ARG45317
anti-C20orf77 antibody
anti-C20orf77 antibody for Flow cytometry,ICC/IF,IHC-Formalin-fixed paraffin-embedded sections,Western blot and Human,Monkey
概述
| 产品描述 | Polyclonal antibody recognizes C20orf77 |
|---|---|
| 反应物种 | Hu, Mk |
| 应用 | FACS, ICC/IF, IHC-P, WB |
| 宿主 | Rabbit |
| 克隆 | Polyclonal |
| 同位型 | IgG |
| 靶点名称 | C20orf77 |
| 抗原物种 | Human |
| 抗原 | Recombinant protein containing to human C20orf77. |
| 偶联标记 | Un-conjugated |
| 別名 | RPRD1B; Regulation Of Nuclear Pre-MRNA Domain Containing 1B; CREPT; DJ1057B20.2; Kub5-Hera; C20orf77; NET60; K-H; Cell-Cycle Related And Expression-Elevated Protein In Tumor; Regulation Of Nuclear Pre-MRNA Domain-Containing Protein 1B; Ku70-Binding Protein 5-Hera; DKFZp434P0735; FLJ44520; Cell Cycle-Related And Expression-Elevated Protein In Tumor; Chromosome 20 Open Reading Frame 77 |
应用说明
| 应用建议 |
|
||||||||||
|---|---|---|---|---|---|---|---|---|---|---|---|
| 应用说明 | * The dilutions indicate recommended starting dilutions and the optimal dilutions or concentrations should be determined by the scientist. | ||||||||||
| 实际分子量 | 37 kDa |
属性
| 形式 | Liquid |
|---|---|
| 纯化 | Affinity purification with immunogen. |
| 缓冲液 | 0.2% Na2HPO4, 0.9% NaCl and 4% Trehalose. |
| 稳定剂 | 4% Trehalose |
| 浓度 | 0.5 mg/ml |
| 存放说明 | For continuous use, store undiluted antibody at 2-8°C for up to a week. For long-term storage, aliquot and store at -20°C or below. Storage in frost free freezers is not recommended. Avoid repeated freeze/thaw cycles. Suggest spin the vial prior to opening. The antibody solution should be gently mixed before use. |
| 注意事项 | For laboratory research only, not for drug, diagnostic or other use. |
生物信息
| 数据库连接 |
Swiss-port # Q9NQG5 Human Regulation of nuclear pre-mRNA domain-containing protein 1B |
|---|---|
| 基因名称 | RPRD1B |
| 全名 | Regulation of Nuclear Pre-mRNA Domain Containing 1B |
| 背景介绍 | Enables RNA polymerase II complex binding activity and identical protein binding activity. Involved in several processes, including RNA polymerase II promoter clearance; positive regulation of cell population proliferation; and positive regulation of transcription by RNA polymerase II. Located in nucleoplasm. Part of transcription preinitiation complex. [provided by Alliance of Genome Resources, Nov 2024] |
| 生物功能 | Interacts with phosphorylated C-terminal heptapeptide repeat domain (CTD) of the largest RNA polymerase II subunit POLR2A, and participates in dephosphorylation of the CTD by RPAP2. Transcriptional regulator which enhances expression of CCND1. Promotes binding of RNA polymerase II to the CCDN1 promoter and to the termination region before the poly-A site but decreases its binding after the poly-A site. Prevents RNA polymerase II from reading through the 3' end termination site and may allow it to be recruited back to the promoter through promotion of the formation of a chromatin loop. Also enhances the transcription of a number of other cell cycle-related genes including CDK2, CDK4, CDK6 and cyclin-E but not CDKN1A, CDKN1B or cyclin-A. Promotes cell proliferation.. [UniProt] |
| 细胞定位 | Nucleus. [UniProt] |
| 预测分子量 | 37 kDa |
| 翻译后修饰 | Acetylation; Phosphoprotein. [UniProt] |
检测图片 (5) Click the Picture to Zoom In
-
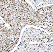
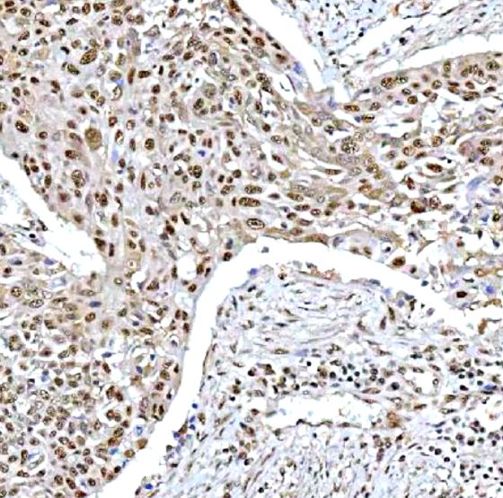
ARG45317 anti-C20orf77 antibody IHC-P image
Immunohistochemistry: Human esophageal squamous carcinoma stained with ARG45317 anti-C20orf77 antibody at 2 μg/ml dilution.
-
ARG45317 anti-C20orf77 antibody ICC/IF image
Immunofluorescence: U20S stained with ARG45317 anti-C20orf77 antibody at 5 ug/ml dilution.
-
ARG45317 anti-C20orf77 antibody WB image
Western blot: Jurkat and Caco-2 stained with ARG45317 anti-C20orf77 antibody at 0.5 μg/ml dilution.
-
ARG45317 anti-C20orf77 antibody FACS image
Flow Cytometry: Hela stained with ARG45317 anti-C20orf77 antibody at 1 µg/10^6 cells dilution.
-
ARG45317 anti-C20orf77 antibody WB image
Western blot: COS-7 stained with ARG45317 anti-C20orf77 antibody at 0.5 μg/ml dilution.
