ARG55451
anti-CARD6 antibody
anti-CARD6 antibody for IHC-Formalin-fixed paraffin-embedded sections,Western blot and Human
Cell Biology and Cellular Response antibody; Cell Death antibody
概述
| 产品描述 | Rabbit Polyclonal antibody recognizes CARD6 |
|---|---|
| 反应物种 | Hu |
| 应用 | IHC-P, WB |
| 宿主 | Rabbit |
| 克隆 | Polyclonal |
| 同位型 | IgG |
| 靶点名称 | CARD6 |
| 抗原物种 | Human |
| 抗原 | KLH-conjugated synthetic peptide around the center region of Human CARD6. |
| 偶联标记 | Un-conjugated |
| 別名 | Caspase recruitment domain-containing protein 6; CINCIN1 |
应用说明
| 应用建议 |
|
||||||
|---|---|---|---|---|---|---|---|
| 应用说明 | * The dilutions indicate recommended starting dilutions and the optimal dilutions or concentrations should be determined by the scientist. | ||||||
| 阳性对照 | A549 |
属性
| 形式 | Liquid |
|---|---|
| 纯化 | Purification with Protein A and immunogen peptide. |
| 缓冲液 | PBS and 0.09% (W/V) Sodium azide |
| 抗菌剂 | 0.09% (W/V) Sodium azide |
| 存放说明 | For continuous use, store undiluted antibody at 2-8°C for up to a week. For long-term storage, aliquot and store at -20°C or below. Storage in frost free freezers is not recommended. Avoid repeated freeze/thaw cycles. Suggest spin the vial prior to opening. The antibody solution should be gently mixed before use. |
| 注意事项 | For laboratory research only, not for drug, diagnostic or other use. |
生物信息
| 数据库连接 |
Swiss-port # Q9BX69 Human Caspase recruitment domain-containing protein 6 |
|---|---|
| 基因名称 | CARD6 |
| 全名 | caspase recruitment domain family, member 6 |
| 背景介绍 | This gene encodes a protein that contains a caspase recruitment domain (CARD), an antiparallel six-helical bundle that mediates homotypic protein-protein interactions. The encoded protein is a microtubule-associated protein that has been shown to interact with receptor-interacting protein kinases and positively modulate signal transduction pathways converging on activation of the inducible transcription factor NF-kB. [provided by RefSeq, Jul 2008] |
| 生物功能 | May be involved in apoptosis. [UniProt] |
| 研究领域 | Cell Biology and Cellular Response antibody; Cell Death antibody |
| 预测分子量 | 116 kDa |
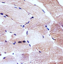
检测图片 (2) Click the Picture to Zoom In
-
ARG55451 anti-CARD6 antibody IHC-P image
Immunohistochemistry: Paraffin-embedded Human skeletal muscle section stained with ARG55451 anti-CARD6 antibody at 1:25 dilution.
-
ARG55451 anti-CARD6 antibody WB image
Western blot: 20 µg of A549 cell lysate stained with ARG55451 anti-CARD6 antibody at 1:1000 dilution.
