ARG52561
anti-Bcl 6 antibody [SP155]
anti-Bcl 6 antibody [SP155] for Flow cytometry,IHC-Formalin-fixed paraffin-embedded sections and Human
Cancer antibody; Gene Regulation antibody
概述
| 产品描述 | Rabbit Monoclonal antibody [SP155] recognizes Bcl 6 |
|---|---|
| 反应物种 | Hu |
| 预测物种 | Rat |
| 应用 | FACS, IHC-P |
| 宿主 | Rabbit |
| 克隆 | Monoclonal |
| 克隆号 | SP155 |
| 同位型 | IgG |
| 靶点名称 | Bcl 6 |
| 抗原物种 | Human |
| 抗原 | Synthetic peptide derived from the C-terminus of human BCL-6 protein. |
| 偶联标记 | Un-conjugated |
| 別名 | ZNF51; LAZ3; Zinc finger protein 51; Protein LAZ-3; Zinc finger and BTB domain-containing protein 27; B-cell lymphoma 6 protein; B-cell lymphoma 5 protein; BCL5; BCL6A; BCL-5; ZBTB27; BCL-6 |
应用说明
| 应用建议 |
|
||||||
|---|---|---|---|---|---|---|---|
| 应用说明 | IHC-P: Antigen Retrieval: Boil tissue section in 10mM citrate buffer, pH 6.0 for 10 min followed by cooling at RT for 20 min. Incubation Time: 10 min at RT. * The dilutions indicate recommended starting dilutions and the optimal dilutions or concentrations should be determined by the scientist. |
||||||
| 阳性对照 | Tonsil |
属性
| 形式 | Liquid |
|---|---|
| 纯化 | Purified by protein A/G |
| 缓冲液 | PBS (pH 7.6), 1% BSA and <0.1% Sodium azide |
| 抗菌剂 | <0.1% Sodium azide |
| 稳定剂 | 1% BSA |
| 存放说明 | For continuous use, store undiluted antibody at 2-8°C for up to a week. For long-term storage, aliquot and store at -20°C or below. Storage in frost free freezers is not recommended. Avoid repeated freeze/thaw cycles. Suggest spin the vial prior to opening. The antibody solution should be gently mixed before use. |
| 注意事项 | For laboratory research only, not for drug, diagnostic or other use. |
生物信息
| 数据库连接 | |
|---|---|
| 背景介绍 | B cell lymphoma 6 protein (Bcl-6) proto-oncogene product (a Kruppel-type zinc-finger protein) is mainly expressed in normal germinal center B cells and related lymphomas. Bcl-6 is involved in chromosome rearrangements at 3q27 in non-Hodgkin’s lymphomas and Bcl-6 rearrangements have been detected in 33%-45% of diffuse large B cell lymphomas. Bcl-6 has been detected immunohistochemically in follicular lymphomas, diffuse large B cell lymphomas, Burkitt lymphomas and in nodular, lymphocyte predominant Hodgkin’s disease. |
| 细胞定位 | Nucleus |
| 产品亮点 | Related products: BCL6 antibodies; Anti-Rabbit IgG secondary antibodies; Related news: Lymphoma |
| 研究领域 | Cancer antibody; Gene Regulation antibody |
| 预测分子量 | 79 kDa |
| 翻译后修饰 | Phosphorylated by MAPK1 in response to antigen receptor activation at Ser-333 and Ser-343. Phosphorylated by ATM in response to genotoxic stress. Phosphorylation induces its degradation by ubiquitin/proteasome pathway. Polyubiquitinated. Polyubiquitinated by SCF(FBXO11), leading to its degradation by the proteasome. Acetylated at Lys-379 by EP300 which inhibits the interaction with NuRD complex and the transcriptional repressor function. Deacetylated by HDAC- and SIR2-dependent pathways. |
检测图片 (7) Click the Picture to Zoom In
-
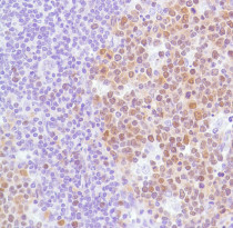
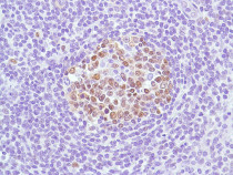
ARG52561 anti-Bcl 6 antibody [SP155] IHC-P image
Immunohistochemistry: Human Tonsil stained with ARG52561 anti-Bcl 6 antibody [SP155].
-
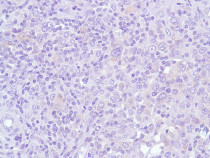
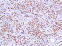
ARG52561 anti-Bcl 6 antibody [SP155] IHC-P image
Immunohistochemistry: Human B-Cell Lymphoma stained with ARG52561 anti-Bcl 6 antibody [SP155].
-
ARG52561 anti-Bcl 6 antibody [SP155] IHC-P image
Immunohistochemistry: Human Tonsil stained with ARG52561 anti-Bcl 6 antibody [SP155].
-
ARG52561 anti-Bcl 6 antibody [SP155] IHC-P image
Immunohistochemistry: Human B-Cell Lymphoma stained with ARG52561 anti-Bcl 6 antibody [SP155].
-
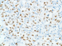
ARG52561 anti-Bcl 6 antibody [SP155] IHC-P image
Immunohistochemistry: Human HK Lymphoma stained with ARG52561 anti-Bcl 6 antibody [SP155].
-
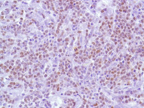
ARG52561 anti-Bcl 6 antibody [SP155] IHC-P image
Immunohistochemistry: Human Follicular Lymphoma stained with ARG52561 anti-Bcl 6 antibody [SP155].
-
ARG52561 anti-Bcl 6 antibody [SP155] IHC-P image
Immunohistochemistry: Human Diffuse B-Cell Lymphoma stained with ARG52561 anti-Bcl 6 antibody [SP155].
