ARG40569
anti-Bcl 6 antibody
anti-Bcl 6 antibody for Flow cytometry,IHC-Formalin-fixed paraffin-embedded sections,Western blot and Human,Mouse,Rat
概述
| 产品描述 | Rabbit Polyclonal antibody recognizes Bcl 6 |
|---|---|
| 反应物种 | Hu, Ms, Rat |
| 应用 | FACS, IHC-P, WB |
| 宿主 | Rabbit |
| 克隆 | Polyclonal |
| 同位型 | IgG |
| 靶点名称 | Bcl 6 |
| 抗原物种 | Human |
| 抗原 | Synthetic peptide corresponding to a sequence of Human Bcl 6. (ASPADSCIQFTRHASDVLLNLNRLRSRDILTD) |
| 偶联标记 | Un-conjugated |
| 別名 | ZNF51; LAZ3; Zinc finger protein 51; Protein LAZ-3; Zinc finger and BTB domain-containing protein 27; B-cell lymphoma 6 protein; B-cell lymphoma 5 protein; BCL5; BCL6A; BCL-5; ZBTB27; BCL-6 |
应用说明
| 应用建议 |
|
||||||||
|---|---|---|---|---|---|---|---|---|---|
| 应用说明 | IHC-P: Antigen Retrieval: Heat mediation was performed in Citrate buffer (pH 6.0) for 20 min. * The dilutions indicate recommended starting dilutions and the optimal dilutions or concentrations should be determined by the scientist. |
属性
| 形式 | Liquid |
|---|---|
| 纯化 | Affinity purification with immunogen. |
| 缓冲液 | 0.2% Na2HPO4, 0.9% NaCl, 0.05% Sodium azide and 4% Trehalose. |
| 抗菌剂 | 0.05% Sodium azide |
| 稳定剂 | 4% Trehalose |
| 浓度 | 0.5 mg/ml |
| 存放说明 | For continuous use, store undiluted antibody at 2-8°C for up to a week. For long-term storage, aliquot and store at -20°C or below. Storage in frost free freezers is not recommended. Avoid repeated freeze/thaw cycles. Suggest spin the vial prior to opening. The antibody solution should be gently mixed before use. |
| 注意事项 | For laboratory research only, not for drug, diagnostic or other use. |
生物信息
| 数据库连接 | |
|---|---|
| 基因名称 | BCL6 |
| 全名 | B-cell CLL/lymphoma 6 |
| 背景介绍 | The protein encoded by this gene is a zinc finger transcription factor and contains an N-terminal POZ domain. This protein acts as a sequence-specific repressor of transcription, and has been shown to modulate the transcription of STAT-dependent IL-4 responses of B cells. This protein can interact with a variety of POZ-containing proteins that function as transcription corepressors. This gene is found to be frequently translocated and hypermutated in diffuse large-cell lymphoma (DLCL), and may be involved in the pathogenesis of DLCL. Alternatively spliced transcript variants encoding different protein isoforms have been found for this gene. [provided by RefSeq, Aug 2015] |
| 生物功能 | Transcriptional repressor mainly required for germinal center (GC) formation and antibody affinity maturation which has different mechanisms of action specific to the lineage and biological functions. Forms complexes with different corepressors and histone deacetylases to repress the transcriptional expression of different subsets of target genes. Represses its target genes by binding directly to the DNA sequence 5'-TTCCTAGAA-3' (BCL6-binding site) or indirectly by repressing the transcriptional activity of transcription factors. In GC B-cells, represses genes that function in differentiation, inflammation, apoptosis and cell cycle control, also autoregulates its transcriptional expression and up-regulates, indirectly, the expression of some genes important for GC reactions, such as AICDA, through the repression of microRNAs expression, like miR155. An important function is to allow GC B-cells to proliferate very rapidly in response to T-cell dependent antigens and tolerate the physiological DNA breaks required for immunglobulin class switch recombination and somatic hypermutation without inducing a p53/TP53-dependent apoptotic response. In follicular helper CD4(+) T-cells (T(FH) cells), promotes the expression of T(FH)-related genes but inhibits the differentiation of T(H)1, T(H)2 and T(H)17 cells. Also required for the establishment and maintenance of immunological memory for both T- and B-cells. Suppresses macrophage proliferation through competition with STAT5 for STAT-binding motifs binding on certain target genes, such as CCL2 and CCND2. In response to genotoxic stress, controls cell cycle arrest in GC B-cells in both p53/TP53-dependedent and -independent manners. Besides, also controls neurogenesis through the alteration of the composition of NOTCH-dependent transcriptional complexes at selective NOTCH targets, such as HES5, including the recruitment of the deacetylase SIRT1 and resulting in an epigenetic silencing leading to neuronal differentiation. [UniProt] |
| 细胞定位 | Nucleus. [UniProt] |
| 预测分子量 | 79 kDa |
| 翻译后修饰 | Phosphorylated by MAPK1 in response to antigen receptor activation at Ser-333 and Ser-343. Phosphorylated by ATM in response to genotoxic stress. Phosphorylation induces its degradation by ubiquitin/proteasome pathway. Polyubiquitinated. Polyubiquitinated by SCF(FBXO11), leading to its degradation by the proteasome. Acetylated at Lys-379 by EP300 which inhibits the interaction with NuRD complex and the transcriptional repressor function. Deacetylated by HDAC- and SIR2-dependent pathways. [UniProt] |
检测图片 (5) Click the Picture to Zoom In
-
ARG40569 anti-Bcl 6 antibody FACS image
Flow Cytometry: BRL cells were blocked with 10% normal goat serum and then stained with ARG40569 anti-Bcl 6 antibody (blue) at 1 µg/10^6 cells for 30 min at 20°C, followed by incubation with DyLight®488 labelled secondary antibody. Isotype control antibody (green) was Rabbit IgG (1 µg/10^6 cells) used under the same conditions. Unlabelled sample (red) was also used as a control.
-
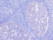
ARG40569 anti-Bcl 6 antibody IHC-P image
Immunohistochemistry: Paraffin-embedded Human tonsil tissue. Antigen Retrieval: Heat mediation was performed in Citrate buffer (pH 6.0, epitope retrieval solution) for 20 min. The tissue section was blocked with 10% goat serum. The tissue section was then stained with ARG40569 anti-Bcl 6 antibody at 1 µg/ml, overnight at 4°C.
-
ARG40569 anti-Bcl 6 antibody WB image
Western blot: 50 µg of samples under reducing conditions. Raji, MCF-7, Human placenta, A549, Caco-2 and U2OS whole cell lysates stained with ARG40569 anti-Bcl 6 antibody at 0.5 µg/ml, overnight at 4°C.
-
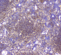
ARG40569 anti-Bcl 6 antibody IHC-P image
Immunohistochemistry: Paraffin-embedded Mouse spleen tissue. Antigen Retrieval: Heat mediation was performed in Citrate buffer (pH 6.0, epitope retrieval solution) for 20 min. The tissue section was blocked with 10% goat serum. The tissue section was then stained with ARG40569 anti-Bcl 6 antibody at 1 µg/ml, overnight at 4°C.
-
ARG40569 anti-Bcl 6 antibody WB image
Western blot: 50 µg of samples under reducing conditions. Rat testis, Rat spleen, Rat brain, Mouse testis, Mouse spleen and Mouse brain lysates stained with ARG40569 anti-Bcl 6 antibody at 0.5 µg/ml, overnight at 4°C.
