ARG63277
anti-CBR1 antibody
anti-CBR1 antibody for ICC/IF,IHC-Formalin-fixed paraffin-embedded sections,Western blot and Human
Cell Biology and Cellular Response antibody; Metabolism antibody; Signaling Transduction antibody
概述
| 产品描述 | Goat Polyclonal antibody recognizes CBR1 |
|---|---|
| 反应物种 | Hu |
| 应用 | ICC/IF, IHC-P, WB |
| 宿主 | Goat |
| 克隆 | Polyclonal |
| 同位型 | IgG |
| 靶点名称 | CBR1 |
| 抗原物种 | Human |
| 抗原 | C-HGQFVSEKRVEQW |
| 偶联标记 | Un-conjugated |
| 別名 | Short chain dehydrogenase/reductase family 21C member 1; 15-hydroxyprostaglandin dehydrogenase [NADP]; SDR21C1; EC 1.1.1.184; NADPH-dependent carbonyl reductase 1; Prostaglandin-E; CBR; 2; hCBR1; EC 1.1.1.189; Prostaglandin 9-ketoreductase; EC 1.1.1.197; Carbonyl reductase [NADPH] 1 |
应用说明
| 应用建议 |
|
||||||||
|---|---|---|---|---|---|---|---|---|---|
| 应用说明 | IHC-P: Antigen Retrieval: Microwaved tissue section in Citrate buffer (pH 6.0). WB: Recommend incubate at RT for 1h. * The dilutions indicate recommended starting dilutions and the optimal dilutions or concentrations should be determined by the scientist. |
属性
| 形式 | Liquid |
|---|---|
| 纯化 | Purified from goat serum by antigen affinity chromatography. |
| 缓冲液 | Tris saline (pH 7.3), 0.02% Sodium azide and 0.5% BSA. |
| 抗菌剂 | 0.02% Sodium azide |
| 稳定剂 | 0.5% BSA |
| 浓度 | 0.5 mg/ml |
| 存放说明 | For continuous use, store undiluted antibody at 2-8°C for up to a week. For long-term storage, aliquot and store at -20°C or below. Storage in frost free freezers is not recommended. Avoid repeated freeze/thaw cycles. Suggest spin the vial prior to opening. The antibody solution should be gently mixed before use. |
| 注意事项 | For laboratory research only, not for drug, diagnostic or other use. |
生物信息
| 数据库连接 | |
|---|---|
| 背景介绍 | Carbonyl reductase is one of several monomeric, NADPH-dependent oxidoreductases having wide specificity for carbonyl compounds. This enzyme is widely distributed in human tissues. Another carbonyl reductase gene, CRB3, lies close to this gene on chromosome 21q. [provided by RefSeq, Jul 2008] |
| 研究领域 | Cell Biology and Cellular Response antibody; Metabolism antibody; Signaling Transduction antibody |
| 预测分子量 | 30 kDa |
检测图片 (5) Click the Picture to Zoom In
-
ARG63277 anti-CBR1 antibody WB image
Western Blot: Human Liver lysate (RIPA buffer, 30µg total protein per lane) stained with ARG63277 anti-CBR1 antibody at 0.2 µg/ml dilution.
-
ARG63277 anti-CBR1 antibody ICC/IF image
Immunofluorescence: Paraformaldehyde fixed U251 cells permeabilized with 0.15% Triton. Cells were stained with ARG63277 anti-CBR1 antibody (green) at 10 µg/ml dilution for 1 hour. DAPI (blue) for nuclear staining. Negative control: Unimmunized goat IgG (green) at 10 µg/ml dilution.
-
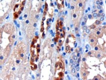
ARG63277 anti-CBR1 antibody IHC-P image
Immunohistochemistry: paraffin embedded Human Kidney. (Microwaved antigen retrieval with citrate buffer pH 6) stained with ARG63277 anti-CBR1 antibody at 3 µg/ml dilution followed by HRP-staining.
-
ARG63277 anti-CBR1 antibody WB image
Western blot: 35 µg of U251 cell lysate (in RIPA buffer) stained with ARG63277 anti-CBR1 antibody at 0.1 µg/ml dilution and incubated at RT for 1 hour.
-
ARG63277 anti-CBR1 antibody WB image
Western blot: 35 µg of Human kidney lysate (in RIPA buffer) stained with ARG63277 anti-CBR1 antibody at 0.1 µg/ml dilution and incubated at RT for 1 hour.
