ARG55858
anti-CD172b / SIRPB1 antibody
anti-CD172b / SIRPB1 antibody for IHC-Formalin-fixed paraffin-embedded sections,Western blot and Human
概述
| 产品描述 | Rabbit Polyclonal antibody recognizes CD172b / SIRPB1 |
|---|---|
| 反应物种 | Hu |
| 应用 | IHC-P, WB |
| 宿主 | Rabbit |
| 克隆 | Polyclonal |
| 同位型 | IgG |
| 靶点名称 | CD172b / SIRPB1 |
| 抗原物种 | Human |
| 抗原 | KLH-conjugated synthetic peptide corresponding to aa. 17-43 (N-terminus) of Human CD172b / SIRPB1. |
| 偶联标记 | Un-conjugated |
| 別名 | SIRP-beta-1 isoform 3; CD172b; SIRP-BETA-1; Signal-regulatory protein beta-1 isoform 3 |
应用说明
| 应用建议 |
|
||||||
|---|---|---|---|---|---|---|---|
| 应用说明 | * The dilutions indicate recommended starting dilutions and the optimal dilutions or concentrations should be determined by the scientist. | ||||||
| 阳性对照 | A375 |
属性
| 形式 | Liquid |
|---|---|
| 纯化 | Purification with Protein A and immunogen peptide. |
| 缓冲液 | PBS and 0.09% (W/V) Sodium azide |
| 抗菌剂 | 0.09% (W/V) Sodium azide |
| 存放说明 | For continuous use, store undiluted antibody at 2-8°C for up to a week. For long-term storage, aliquot and store at -20°C or below. Storage in frost free freezers is not recommended. Avoid repeated freeze/thaw cycles. Suggest spin the vial prior to opening. The antibody solution should be gently mixed before use. |
| 注意事项 | For laboratory research only, not for drug, diagnostic or other use. |
生物信息
| 数据库连接 | |
|---|---|
| 基因名称 | SIRPB1 |
| 全名 | signal-regulatory protein beta 1 |
| 背景介绍 | The protein encoded by this gene is a member of the signal-regulatory-protein (SIRP) family, and also belongs to the immunoglobulin superfamily. SIRP family members are receptor-type transmembrane glycoproteins known to be involved in the negative regulation of receptor tyrosine kinase-coupled signaling processes. This protein was found to interact with TYROBP/DAP12, a protein bearing immunoreceptor tyrosine-based activation motifs. This protein was also reported to participate in the recruitment of tyrosine kinase SYK. Multiple transcript variants encoding different isoforms have been found for this gene. [provided by RefSeq, Feb 2009] |
| 生物功能 | Immunoglobulin-like cell surface receptor involved in the negative regulation of receptor tyrosine kinase-coupled signaling processes. Participates also in the recruitment of tyrosine kinase SYK. [UniProt] |
| 细胞定位 | Membrane; Single-pass type I membrane protein |
| 预测分子量 | 43 kDa |
| 翻译后修饰 | N-glycosylated. |
检测图片 (2) Click the Picture to Zoom In
-
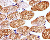
ARG55858 anti-CD172b / SIRPB1 antibody IHC-P image
Immunohistochemistry: Paraffin-embedded Human skeletal muscle tissue stained with ARG55858 anti-CD172b / SIRPB1 antibody at 1:25 dilution.
-
ARG55858 anti-CD172b / SIRPB1 antibody WB image
Western blot: 35 µg of A375 cell lysate stained with ARG55858 anti-CD172b / SIRPB1 antibody.
