ARG45229
anti-C1orf77 / FOP antibody
anti-C1orf77 / FOP antibody for Flow cytometry,IHC-Formalin-fixed paraffin-embedded sections,Western blot and Human,Mouse,Rat,Monkey
概述
| 产品描述 | Rabbit Polyclonal antibody recognizes C1orf77 / FOP |
|---|---|
| 反应物种 | Hu, Ms, Rat, Mk |
| 应用 | FACS, IHC-P, WB |
| 宿主 | Rabbit |
| 克隆 | Polyclonal |
| 同位型 | IgG |
| 靶点名称 | C1orf77 / FOP |
| 抗原物种 | Human |
| 抗原 | Synthetic peptide corresponding to N-terminal region of human C1orf77 / FOP . |
| 偶联标记 | Un-conjugated |
| 別名 | CHTOP; Chromatin Target Of PRMT1; SRAG; FOP; C1orf77; Small Protein Rich In Arginine And Glycine; Chromatin Target Of PRMT1 Protein; Friend Of PRMT1 Protein; DKFZP547E1010; Small Arginine- And Glycine-Rich Protein; Chromosome 1 Open Reading Frame 77; Friend Of Prmt1; C10orf77; FL-SRAG; SRAG-3; SRAG-5; Pp7704 |
应用说明
| 应用建议 |
|
||||||||
|---|---|---|---|---|---|---|---|---|---|
| 应用说明 | * The dilutions indicate recommended starting dilutions and the optimal dilutions or concentrations should be determined by the scientist. | ||||||||
| 实际分子量 | 28 kDa |
属性
| 形式 | Liquid |
|---|---|
| 纯化 | Affinity purification with immunogen. |
| 缓冲液 | 0.2% Na2HPO4, 0.9% NaCl and 4% Trehalose. |
| 稳定剂 | 4% Trehalose |
| 浓度 | 0.5 mg/ml |
| 存放说明 | For continuous use, store undiluted antibody at 2-8°C for up to a week. For long-term storage, aliquot and store at -20°C or below. Storage in frost free freezers is not recommended. Avoid repeated freeze/thaw cycles. Suggest spin the vial prior to opening. The antibody solution should be gently mixed before use. |
| 注意事项 | For laboratory research only, not for drug, diagnostic or other use. |
生物信息
| 数据库连接 | |
|---|---|
| 基因名称 | CHTOP |
| 全名 | Chromatin Target Of PRMT1 |
| 背景介绍 | This gene encodes a small nuclear protein that is characterized by an arginine and glycine rich region. This protein may have an important role in the regulation of fetal globin gene expression and in the activation of estrogen-responsive genes. A recent study reported that this protein binds 5-hydroxymethylcytosine (5hmC) and associates with an arginine methyltransferase complex (methylosome), which promotes methylation of arginine 3 of histone H4 (H4R3) and activation of genes involved in glioblastomagenesis. Alternatively spliced transcript variants encoding different isoforms have been described for this gene. |
| 生物功能 | Required for effective mRNA nuclear export and is a component of the TREX complex which is thought to couple mRNA transcription, processing and nuclear export, and specifically associates with spliced mRNA and not with unspliced pre-mRNA. TREX is recruited to spliced mRNAs by a transcription-independent mechanism, binds to mRNA upstream of the exon-junction complex (EJC) and is recruited in a splicing- and cap-dependent manner to a region near the 5' end of the mRNA where it functions in mRNA export to the cytoplasm via the TAP/NFX1 pathway. The TREX complex is essential for the export of Kaposi's sarcoma-associated herpesvirus (KSHV) intronless mRNAs and infectious virus production. Stimulates DDX39B ATPase and helicase activities. In cooperation with ALYREF/THOC4 enhances NXF2 RNA binding activity. [Uniprot] |
| 细胞定位 | Nucleus. [Uniprot] |
| 预测分子量 | 26 kDa |
| 翻译后修饰 | Acetylation, Isopeptide bond, Methylation, Phosphoprotein, Ubl conjugation. [Uniprot] |
检测图片 (7) Click the Picture to Zoom In
-
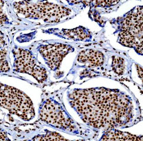
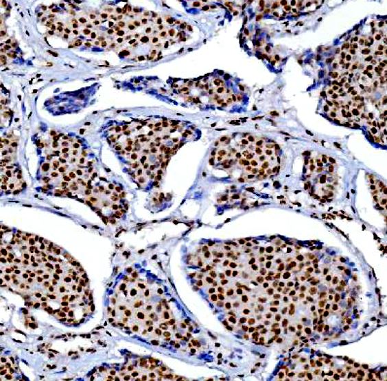
ARG45229 anti-C1orf77 / FOP antibody IHC-P image
Immunohistochemistry: Human breast cancer stained with ARG45229 anti-C1orf77 / FOP antibody at 2 μg/ml dilution.
-
ARG45229 anti-C1orf77 / FOP antibody WB image
Western blot: Hela, THP-1, and MOLT-4 stained with ARG45229 anti-C1orf77 / FOP antibody at 0.5 μg/ml dilution.
-
ARG45229 anti-C1orf77 / FOP antibody FACS image
Flow Cytometry: THP-1 stained with ARG45229 anti-C1orf77 / FOP antibody at 1 µg/10^6 cells dilution.
-
ARG45229 anti-C1orf77 / FOP antibody WB image
Western blot: Rat brain and PC-12 stained with ARG45229 anti-C1orf77 / FOP antibody at 0.5 μg/ml dilution.
-
ARG45229 anti-C1orf77 / FOP antibody FACS image
Flow Cytometry: RH35 stained with ARG45229 anti-C1orf77 / FOP antibody at 1 µg/10^6 cells dilution.
-
ARG45229 anti-C1orf77 / FOP antibody WB image
Western blot: Mouse spleen and mouse brain stained with ARG45229 anti-C1orf77 / FOP antibody at 0.5 μg/ml dilution.
-
ARG45229 anti-C1orf77 / FOP antibody WB image
Western blot: COS-7 stained with ARG45229 anti-C1orf77 / FOP antibody at 0.5 μg/ml dilution.
