ARG46029
anti-CD276 / B7-H3 antibody [2A7]
anti-CD276 / B7-H3 antibody [2A7] for Western blot,IHC-Formalin-fixed paraffin-embedded sections,ICC/IF,Flow cytometry and Human
概述
| 产品描述 | Mouse Monoclonal antibody [2A7] recognizes CD276 / B7-H3 |
|---|---|
| 反应物种 | Hu |
| 应用 | FACS, ICC/IF, IHC-P, WB |
| 宿主 | Mouse |
| 克隆 | Monoclonal |
| 克隆号 | 2A7 |
| 同位型 | IgG1, kappa |
| 靶点名称 | CD276 / B7-H3 |
| 抗原物种 | Human |
| 抗原 | Extracellular domain of human CD276 / B7-H3. |
| 偶联标记 | Un-conjugated |
| 別名 | CD276; B7-H3; B7 homolog 3; B7H3; 4Ig-B7-H3; B7RP-2; Costimulatory molecule; CD antigen CD276; CD276 antigen |
应用说明
| 应用建议 |
|
||||||||||
|---|---|---|---|---|---|---|---|---|---|---|---|
| 应用说明 | * The dilutions indicate recommended starting dilutions and the optimal dilutions or concentrations should be determined by the scientist. | ||||||||||
| 实际分子量 | 100 kDa |
属性
| 纯化 | Purification with Protein A |
|---|---|
| 缓冲液 | PBS and 0.02% Sodium azide. |
| 抗菌剂 | 0.02% Sodium azide |
| 浓度 | 1 mg/ml |
| 存放说明 | For continuous use, store undiluted antibody at 2-8°C for up to a week. For long-term storage, aliquot and store at -20°C. Storage in frost free freezers is not recommended. Avoid repeated freeze/thaw cycles. Suggest spin the vial prior to opening. The antibody solution should be gently mixed before use. |
| 注意事项 | For laboratory research only, not for drug, diagnostic or other use. |
生物信息
| 数据库连接 | |
|---|---|
| 基因名称 | CD276 |
| 全名 | CD276 molecule |
| 背景介绍 | The protein encoded by this gene belongs to the immunoglobulin superfamily, and thought to participate in the regulation of T-cell-mediated immune response. Studies show that while the transcript of this gene is ubiquitously expressed in normal tissues and solid tumors, the protein is preferentially expressed only in tumor tissues. Additionally, it was observed that the 3' UTR of this transcript contains a target site for miR29 microRNA, and there is an inverse correlation between the expression of this protein and miR29 levels, suggesting regulation of expression of this gene product by miR29. Alternatively spliced transcript variants encoding different isoforms have been found for this gene. [provided by RefSeq, Sep 2011] |
| 生物功能 | May participate in the regulation of T-cell-mediated immune response. May play a protective role in tumor cells by inhibiting natural-killer mediated cell lysis as well as a role of marker for detection of neuroblastoma cells. May be involved in the development of acute and chronic transplant rejection and in the regulation of lymphocytic activity at mucosal surfaces. Could also play a key role in providing the placenta and fetus with a suitable immunological environment throughout pregnancy. Both isoform 1 and isoform 2 appear to be redundant in their ability to modulate CD4 T-cell responses. Isoform 2 is shown to enhance the induction of cytotoxic T-cells and selectively stimulates interferon gamma production in the presence of T-cell receptor signaling. [UniProt] |
| 细胞定位 | Membrane; Single-pass type I membrane protein. [UniProt] |
| 预测分子量 | 57 kDa |
检测图片 (4) Click the Picture to Zoom In
-
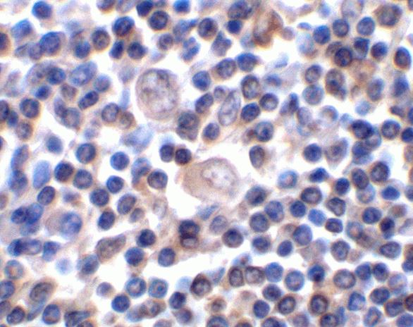
ARG46029 anti-CD276 / B7-H3 antibody [2A7] IHC-P image
Immunohistochemistry: Human colon carcinoma stained with ARG46029 anti-CD276 / B7-H3 antibody [2A7].
-
ARG46029 anti-CD276 / B7-H3 antibody [2A7] ICC/IF image
Immunofluorescence: HEK293 stained with ARG46029 anti-CD276 / B7-H3 antibody [2A7].
-
ARG46029 anti-CD276 / B7-H3 antibody [2A7] FACS image
Flow Cytometry: HEK293 stained with ARG46029 anti-CD276 / B7-H3 antibody [2A7].
-
ARG46029 anti-CD276 / B7-H3 antibody [2A7] WB image
Western blot: HEK293 stained with ARG46029 anti-CD276 / B7-H3 antibody [2A7].
