ARG57518
anti-Bcl 6 antibody [BCL6/1527]
anti-Bcl 6 antibody [BCL6/1527] for IHC-Formalin-fixed paraffin-embedded sections and Human
概述
| 产品描述 | Mouse Monoclonal antibody [BCL6/1527] recognizes Bcl 6 |
|---|---|
| 反应物种 | Hu |
| 应用 | IHC-P |
| 宿主 | Mouse |
| 克隆 | Monoclonal |
| 克隆号 | BCL6/1527 |
| 同位型 | IgG1, kappa |
| 靶点名称 | Bcl 6 |
| 抗原物种 | Human |
| 抗原 | Synthetic peptide around aa. 256-389 of Human BCL6. |
| 偶联标记 | Un-conjugated |
| 別名 | ZNF51; LAZ3; Zinc finger protein 51; Protein LAZ-3; Zinc finger and BTB domain-containing protein 27; B-cell lymphoma 6 protein; B-cell lymphoma 5 protein; BCL5; BCL6A; BCL-5; ZBTB27; BCL-6 |
应用说明
| 应用建议 |
|
||||
|---|---|---|---|---|---|
| 应用说明 | IHC-P: Antigen Retrieval: Boil tissue section in 10 mM Tris with 1 mM EDTA (pH 9.0) for 10-20 min. * The dilutions indicate recommended starting dilutions and the optimal dilutions or concentrations should be determined by the scientist. |
属性
| 形式 | Liquid |
|---|---|
| 纯化 | Purification with Protein G. |
| 缓冲液 | PBS, 0.05% Sodium azide and 0.1 mg/ml BSA. |
| 抗菌剂 | 0.05% Sodium azide |
| 稳定剂 | 0.1 mg/ml BSA |
| 浓度 | 0.2 mg/ml |
| 存放说明 | For continuous use, store undiluted antibody at 2-8°C for up to a week. For long-term storage, aliquot and store at -20°C or below. Storage in frost free freezers is not recommended. Avoid repeated freeze/thaw cycles. Suggest spin the vial prior to opening. The antibody solution should be gently mixed before use. |
| 注意事项 | For laboratory research only, not for drug, diagnostic or other use. |
生物信息
| 数据库连接 | |
|---|---|
| 基因名称 | BCL6 |
| 全名 | B-cell CLL/lymphoma 6 |
| 背景介绍 | The protein encoded by this gene is a zinc finger transcription factor and contains an N-terminal POZ domain. This protein acts as a sequence-specific repressor of transcription, and has been shown to modulate the transcription of STAT-dependent IL-4 responses of B cells. This protein can interact with a variety of POZ-containing proteins that function as transcription corepressors. This gene is found to be frequently translocated and hypermutated in diffuse large-cell lymphoma (DLCL), and may be involved in the pathogenesis of DLCL. Alternatively spliced transcript variants encoding different protein isoforms have been found for this gene. [provided by RefSeq, Aug 2015] |
| 生物功能 | Transcriptional repressor mainly required for germinal center (GC) formation and antibody affinity maturation which has different mechanisms of action specific to the lineage and biological functions. Forms complexes with different corepressors and histone deacetylases to repress the transcriptional expression of different subsets of target genes. Represses its target genes by binding directly to the DNA sequence 5'-TTCCTAGAA-3' (BCL6-binding site) or indirectly by repressing the transcriptional activity of transcription factors. In GC B-cells, represses genes that function in differentiation, inflammation, apoptosis and cell cycle control, also autoregulates its transcriptional expression and up-regulates, indirectly, the expression of some genes important for GC reactions, such as AICDA, through the repression of microRNAs expression, like miR155. An important function is to allow GC B-cells to proliferate very rapidly in response to T-cell dependent antigens and tolerate the physiological DNA breaks required for immunglobulin class switch recombination and somatic hypermutation without inducing a p53/TP53-dependent apoptotic response. In follicular helper CD4(+) T-cells (T(FH) cells), promotes the expression of T(FH)-related genes but inhibits the differentiation of T(H)1, T(H)2 and T(H)17 cells. Also required for the establishment and maintenance of immunological memory for both T- and B-cells. Suppresses macrophage proliferation through competition with STAT5 for STAT-binding motifs binding on certain target genes, such as CCL2 and CCND2. In response to genotoxic stress, controls cell cycle arrest in GC B-cells in both p53/TP53-dependedent and -independent manners. Besides, also controls neurogenesis through the alteration of the composition of NOTCH-dependent transcriptional complexes at selective NOTCH targets, such as HES5, including the recruitment of the deacetylase SIRT1 and resulting in an epigenetic silencing leading to neuronal differentiation. [UniProt] |
| 产品亮点 | Related products: BCL6 antibodies; Anti-Mouse IgG secondary antibodies; Related news: Lymphoma |
| 预测分子量 | 79 kDa |
| 翻译后修饰 | Phosphorylated by MAPK1 in response to antigen receptor activation at Ser-333 and Ser-343. Phosphorylated by ATM in response to genotoxic stress. Phosphorylation induces its degradation by ubiquitin/proteasome pathway. Polyubiquitinated. Polyubiquitinated by SCF(FBXO11), leading to its degradation by the proteasome. Acetylated at Lys-379 by EP300 which inhibits the interaction with NuRD complex and the transcriptional repressor function. Deacetylated by HDAC- and SIR2-dependent pathways. [UniProt] |
检测图片 (2) Click the Picture to Zoom In
-
ARG57518 anti-Bcl 6 antibody [BCL6/1527] IHC-P image
Immunohistochemistry: Formalin-fixed and paraffin-embedded Human tonsil tissue stained with ARG57518 anti-Bcl 6 antibody [BCL6/1527]. Antigen Retrieval: Boil tissue section in 10mM Tris with 1mM EDTA (pH 9.0) for 10-20 min.
-
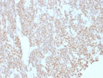
ARG57518 anti-Bcl 6 antibody [BCL6/1527] IHC-P image
Immunohistochemistry: Formalin-fixed and paraffin-embedded Human lymphoma stained with ARG57518 anti-Bcl 6 antibody [BCL6/1527]. Antigen Retrieval: Boil tissue section in 10mM Tris with 1mM EDTA (pH 9.0) for 10-20 min.
