ARG40562
anti-Bub3 antibody
anti-Bub3 antibody for ICC/IF,IHC-Frozen sections,IHC-Formalin-fixed paraffin-embedded sections,Western blot and Human,Rat
概述
| 产品描述 | Rabbit Polyclonal antibody recognizes Bub3 |
|---|---|
| 反应物种 | Hu, Rat |
| 预测物种 | Ms, Hm |
| 应用 | ICC/IF, IHC-Fr, IHC-P, WB |
| 宿主 | Rabbit |
| 克隆 | Polyclonal |
| 同位型 | IgG |
| 靶点名称 | Bub3 |
| 抗原物种 | Human |
| 抗原 | Synthetic peptide corresponding to aa. 76-90 of Human Bub3. (DHQLKMHDLNTDQEN) |
| 偶联标记 | Un-conjugated |
| 別名 | hBUB3; Mitotic checkpoint protein BUB3; BUB3L |
应用说明
| 应用建议 |
|
||||||||||
|---|---|---|---|---|---|---|---|---|---|---|---|
| 应用说明 | IHC-P: Antigen Retrieval: By heat mediation. * The dilutions indicate recommended starting dilutions and the optimal dilutions or concentrations should be determined by the scientist. |
属性
| 形式 | Liquid |
|---|---|
| 纯化 | Affinity purification with immunogen. |
| 缓冲液 | 0.2% Na2HPO4, 0.9% NaCl, 0.05% Thimerosal, 0.05% Sodium azide and 5% BSA. |
| 抗菌剂 | 0.05% Thimerosal and 0.05% Sodium azide |
| 稳定剂 | 5% BSA |
| 浓度 | 0.5 mg/ml |
| 存放说明 | For continuous use, store undiluted antibody at 2-8°C for up to a week. For long-term storage, aliquot and store at -20°C or below. Storage in frost free freezers is not recommended. Avoid repeated freeze/thaw cycles. Suggest spin the vial prior to opening. The antibody solution should be gently mixed before use. |
| 注意事项 | For laboratory research only, not for drug, diagnostic or other use. |
生物信息
| 数据库连接 | |
|---|---|
| 基因名称 | BUB3 |
| 全名 | BUB3 mitotic checkpoint protein |
| 背景介绍 | This gene encodes a protein involved in spindle checkpoint function. The encoded protein contains four WD repeat domains and has sequence similarity with the yeast BUB3 protein. Alternate transcriptional splice variants, encoding different isoforms, have been characterized. [provided by RefSeq, Jul 2008] |
| 生物功能 | Has a dual function in spindle-assembly checkpoint signaling and in promoting the establishment of correct kinetochore-microtubule (K-MT) attachments. Promotes the formation of stable end-on bipolar attachments. Necessary for kinetochore localization of BUB1. Regulates chromosome segregation during oocyte meiosis. The BUB1/BUB3 complex plays a role in the inhibition of anaphase-promoting complex or cyclosome (APC/C) when spindle-assembly checkpoint is activated and inhibits the ubiquitin ligase activity of APC/C by phosphorylating its activator CDC20. This complex can also phosphorylate MAD1L1. [UniProt] |
| 细胞定位 | Nucleus. Chromosome, centromere, kinetochore. Note=Starts to localize at kinetochores in prometaphase I (Pro-MI) stage and maintains the localization until the metaphase I-anaphase I (MI-AI) transition. [UniProt] |
| 预测分子量 | 37 kDa |
| 翻译后修饰 | Poly-ADP-ribosylated by PARP1. [UniProt] |
检测图片 (6) Click the Picture to Zoom In
-
ARG40562 anti-Bub3 antibody ICC image
Immunocytochemistry: A549 cells stained with ARG40562 anti-Bub3 antibody.
-
ARG40562 anti-Bub3 antibody IHC-Fr image
Immunohistochemistry: Frozen section of Rat lung tissue. The tissue section was blocked with 10% goat serum. The tissue section was then stained with ARG40562 anti-Bub3 antibody at 1 µg/ml dilution, overnight at 4°C.
-
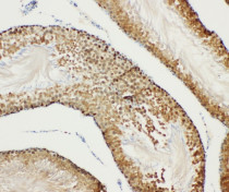
ARG40562 anti-Bub3 antibody IHC-P image
Immunohistochemistry: Paraffin-embedded Rat testis tissue stained with ARG40562 anti-Bub3 antibody.
-
ARG40562 anti-Bub3 antibody WB image
Western blot: 40 µg of HeLa, A549, Jurkat and COLO320 whole cell lysates stained with ARG40562 anti-Bub3 antibody at 0.5 µg/ml dilution.
-
ARG40562 anti-Bub3 antibody ICC image
Immunocytochemistry: HeLa cells stained with ARG40562 anti-Bub3 antibody.
-
ARG40562 anti-Bub3 antibody IHC-P image
Immunohistochemistry: Paraffin-embedded Human mammary cancer tissue stained with ARG40562 anti-Bub3 antibody.
