ARG63918
anti-CCKBR antibody
anti-CCKBR antibody for IHC-Formalin-fixed paraffin-embedded sections,Western blot and Human,Mouse,Rat
Metabolism antibody; Neuroscience antibody
概述
| 产品描述 | Goat Polyclonal antibody recognizes CCKBR |
|---|---|
| 反应物种 | Hu, Ms, Rat |
| 预测物种 | Cow |
| 应用 | IHC-P, WB |
| 宿主 | Goat |
| 克隆 | Polyclonal |
| 同位型 | IgG |
| 靶点名称 | CCKBR |
| 抗原物种 | Human |
| 抗原 | C-FDGDSDSDSQSRVRNQ |
| 偶联标记 | Un-conjugated |
| 別名 | CCK-BR; CCK2-R; Cholecystokinin-2 receptor; CCK2R; CCK-B; Gastrin/cholecystokinin type B receptor; CCK-B receptor; GASR |
应用说明
| 应用建议 |
|
||||||
|---|---|---|---|---|---|---|---|
| 应用说明 | WB: Recommend incubate at RT for 1h. IHC-P: Antigen Retrieval: Heat mediation was performed in Citrate buffer (pH 6.0). * The dilutions indicate recommended starting dilutions and the optimal dilutions or concentrations should be determined by the scientist. |
属性
| 形式 | Liquid |
|---|---|
| 纯化 | Purified from goat serum by antigen affinity chromatography. |
| 缓冲液 | Tris saline (pH 7.3), 0.02% Sodium azide and 0.5% BSA. |
| 抗菌剂 | 0.02% Sodium azide |
| 稳定剂 | 0.5% BSA |
| 浓度 | 0.5 mg/ml |
| 存放说明 | For continuous use, store undiluted antibody at 2-8°C for up to a week. For long-term storage, aliquot and store at -20°C or below. Storage in frost free freezers is not recommended. Avoid repeated freeze/thaw cycles. Suggest spin the vial prior to opening. The antibody solution should be gently mixed before use. |
| 注意事项 | For laboratory research only, not for drug, diagnostic or other use. |
生物信息
| 数据库连接 | |
|---|---|
| 背景介绍 | This gene encodes a G-protein coupled receptor for gastrin and cholecystokinin (CCK), regulatory peptides of the brain and gastrointestinal tract. This protein is a type B gastrin receptor, which has a high affinity for both sulfated and nonsulfated CCK analogs and is found principally in the central nervous system and the gastrointestinal tract. A misspliced transcript variant including an intron has been observed in cells from colorectal and pancreatic tumors. [provided by RefSeq, Jul 2008] |
| 研究领域 | Metabolism antibody; Neuroscience antibody |
| 预测分子量 | 48 kDa |
检测图片 (3) Click the Picture to Zoom In
-
ARG63918 anti-CCKBR antibody IHC-P image
Immunohistochemistry: Paraffin-embedded Human uterus tissue. Antigen Retrieval: Steam tissue section in Citrate buffer (pH 6.0). The tissue section was stained with ARG63918 anti-CCKBR antibody at 5 µg/ml dilution followed by AP-staining.
-
ARG63918 anti-CCKBR antibody WB image
Western blot: 35 µg of Mouse pancreas (A) and Rat stomach (B) lysates (in RIPA buffer) stained with ARG63918 anti-CCKBR antibody at 1 µg/ml dilution and incubated at RT for 1 hour.
-
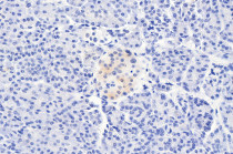
ARG63918 anti-CCKBR antibody IHC-P image
Immunohistochemistry: Paraffin-embedded Human pancreas tissue. Antigen Retrieval: Heat mediation was performed in Citrate buffer (pH 6.0). The tissue section was stained with ARG63918 anti-CCKBR antibody at 6 µg/ml dilution followed by HRP-staining.
