ARG59186
anti-CCS / SOD4 antibody
anti-CCS / SOD4 antibody for IHC-Formalin-fixed paraffin-embedded sections,Western blot and Human,Mouse,Rat
概述
| 产品描述 | Rabbit Polyclonal antibody recognizes CCS / SOD4 |
|---|---|
| 反应物种 | Hu, Ms, Rat |
| 应用 | IHC-P, WB |
| 宿主 | Rabbit |
| 克隆 | Polyclonal |
| 同位型 | IgG |
| 靶点名称 | CCS / SOD4 |
| 抗原物种 | Human |
| 抗原 | Synthetic peptide corresponding to aa. 174-209 of Human CCS / SOD4. (DADGRAIFRMEDEQLKVWDVIGRSLIIDEGEDDLGR) |
| 偶联标记 | Un-conjugated |
| 別名 | Copper chaperone for superoxide dismutase; Superoxide dismutase copper chaperone |
应用说明
| 应用建议 |
|
||||||
|---|---|---|---|---|---|---|---|
| 应用说明 | IHC-P: Antigen Retrieval: By heat mediation. * The dilutions indicate recommended starting dilutions and the optimal dilutions or concentrations should be determined by the scientist. |
属性
| 形式 | Liquid |
|---|---|
| 纯化 | Affinity purification with immunogen. |
| 缓冲液 | 0.9% NaCl, 0.2% Na2HPO4, 0.05% Sodium azide and 5% BSA. |
| 抗菌剂 | 0.05% Sodium azide |
| 稳定剂 | 5% BSA |
| 浓度 | 0.5 mg/ml |
| 存放说明 | For continuous use, store undiluted antibody at 2-8°C for up to a week. For long-term storage, aliquot and store at -20°C or below. Storage in frost free freezers is not recommended. Avoid repeated freeze/thaw cycles. Suggest spin the vial prior to opening. The antibody solution should be gently mixed before use. |
| 注意事项 | For laboratory research only, not for drug, diagnostic or other use. |
生物信息
| 数据库连接 | |
|---|---|
| 基因名称 | CCS |
| 全名 | copper chaperone for superoxide dismutase |
| 背景介绍 | Copper chaperone for superoxide dismutase specifically delivers Cu to copper/zinc superoxide dismutase and may activate copper/zinc superoxide dismutase through direct insertion of the Cu cofactor. [provided by RefSeq, Jul 2008] |
| 生物功能 | Delivers copper to copper zinc superoxide dismutase (SOD1). [UniProt] |
| 细胞定位 | Cytoplasm. [UniProt] |
| 预测分子量 | 29 kDa |
| 翻译后修饰 | Ubiquitinion by XIAP/BIRC4 leads to enhancement of its chaperone activity toward its physiologic target, SOD1, rather than proteasomal degradation. XIAP/BIRC4 preferentially ubiquitinates at Lys-241. [UniProt] |
检测图片 (2) Click the Picture to Zoom In
-
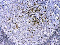
ARG59186 anti-CCS / SOD4 antibody IHC-P image
Immunohistochemistry: Paraffin-embedded Human tonsil stained with ARG59186 anti-CCS / SOD4 antibody at 1 µg/ml dilution.
-
ARG59186 anti-CCS / SOD4 antibody WB image
Western blot: Rat brain, Rat spleen, Mouse brain, Mouse spleen and 293T whole cell lysates stained with ARG59186 anti-CCS / SOD4 antibody at 0.5 µg/ml dilution.
