ARG45817
anti-CACYBP antibody
anti-CACYBP antibody for Flow cytometry,ICC/IF,IHC-Formalin-fixed paraffin-embedded sections,Immunoprecipitation,Western blot and Human,Mouse,Rat
概述
| 产品描述 | Rabbit Polyclonal antibody recognizes CACYBP |
|---|---|
| 反应物种 | Hu, Ms, Rat |
| 应用 | FACS, ICC/IF, IHC-P, IP, WB |
| 宿主 | Rabbit |
| 克隆 | Polyclonal |
| 同位型 | IgG |
| 靶点名称 | CACYBP |
| 抗原物种 | Human |
| 抗原 | Synthetic peptide corresponding to N-terminal region of human CACYBP. |
| 偶联标记 | Un-conjugated |
| 別名 | calcyclin binding protein; S100A6-binding protein; SIP; S100A6BP; GIG5; hCacyBP; CacyBP; Siah-interacting protein; Calcyclin-binding protein; PNAS-107 |
应用说明
| 应用建议 |
|
||||||||||||
|---|---|---|---|---|---|---|---|---|---|---|---|---|---|
| 应用说明 | * The dilutions indicate recommended starting dilutions and the optimal dilutions or concentrations should be determined by the scientist. | ||||||||||||
| 实际分子量 | 26 kDa |
属性
| 形式 | Liquid |
|---|---|
| 纯化 | Affinity purified |
| 缓冲液 | 0.9% NaCl, 0.2% Na2HPO4, 0.01% Sodium azide and 5% BSA. |
| 抗菌剂 | 0.01% Sodium azide |
| 稳定剂 | 5% BSA |
| 浓度 | 0.5 mg/ml |
| 存放说明 | For continuous use, store undiluted antibody at 2-8°C for up to a week. For long-term storage, aliquot and store at -20°C or below. Storage in frost free freezers is not recommended. Avoid repeated freeze/thaw cycles. Suggest spin the vial prior to opening. The antibody solution should be gently mixed before use. |
| 注意事项 | For laboratory research only, not for drug, diagnostic or other use. |
生物信息
| 数据库连接 | |
|---|---|
| 基因名称 | CACYBP |
| 全名 | calcyclin binding protein |
| 背景介绍 | The protein encoded by this gene is a calcyclin binding protein. It may be involved in calcium-dependent ubiquitination and subsequent proteosomal degradation of target proteins. It probably serves as a molecular bridge in ubiquitin E3 complexes and participates in the ubiquitin-mediated degradation of beta-catenin. Two alternatively spliced transcript variants encoding different isoforms have been found for this gene. [provided by RefSeq, Jul 2008] |
| 生物功能 | May be involved in calcium-dependent ubiquitination and subsequent proteasomal degradation of target proteins. Probably serves as a molecular bridge in ubiquitin E3 complexes. Participates in the ubiquitin-mediated degradation of beta-catenin (CTNNB1). [UniProt] |
| 细胞定位 | Cytoplasm; Nucleus. [UniProt] |
| 预测分子量 | 26 kDa |
| 翻译后修饰 | Phosphorylated on serine residues. Phosphorylated upon induction by RA or at high calcium concentrations. [UniProt] |
检测图片 (7) Click the Picture to Zoom In
-
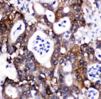
ARG45817 anti-CACYBP antibody IHC-P image
Immunohistochemistry: Human intestinal cancer stained with ARG45817 anti-CACYBP antibody at 1 μg/ml dilution.
-
ARG45817 anti-CACYBP antibody IHC-P image
Immunohistochemistry: Mouse testis stained with ARG45817 anti-CACYBP antibody at 1 μg/ml dilution.
-
ARG45817 anti-CACYBP antibody WB image
Western blot: MCF-7 and RT4 stained with ARG45817 anti-CACYBP antibody at 0.5 μg/ml dilution.
-
ARG45817 anti-CACYBP antibody IP image
Immunoprecipitation: U251 lysate immunoprecipitated with 2 μg ARG45817 anti-CACYBP antibody.
-
ARG45817 anti-CACYBP antibody IHC-P image
Immunohistochemistry: Rat testis stained with ARG45817 anti-CACYBP antibody at 1 μg/ml dilution.
-
ARG45817 anti-CACYBP antibody WB image
Western blot: Rat liver stained with ARG45817 anti-CACYBP antibody at 0.5 μg/ml dilution.
-
ARG45817 anti-CACYBP antibody WB image
Western blot: Mouse liver stained with ARG45817 anti-CACYBP antibody at 0.5 μg/ml dilution.
