression. Directly dephosphorylates CDC2 and stimulates its kinase activity. Also dephosphorylates CDK2 in complex with cyclin E, in vitro. |
| 生物功能 | Tyrosine protein phosphatase which functions as a dosage-dependent inducer of mitotic progression. Directly dephosphorylates CDK1 and stimulates its kinase activity. Also dephosphorylates CDK2 in complex with cyclin E, in vitro. [UniProt] |
| 研究领域 | Cancer antibody; Cell Biology and Cellular Response antibody; Gene Regulation antibody |
| 预测分子量 | 59 kDa |
| 翻译后修饰 | Phosphorylated by CHEK1 on Ser-76, Ser-124, Ser-178, Ser-279, Ser-293 and Thr-507 during checkpoint mediated cell cycle arrest. Also phosphorylated by CHEK2 on Ser-124, Ser-279, and Ser-293 during checkpoint mediated cell cycle arrest. Phosphorylation on Ser-178 and Thr-507 creates binding sites for YWHAE/14-3-3 epsilon which inhibits CDC25A. Phosphorylation on Ser-76, Ser-124, Ser-178, Ser-279 and Ser-293 may also promote ubiquitin-dependent proteolysis of CDC25A by the SCF complex. Phosphorylation of CDC25A at Ser-76 by CHEK1 primes it for subsequent phosphorylation at Ser-79, Ser-82 and Ser-88 by NEK11. Phosphorylation by NEK11 is required for BTRC-mediated polyubiquitination and degradation. Phosphorylation by PIM1 leads to an increase in phosphatase activity. Phosphorylated by PLK3 following DNA damage, leading to promote its ubiquitination and degradation. Ubiquitinated by the anaphase promoting complex/cyclosome (APC/C) ubiquitin ligase complex that contains FZR1/CDH1 during G1 phase leading to its degradation by the proteasome. Ubiquitinated by a SCF complex containing BTRC and FBXW11 during S phase leading to its degradation by the proteasome. Deubiquitination by USP17L2/DUB3 leads to its stabilization. |
检测图片 (2) Click the Picture to Zoom In
-
ARG51638 anti-CDC25A phospho (Ser76) antibody WB image
Western blot: Extracts from HeLa cells untreated or treated with TNF-a and CA stained with ARG51638 anti-CDC25A phospho (Ser76) antibody.
-
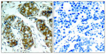
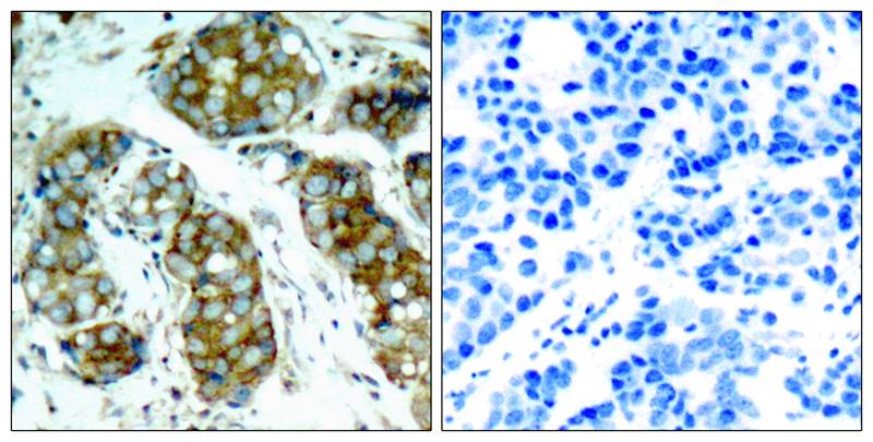
ARG51638 anti-CDC25A phospho (Ser76) antibody IHC-P image
Immunohistochemistry: Paraffin-embedded Human breast carcinoma tissue stained with ARG51638 anti-CDC25A phospho (Ser76) antibody (left) or the same antibody preincubated with blocking peptide (right).
